相关产品推荐更多 >
万千商家帮你免费找货
0 人在求购买到急需产品
- 详细信息
- 文献和实验
- 技术资料
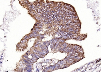
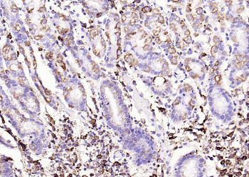
- 抗体名:
CD9 Recombinant Rabbit Monoclonal Antibody抗体
- 抗体英文名:
CD9 Recombinant Rabbit Monoclonal Antibody
- 靶点:
CD9
- 浓度:
1mg/ml
- 应用范围:
FC, ICC, IF, IHC-Fr, IHC-P, WB
- 宿主:
Rabbit
- 适应物种:
Human, Mouse, Rat
- 保质期:
6-12个月
- 抗原来源:
详询
- 目录编号:
orb704168
- 级别:
科研级
- 库存:
88
- 供应商:
biorbyt
- 标记物:
Unconjugated
- 克隆性:
Recombinant
- 形态:
Liquid
- 亚型:
IgG
- 免疫原:
A synthesized peptide derived from human CD9 (200-228aa)
- 规格:
25 ul
别名:Tetraspanin 29; 5H9; 5H9 antigen; Antigen defined by monoclonal; 602 29; Antigen defined by monoclonal; 60229; BA 2; BA2; BTCC 1; BTCC1; CD 9; CD9; CD9 antigen; CD9 antigen p24; CD9 molecule; CD9_HUMAN; Cell growth inhibiting gene 2 protein; Cell growth-inhibiting gene 2 protein; DRAP 27; DRAP27; GIG 2; GIG2; Growth inhibiting gene 2 protein; Leukocyte antigen MIC3; MIC 3; MIC3; Motility related protein; Motility-related protein; MRP 1; MRP-1; MRP1; p24; P24; p24 antigen; Tetraspanin 29; Tetraspanin-29; Tetraspanin29; Tspan 29; Tspan-29; Tspan29.
免疫原:A synthesized peptide derived from human CD9 (200-228aa)
预测反应性:Rat
克隆性:4C2
分子量:25 kDa
应用稀释比例:WB=1:500-1000, IHC-P=1:100-500, IHC-F=1:100-500, ICC/IF=1:50-200, IF=1:100-500, Flow-Cyt=1:20-100
防腐剂:0.01M TBS (pH7.4) with 1% rAlbumin, 0.02% Proclin300 and 50% Glycerol.
纯化:Affinity purified by Protein A
保存说明:Maintain refrigerated at 2-8°C for up to 2 weeks. For long term storage store at -20°C in small aliquots to prevent freeze-thaw cycles.
UniProt ID:P21926
Note:For research use only.





风险提示:丁香通仅作为第三方平台,为商家信息发布提供平台空间。用户咨询产品时请注意保护个人信息及财产安全,合理判断,谨慎选购商品,商家和用户对交易行为负责。对于医疗器械类产品,请先查证核实企业经营资质和医疗器械产品注册证情况。
文献和实验到 PVDF 膜上,同时减少蛋白不必要降解,这对于最终获得清晰、可信结果也是需要考虑因素。抗体信息:1.ACC1, Recombinant Rabbit monoclonal IgG. HuaAn. HuaAn biotechnology , inc.2.ATGL, Mouse mAb IgG1, Cat#:RT1058. HuaAn biotechnology , inc.3.p-PERK(Thr981), Rabbit Polyclonal IgG primary antibodies, Cat
我准备做凋亡过程中CASPASE 3的变化,用WESTERN检测。我准备买SANTA CRUZ的抗体。有两种,一种是单抗,另一种是多抗。具体如下: 1.caspase-3 (E-8): sc-7272 SOURCE Caspase-3 (E-8) is a mouse monoclonal IgG2a antibody corresponding to amino acids 1-277 representing the full length precursor form
Protein Purification: Assays, Specific Activity, Initial Fractionation
The nitrocellulose is then incubated with a second antibody which is specific for the first antibody. For example, if the first antibody was raised in rabbits, the second antibody might be termed "goat anti-rabbit immunoglobulin". What this means is that rabbit
技术资料暂无技术资料 索取技术资料










