产品描述:Histone H3 Rabbit Polyclonal Antibody (Nuclear Loading Control)
别名:H3 histone family member E pseudogene; H3 histone family, member A; H3/A; H31_HUMAN; H3F3; H3FA; Hist1h3a; HIST1H3B; HIST1H3C; HIST1H3D; HIST1H3E; HIST1H3F; HIST1H3G; HIST1H3H; HIST1H3I; HIST1H3J; HIST3H3; histone 1, H3a; Histone cluster 1, H3a; Histone H3 3 pseudogene; Histone H3.1; Histone H3/a; Histone H3/b; Histone H3/c; Histone H3/d; Histone H3/f; Histone H3/h; Histone H3/i; Histone H3/j; Histone H3/k; Histone H3/l; H3.1; H3/d; H3C1; H3C10; H3C11; H3C12; H3C2; H3C3; H3C4; H3C7; H3C8; H3FD;
免疫原:KLH conjugated synthetic peptide derived from human Histone H3 (71-136/136aa)
预测反应性:Bovine, Drosophila, Porcine, Rabbit
分子量:15 kDa
应用稀释比例:WB=1:5000-50000, IHC-P=1:500-2000, IHC-F=1:500-2000, IF=1:500-2000, Flow-Cyt=1μg/Test
防腐剂:0.01M TBS (pH7.4) with 1% rAlbumin, 0.02% Proclin300 and 50% Glycerol.
纯化:Affinity purified by Protein A
保存说明:Maintain refrigerated at 2-8°C for up to 2 weeks. For long term storage store at -20°C in small aliquots to prevent freeze-thaw cycles.
Pubmed:30599261, 31619182
UniProt ID:P68431
Note:For research use only.
Blank control: K562. Primary Antibody (green line): Rabbit Anti-Histone H3/HIST3H3 antibody (orb10805), Dilution: 1 µg/10^6 cells, Isotype Control Antibody (orange line): Rabbit IgG. Secondary Antibody: Goat anti-rabbit IgG-PE, Dilution: 1 µg/Test. Protocol, The cells were fixed with 4% PFA (10 min at room temperature) and then permeabilized with 90% ice-cold methanol for 20 min at -20°C. The cells were then incubated in 5% BSA to block non-specific protein-protein interactions for 30 min at at room temperature. Cells stained with Primary Antibody for 30 min at room temperature. The secondary antibody used for 40 min at room temperature. Acquisition of 20000 events was performed.

Blank control: Mouse spleen cells (blue). Primary Antibody: Rabbit Anti-Histone H3/HIST3H3 antibody (orb10805), Dilution: 1 µg in 100 µl 1X PBS containing 0.5% BSA, Isotype Control Antibody: Rabbit IgG (orange), used under the same conditions, Secondary Antibody: Goat anti-rabbit IgG-PE (white blue), Dilution: 1:200 in 1 X PBS containing 0.5% BSA. Protocol, The cells were fixed with 2% Fixative (10 min). Primary antibody (orb10805, 1 µg/1x10^6 cells) were incubated for 30 min on the ice, followed by 1 X PBS containing 0.5% BSA + 1 0% goat serum (15 min) to block non-specific protein-protein interactions. Then the Goat Anti-rabbit IgG/PE antibody was added into the blocking buffer mentioned above to react with the primary antibody at 1/200 dilution for 30 min on ice. Acquisition of 20000 events was performed.

Fixative-fixed, paraffin embedded (human brain), Antigen retrieval by boiling in sodium citrate buffer (pH6.0) for 15 min, Blocking buffer (normal goat serum) at 37°C for 30 min, Antibody incubation with (Histone H3 (Nuclear Loading Control)) Polyclonal Antibody, Unconjugated (orb10805) at 1:500 overnight at 4°C, followed by a conjugated Goat Anti-Rabbit IgG antibody (YF488) for 90 minutes, and DAPI for nuclei staining.
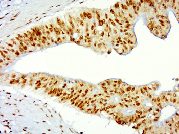
Fixative-fixed, paraffin embedded (human cervical carcinoma), Antigen retrieval by boiling in sodium citrate buffer (pH6.0) for 15 min, Block endogenous peroxidase by 3% hydrogen peroxide for 20 minutes, Blocking buffer (normal goat serum) at 37°C for 30 min, Antibody incubation with (HIST3H3) Polyclonal Antibody, Unconjugated (orb10805) at 1:400 overnight at 4°C, followed by a conjugated secondary for 20 minutes and DAB staining.
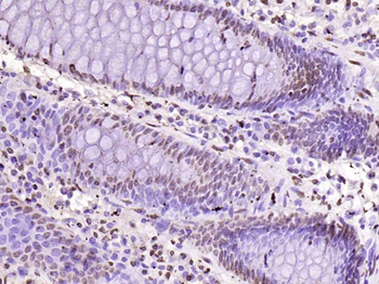
Fixative-fixed, paraffin embedded (human colon cancer), Antigen retrieval by boiling in sodium citrate buffer (pH6.0) for 15 min, Block endogenous peroxidase by 3% hydrogen peroxide for 20 minutes, Blocking buffer (normal goat serum) at 37°C for 30 min, Antibody incubation with (HIST3H3) Polyclonal Antibody, Unconjugated (orb10805) at 1:400 overnight at 4°C, followed by a conjugated secondary for 20 minutes and DAB staining.
Fixative-fixed, paraffin embedded (human colon), Antigen retrieval by boiling in sodium citrate buffer (pH6.0) for 15 min, Block endogenous peroxidase by 3% hydrogen peroxide for 20 minutes, Blocking buffer (normal goat serum) at 37°C for 30 min, Antibody incubation with (Histone H3 (Nuclear Loading Control)) Polyclonal Antibody, Unconjugated (orb10805) at 1:200 overnight at 4°C, followed by operating according to SP Kit (Rabbit) instructionsand DAB staining.
Fixative-fixed, paraffin embedded (Human kidney), Antigen retrieval by boiling in sodium citrate buffer (pH6.0) for 15 min, Block endogenous peroxidase by 3% hydrogen peroxide for 20 minutes, Blocking buffer (normal goat serum) at 37°C for 30 min, Antibody incubation with (Histone H3 (Nuclear Loading Control)) Polyclonal Antibody, Unconjugated (orb10805) at 1:200 overnight at 4°C, followed by operating according to SP Kit (Rabbit) instructionsand DAB staining.
Fixative-fixed, paraffin embedded (Human kidney), Antigen retrieval by boiling in sodium citrate buffer (pH6.0) for 15 min, Blocking buffer (normal goat serum) at 37°C for 30 min, Antibody incubation with (Histone H3 (Nuclear Loading Control)) Polyclonal Antibody, Unconjugated (orb10805) at 1:300 overnight at 4°C, followed by a conjugated Goat Anti-Rabbit IgG antibody (YF488) for 90 minutes, and DAPI for nuclei staining.
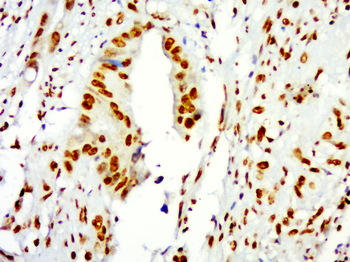
Fixative-fixed, paraffin embedded (human laryngeal carcinoma), Antigen retrieval by boiling in sodium citrate buffer (pH6.0) for 15 min, Block endogenous peroxidase by 3% hydrogen peroxide for 20 minutes, Blocking buffer (normal goat serum) at 37°C for 30 min, Antibody incubation with (Histone H3 (Nuclear Loading Control)) Polyclonal Antibody, Unconjugated (orb10805) at 1:200 overnight at 4°C, followed by operating according to SP Kit (Rabbit) instructionsand DAB staining.
Fixative-fixed, paraffin embedded (human laryngeal carcinoma), Antigen retrieval by boiling in sodium citrate buffer (pH6.0) for 15 min, Block endogenous peroxidase by 3% hydrogen peroxide for 20 minutes, Blocking buffer (normal goat serum) at 37°C for 30 min, Antibody incubation with (Histone H3HIST3H3 (Nuclear Loading Control)) Polyclonal Antibody, Unconjugated (orb10805) at 1:200 overnight at 4°C, followed by operating according to SP Kit (Rabbit) instructionsand DAB staining.