相关产品推荐更多 >
万千商家帮你免费找货
0 人在求购买到急需产品
- 详细信息
- 技术资料
- 抗体名:
KLF4 Antibody抗体
- 抗体英文名:
KLF4 Antibody
- 靶点:
KLF4
- 浓度:
Approximately 1mg/ml (varies from batch to batch). Please inquire for precise concentration.
- 应用范围:
IHC
- 宿主:
Mouse
- 适应物种:
Human
- 保质期:
6-12个月
- 抗原来源:
详询
- 目录编号:
orb69295
- 级别:
科研级
- 库存:
88
- 供应商:
biorbyt
- 标记物:
Unconjugated
- 克隆性:
Monoclonal
- 亚型:
Mouse IgG1
- 免疫原:
Purified recombinant fragment of human KLF4 (AA: 2-470) expressed in E. Coli.
- 规格:
100 ul
产品描述:Mouse monoclonal antibody to KLF4
别名:EZF; GKLF; KLF4
免疫原:Purified recombinant fragment of human KLF4 (AA: 2-470) expressed in E. Coli.
克隆性:1E5B7
分子量:55kDa
应用稀释比例:IHC: 1/200 - 1/1000; ELISA: 1/10000
防腐剂:Ascitic fluid containing 0.03% sodium azide.
保存说明:Maintain refrigerated at 2-8°C for up to 2 weeks. For long term storage store at -20°C in small aliquots to prevent freeze-thaw cycles.
Entrez:9314
UniProt ID:O43474
Note:For research use only.


别名:EZF; GKLF; KLF4
免疫原:Purified recombinant fragment of human KLF4 (AA: 2-470) expressed in E. Coli.
克隆性:1E5B7
分子量:55kDa
应用稀释比例:IHC: 1/200 - 1/1000; ELISA: 1/10000
防腐剂:Ascitic fluid containing 0.03% sodium azide.
保存说明:Maintain refrigerated at 2-8°C for up to 2 weeks. For long term storage store at -20°C in small aliquots to prevent freeze-thaw cycles.
Entrez:9314
UniProt ID:O43474
Note:For research use only.

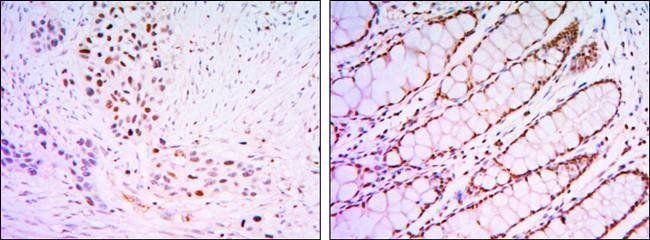
Immunohistochemical analysis of paraffin-embedded lung cancer tissues (left) and human rectum tissues (right) using KLF4 antibody

Western blot analysis of KLF4-hIgGFc transfected HEK293 (Lane1) and HEK293 (Lane2) cell lysate using KLF4 antibody
风险提示:丁香通仅作为第三方平台,为商家信息发布提供平台空间。用户咨询产品时请注意保护个人信息及财产安全,合理判断,谨慎选购商品,商家和用户对交易行为负责。对于医疗器械类产品,请先查证核实企业经营资质和医疗器械产品注册证情况。
技术资料暂无技术资料 索取技术资料
KLF4 Antibody抗体,orb69295,biorbyt
¥4550










