相关产品推荐更多 >
万千商家帮你免费找货
0 人在求购买到急需产品
- 详细信息
- 文献和实验
- 技术资料
- 抗体名:
Phospho-ATF2 (Thr69/71) Rabbit Polyclonal Antibody抗体
- 抗体英文名:
Phospho-ATF2 (Thr69/71) Rabbit Polyclonal Antibody
- 靶点:
ATF2
- 浓度:
1mg/ml
- 应用范围:
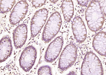
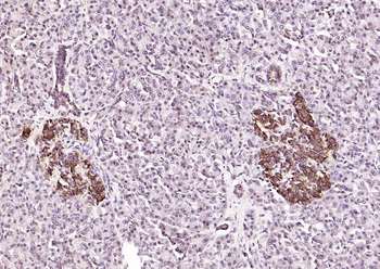
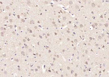
FC, IF, IHC-Fr, IHC-P
- 宿主:
Rabbit
- 适应物种:
Human, Mouse, Rat
- 保质期:
6-12个月
- 抗原来源:
详询
- 目录编号:
orb5729
- 级别:
科研级
- 库存:
88
- 供应商:
biorbyt
- 标记物:
Unconjugated
- 克隆性:
Polyclonal
- 形态:
Liquid
- 亚型:
IgG
- 免疫原:
KLH conjugated Synthesised phosphopeptide derived from human ATF2 around the phosphorylation site of Thr69/71 DQ(p-T)P(p-T)PT
- 规格:
50 ul
别名:ATF2(phospho T69+T71); ATF2(phospho Thr69+Thr71); p-ATF2(T69+T71); p-ATF2(Thr69+Thr71); CREB 2; HB 16; Activating Transcription Factor 2; ATF 2; Atf-2; ATF2 protein; cAMP Response Element Binding Protein 2; cAMP response element binding protein CRE BP1; cAMP-dependent transcription factor ATF-2; cAMP-responsive element-binding protein 2; CRE BP1; CRE-BP; CREB 2; CREB2; CREBP1; Cyclic AMP dependent transcription factor ATF 2; Cyclic AMP-responsive; ATF2_HUMAN.
免疫原:KLH conjugated Synthesised phosphopeptide derived from human ATF2 around the phosphorylation site of Thr69/71 DQ(p-T)P(p-T)PT
预测反应性:Bovine, Equine, Rabbit
分子量:45 kDa
应用稀释比例:IHC-P=1:100-500, IHC-F=1:100-500, IF=1:50-200, Flow-Cyt=2ug/Test
防腐剂:0.01M TBS (pH7.4) with 1% rAlbumin, 0.02% Proclin300 and 50% Glycerol.
纯化:Affinity purified by Protein A
保存说明:Maintain refrigerated at 2-8°C for up to 2 weeks. For long term storage store at -20°C in small aliquots to prevent freeze-thaw cycles.
UniProt ID:P15336
Note:For research use only.




风险提示:丁香通仅作为第三方平台,为商家信息发布提供平台空间。用户咨询产品时请注意保护个人信息及财产安全,合理判断,谨慎选购商品,商家和用户对交易行为负责。对于医疗器械类产品,请先查证核实企业经营资质和医疗器械产品注册证情况。
文献和实验dongreyuan 有的抗体名称上面写着Ab-33,比如,β-catenin(Ab-33)antibody,请问,Ab-33是什么意思? bettyzyj 这个抗体是非磷酸化的抗体non-phospho-antibody ,33 代表的是基因位点 dongreyuan 谢谢了 yhwangcams bettyzyj wrote
proteins that bind to the Fc region of antibodies. These proteins are covalently coupled to Sepharose. The choice between protein A or protein G Sepharose depends on the nature of the antibody used for ChIP. In general, protein A works best for rabbit
secondary antibody review -- data from 99 publications
cytometry used as a control to detect cell responses targeted antigen 7 Alexa Fluor 488 7 Cy3 8 goat IgG Alexa Fluor 488 1:2000 detect antibody binding in human embryonic kidney 293T cells Invitrogen 9 donkey
技术资料暂无技术资料 索取技术资料











