相关产品推荐更多 >

Functional IL-1R2 (mouse) Antibody, mAb (recombinant) 抗体,orb1788493,Biorbyt
¥7670
Netrin G1 ligand Antibody (BF594) 抗体,orb1576709,Biorbyt
¥4796
CGGBP1 Antibody - N-terminal region : Biotin 抗体,orb2091190,Biorbyt
¥8216
UTY Antibody抗体,orb1262389,biorbyt
¥11440
phospho-Bcl-xL (Ser62) Antibody (BF594) 抗体,orb1598622,Biorbyt
¥4796
万千商家帮你免费找货
0 人在求购买到急需产品
- 详细信息
- 技术资料
- 抗体名:
Phospho-PRKCB (Thr642) Rabbit Polyclonal Antibody抗体
- 抗体英文名:
Phospho-PRKCB (Thr642) Rabbit Polyclonal Antibody
- 靶点:
PRKCB
- 浓度:
1mg/ml
- 应用范围:
FC, IF, IHC-Fr, IHC-P
- 宿主:
Rabbit
- 适应物种:
Human, Mouse, Rat
- 保质期:
6-12个月
- 抗原来源:
详询
- 目录编号:
orb6754
- 级别:
科研级
- 库存:
88
- 供应商:
biorbyt
- 标记物:
Unconjugated
- 克隆性:
Polyclonal
- 形态:
Liquid
- 亚型:
IgG
- 免疫原:
KLH conjugated Synthesised phosphopeptide derived from human PRKCZ around the phosphorylation site of Ser642 EL(p-T)PT
- 规格:
50 ul
产品描述:Phospho-PRKCB (Thr642) Rabbit Polyclonal Antibody
别名:PRKCB(phospho T642); rotein Kinase C; AAG6; Aging associated gene 6; MGC129900; MGC129901; MGC41878; MGC57564; PKC B; PKC beta; PKC zeta; PKC2; PKCB; PKCC; PKCD; PKCE; PKCG; PRKACA; PRKC A; PRKC G; PRKCA; PRKCB; PRKCB1; PRKCB2; PRKCD; PRKCE; PRKCG; PRKCZ; Protein kinase C alpha; Protein kinase C alpha type; Protein Kinase C; Protein kinase C beta 1; Protein kinase C beta 1 polypeptide; Protein kinase C beta; Protein kinase C beta type; Protein kinase C delta; Protein kinase C epsilon; Protein kinase C gamma; Protein kinase C gamma type; Protein kinase C zeta; SCA14; Spinocerebellar ataxia 14.
免疫原:KLH conjugated Synthesised phosphopeptide derived from human PRKCZ around the phosphorylation site of Ser642 EL(p-T)PT
预测反应性:Mouse, Rat
分子量:74 kDa
应用稀释比例:IHC-P=1:100-500, IHC-F=1:100-500, IF=1:100-500, Flow-Cyt=1ug/Test
防腐剂:0.01M TBS (pH7.4) with 1% rAlbumin, 0.02% Proclin300 and 50% Glycerol.
纯化:Affinity purified by Protein A
保存说明:Maintain refrigerated at 2-8°C for up to 2 weeks. For long term storage store at -20°C in small aliquots to prevent freeze-thaw cycles.
UniProt ID:P05771
Note:For research use only.








别名:PRKCB(phospho T642); rotein Kinase C; AAG6; Aging associated gene 6; MGC129900; MGC129901; MGC41878; MGC57564; PKC B; PKC beta; PKC zeta; PKC2; PKCB; PKCC; PKCD; PKCE; PKCG; PRKACA; PRKC A; PRKC G; PRKCA; PRKCB; PRKCB1; PRKCB2; PRKCD; PRKCE; PRKCG; PRKCZ; Protein kinase C alpha; Protein kinase C alpha type; Protein Kinase C; Protein kinase C beta 1; Protein kinase C beta 1 polypeptide; Protein kinase C beta; Protein kinase C beta type; Protein kinase C delta; Protein kinase C epsilon; Protein kinase C gamma; Protein kinase C gamma type; Protein kinase C zeta; SCA14; Spinocerebellar ataxia 14.
免疫原:KLH conjugated Synthesised phosphopeptide derived from human PRKCZ around the phosphorylation site of Ser642 EL(p-T)PT
预测反应性:Mouse, Rat
分子量:74 kDa
应用稀释比例:IHC-P=1:100-500, IHC-F=1:100-500, IF=1:100-500, Flow-Cyt=1ug/Test
防腐剂:0.01M TBS (pH7.4) with 1% rAlbumin, 0.02% Proclin300 and 50% Glycerol.
纯化:Affinity purified by Protein A
保存说明:Maintain refrigerated at 2-8°C for up to 2 weeks. For long term storage store at -20°C in small aliquots to prevent freeze-thaw cycles.
UniProt ID:P05771
Note:For research use only.

Blank control: Molt4. Primary Antibody (green line): Rabbit Anti-phospho-PRKCB (Thr642) antibody (orb6754), dilution: 1 µg/10^6 cells, Isotype Control Antibody (orange line): Rabbit IgG. Secondary Antibody: Goat anti-rabbit IgG-AF647, dilution: 1 µg/Test. Protocol, The cells were fixed with 4% PFA (10 min at room temperature) and then permeabilized with 90% ice-cold methanol for 20 min at -20°C. The cells were then incubated in 5% BSA to block non-specific protein-protein interactions for 30 min at room temperature. Cells stained with Primary Antibody for 30 min at room temperature. The secondary antibody used for 40 min at room temperature. Acquisition of 20000 events was performed.

Blank control: Mouse spleen. Primary Antibody (green line): Rabbit Anti-phospho-PRKCB (Thr642) antibody (orb6754), dilution: 2 µg/10^6 cells, Isotype Control Antibody (orange line): Rabbit IgG. Secondary Antibody: Goat anti-rabbit IgG-AF647, dilution: 1 µg/Test. Protocol, The cells were fixed with 4% PFA (10 min at room temperature) and then permeabilized with 90% ice-cold methanol for 20 min at -20°C. The cells were then incubated in 5% BSA to block non-specific protein-protein interactions for 30 min at room temperature. Cells stained with Primary Antibody for 30 min at room temperature. The secondary antibody used for 40 min at room temperature. Acquisition of 20000 events was performed.

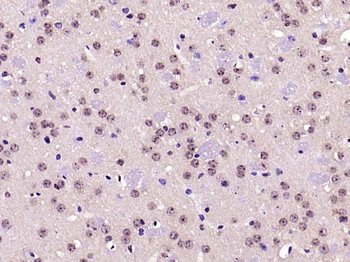
Fixative-fixed, paraffin embedded (mouse brain), Antigen retrieval by boiling in sodium citrate buffer (pH6.0) for 15 min, Block endogenous peroxidase by 3% hydrogen peroxide for 20 minutes, Blocking buffer (normal goat serum) at 37°C for 30 min, Antibody incubation with (phospho-PKC beta 2 (Ser660)) Polyclonal Antibody, Unconjugated (orb6754) at 1:200 overnight at 4°C, followed by operating according to SP Kit (Rabbit) instructionsand DAB staining.

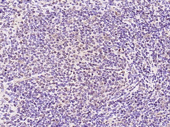
Fixative-fixed, paraffin embedded (mouse spleen), Antigen retrieval by boiling in sodium citrate buffer (pH6.0) for 15 min, Block endogenous peroxidase by 3% hydrogen peroxide for 20 minutes, Blocking buffer (normal goat serum) at 37°C for 30 min, Antibody incubation with (phospho-PKC beta 2 (Ser660)) Polyclonal Antibody, Unconjugated (orb6754) at 1:200 overnight at 4°C, followed by operating according to SP Kit (Rabbit) instructionsand DAB staining.

Fixative-fixed, paraffin embedded (rat brain), Antigen retrieval by boiling in sodium citrate buffer (pH6.0) for 15 min, Block endogenous peroxidase by 3% hydrogen peroxide for 20 minutes, Blocking buffer (normal goat serum) at 37°C for 30 min, Antibody incubation with (phospho-PKC beta 2 (Ser660)) Polyclonal Antibody, Unconjugated (orb6754) at 1:200 overnight at 4°C, followed by operating according to SP Kit (Rabbit) instructionsand DAB staining.

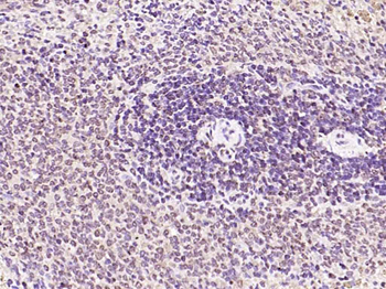
Fixative-fixed, paraffin embedded (rat spleen), Antigen retrieval by boiling in sodium citrate buffer (pH6.0) for 15 min, Block endogenous peroxidase by 3% hydrogen peroxide for 20 minutes, Blocking buffer (normal goat serum) at 37°C for 30 min, Antibody incubation with (phospho-PKC beta 2 (Ser660)) Polyclonal Antibody, Unconjugated (orb6754) at 1:200 overnight at 4°C, followed by operating according to SP Kit (Rabbit) instructionsand DAB staining.

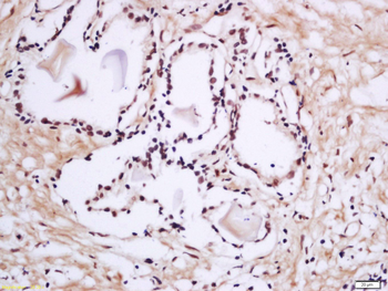
Tissue/Cell: human prostate tissue, 4% Fixative-fixed and paraffin-embedded, Antigen retrieval: citrate buffer (0.01M, pH6.0), Boiling bathing for 15 min, Block endogenous peroxidase by 3% Hydrogen peroxide for 30 min, Blocking buffer (normal goat serum) at 37°C for 20 min, Incubation: Anti-phospho-PRKCB (Ser642) Polyclonal Antibody, Unconjugated (orb6754) 1:200, overnight at 4°C, followed by conjugation to the secondary antibody and DAB staining.

Tissue/Cell: rat stomach tissue, 4% Fixative-fixed and paraffin-embedded, Antigen retrieval: citrate buffer (0.01M, pH6.0), Boiling bathing for 15 min, Block endogenous peroxidase by 3% Hydrogen peroxide for 30 min, Blocking buffer (normal goat serum) at 37°C for 20 min, Incubation: Anti-phospho-PRKCB (Ser642) Polyclonal Antibody, Unconjugated (orb6754) 1:200, overnight at 4°C, followed by conjugation to the secondary antibody and DAB staining.
风险提示:丁香通仅作为第三方平台,为商家信息发布提供平台空间。用户咨询产品时请注意保护个人信息及财产安全,合理判断,谨慎选购商品,商家和用户对交易行为负责。对于医疗器械类产品,请先查证核实企业经营资质和医疗器械产品注册证情况。
技术资料暂无技术资料 索取技术资料
Phospho-PRKCB (Thr642) Rabbit Polyclonal Antibody抗体,orb6754,biorbyt
¥3120





