相关产品推荐更多 >
万千商家帮你免费找货
0 人在求购买到急需产品
- 详细信息
- 文献和实验
- 技术资料
- 抗体名:
ATG5/APG5L Mouse Monoclonal Antibody抗体
- 抗体英文名:
ATG5/APG5L Mouse Monoclonal Antibody
- 靶点:
ATG5
- 浓度:
1mg/ml
- 应用范围:
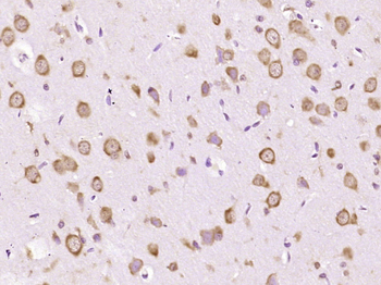
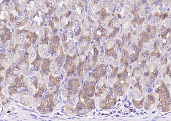
ICC, IF, IHC-Fr, IHC-P, WB
- 宿主:
Mouse
- 适应物种:
Human, Mouse, Rat
- 保质期:
6-12个月
- 抗原来源:
详询
- 目录编号:
orb500007
- 级别:
科研级
- 库存:
88
- 供应商:
biorbyt
- 标记物:
Unconjugated
- 克隆性:
Monoclonal
- 形态:
Liquid
- 亚型:
IgG
- 免疫原:
Recombinant human ATG5 Protein full length
- 规格:
50 ul
别名:ATG5; APG 5; APG 5L; APG5; APG5 autophagy 5 like; APG5 like; APG5-like; APG5L; Apoptosis specific protein; Apoptosis-specific protein; ASP; ATG 5; ATG5; ATG5 autophagy related 5 homolog; Autophagy protein 5; hAPG5; Homolog of S Cerevisiae autophagy 5; ATG5_HUMAN.
免疫原:Recombinant human ATG5 Protein full length
预测反应性:Mouse
克隆性:5D7
分子量:32 kDa
应用稀释比例:WB=1:500-1000, IHC-P=1:100-500, IHC-F=1:100-500, ICC/IF=1:100-500, IF=1:100-500
防腐剂:0.01M TBS (pH7.4) with 1% rAlbumin, 0.02% Proclin300 and 50% Glycerol.
纯化:Affinity purified by Protein G
保存说明:Maintain refrigerated at 2-8°C for up to 2 weeks. For long term storage store at -20°C in small aliquots to prevent freeze-thaw cycles.
UniProt ID:Q9H1Y0
Note:For research use only.





风险提示:丁香通仅作为第三方平台,为商家信息发布提供平台空间。用户咨询产品时请注意保护个人信息及财产安全,合理判断,谨慎选购商品,商家和用户对交易行为负责。对于医疗器械类产品,请先查证核实企业经营资质和医疗器械产品注册证情况。
文献和实验Rapid Isotyping of Mouse Monoclonal Antibodies
, isotyping is useful to control lot to lot consistency, detect contamination by another antibody, and identify hybridoma switch variants (see Notes 2 –8 for further comment on applications). Table 1 Isotype-Dependent Properties of Monoclonal
Isolation of Human Monoclonal Antibodies Using Guided Selection with Mouse Monoclonal Antibodies
Repertoires of antibody (Ab) V genes derived from nonimmunized human donors (1 ) or made synthetically (2 3 ) have been cloned for display on filamentous bacteriophage as either scFvs or Fabs fused to the minor phage coat protein (pIII
Monoclonal Antibody Production
and screening of the hybridomas: 1. Bleeding Mice (1) Place the mouse in a mouse restrainer. (2) Sterilize the tail with 70% ethanol. (3) With a razor blade,nip off the last 2 mm of the tip of the tail. (4) Using a milking motion,pull blood down and let
技术资料暂无技术资料 索取技术资料










