相关产品推荐更多 >

Goat Anti-Human IgG+IgM+IgA - HRP 抗体,orb1786794,Biorbyt
¥1958
RNF167 Antibody - middle region : HRP 抗体,orb2121050,Biorbyt
¥8216
PRRX2 Antibody - N-terminal region : Biotin 抗体,orb2127754,Biorbyt
¥8216
PIK3CG polyclonal antibody 抗体,orb1787072,Biorbyt
¥3509
Mouse IgG1,IgG2a, IgG2b, IgG3 heavy chain Antibody (HRP) 抗体,orb1735496,Biorbyt
¥12935
万千商家帮你免费找货
0 人在求购买到急需产品
- 详细信息
- 技术资料
- 抗体名:
PGRMC2 rabbit pAb抗体
- 抗体英文名:
PGRMC2 rabbit pAb
- 浓度:
1 mg/ml
- 应用范围:
ELISA, WB
- 适应物种:
Human, Mouse, Rat
- 保质期:
6-12个月
- 抗原来源:
详询
- 目录编号:
orb766065
- 级别:
科研级
- 库存:
88
- 供应商:
biorbyt
- 标记物:
Unconjugated
- 克隆性:
Polyclonal
- 亚型:
IgG
- 免疫原:
The antiserum was produced against synthesized peptide derived from human PGRMC2. AA range:174-223
- 规格:
50 ul
产品描述:Rabbit polyclonal antibody to PGRMC2
别名:Anti-PGRMC2 antibody, anti-DG6 antibody, anti-PMBP antibody, anti-Membrane-associated progesterone receptor component 2 antibody, anti-Progesterone membrane-binding protein antibody, anti-Steroid receptor protein DG6 antibody
免疫原:The antiserum was produced against synthesized peptide derived from human PGRMC2. AA range:174-223
分子量:25
应用稀释比例:WB 1:500-2000;IHC-p 1:50-300; ELISA 2000-20000
防腐剂:PBS with 0.02% sodium azide and 50% glycerol pH 7.4.
纯化:The antibody was affinity-purified from rabbit antiserum by affinity-chromatography using epitope-specific immunogen.
来源:Rabbit
保存说明:Maintain refrigerated at 2-8°C for up to 2 weeks. For long term storage store at -20°C in small aliquots to prevent freeze-thaw cycles.
Note:For research use only.


别名:Anti-PGRMC2 antibody, anti-DG6 antibody, anti-PMBP antibody, anti-Membrane-associated progesterone receptor component 2 antibody, anti-Progesterone membrane-binding protein antibody, anti-Steroid receptor protein DG6 antibody
免疫原:The antiserum was produced against synthesized peptide derived from human PGRMC2. AA range:174-223
分子量:25
应用稀释比例:WB 1:500-2000;IHC-p 1:50-300; ELISA 2000-20000
防腐剂:PBS with 0.02% sodium azide and 50% glycerol pH 7.4.
纯化:The antibody was affinity-purified from rabbit antiserum by affinity-chromatography using epitope-specific immunogen.
来源:Rabbit
保存说明:Maintain refrigerated at 2-8°C for up to 2 weeks. For long term storage store at -20°C in small aliquots to prevent freeze-thaw cycles.
Note:For research use only.

Western Blot analysis of various cells using PGRMC2 Polyclonal Antibody diluted at 1:1000.

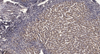
Immunohistochemical analysis of paraffin-embedded human liver cancer. 1, Antibody was diluted at 1:200 (4°C overnight). 2, Tris-EDTA, pH9.0 was used for antigen retrieval. 3, Secondary antibody was diluted at 1:200 (room temperature, 45min).
风险提示:丁香通仅作为第三方平台,为商家信息发布提供平台空间。用户咨询产品时请注意保护个人信息及财产安全,合理判断,谨慎选购商品,商家和用户对交易行为负责。对于医疗器械类产品,请先查证核实企业经营资质和医疗器械产品注册证情况。
技术资料暂无技术资料 索取技术资料
PGRMC2 rabbit pAb抗体,orb766065,biorbyt
¥3250






