相关产品推荐更多 >
万千商家帮你免费找货
0 人在求购买到急需产品
- 详细信息
- 文献和实验
- 技术资料
- 免疫原:
breast cancer 1, early onset
- 亚型:
IgG
- 形态:
liquid
- 保存条件:
-20℃ 12月
- 克隆性:
polyclonal
- 标记物:
未标记
- 适应物种:
Human
- 保质期:
-20℃ 12月
- 抗原来源:
breast cancer 1, early onset
- 目录编号:
FNab00943
- 级别:
科研
- 库存:
100
- 供应商:
武汉菲恩生物科技有限公司
- 宿主:
Rabbit
- 应用范围:
ELISA, IHC, WB
- 靶点:
BRCA1
- 抗体英文名:
BRCA1 antibody
- 抗体名:
BRCA1抗体
- 规格:
50ug/100ug
| 规格: | 50ug | 产品价格: | ¥900.0 |
|---|---|---|---|
| 规格: | 100ug | 产品价格: | ¥1500.0 |

产品介绍
| 产品名称 | BRCA1 antibody |
| 中文名称 | BRCA1抗体 |
| 货号 | FNab00943 |
| 规格 | 50ug/100ug |
| 宿主 | Rabbit |
| 反应种属 | Human |
| 验证应用 | ELISA, IHC, WB |
| 状态 | liquid |
| 纯化方法 | Immunogen affinity purified |
| 纯度 | ≥95% as determined by SDS-PAGE |
| 克隆性 | polyclonal |
| 亚型 | IgG |
| 免疫原 | breast cancer 1, early onset |
| 免疫原别称 | Breast cancer type 1 susceptibility protein|RING finger protein 53|RING-type E3 ubiquitin transferase BRCA1|BRCA1|RNF53 |
| Uniprot ID | P38398 |
| 分子量 | 85-95 kDa |
| 建议稀释比例 | WB: 1:500-1:2000; IHC: 1:20-1:200 |
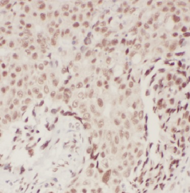
| 验证图片 | Immunohistochemistry of paraffin-embedded human breast cancer using FNab00943(BRCA1 antibody) at dilution of 1:100 human testis tissue were subjected to SDS PAGE followed by western blot with FNab00943(BRCA1 antibody) at dilution of 1:1000 |
| 存储 | PBS with 0.02% sodium azide and 50% glycerol pH 7.3, -20℃ for 12 months(Avoid repeated freeze / thaw cycles.) |
| 注意事项 | BRCA1 antibody仅供科研使用 |
菲恩生物抗体产品优势
种类齐全:有10000多种经过验证的免多抗和小鼠单抗,包括流式抗体、内参抗体、标签抗体、小分子化合物抗体、对照抗体等;
多种标记/非标记二抗:针对兔、羊、小鼠、大鼠、人等多个种属。100多种标记二抗,标记物包括HRP、Biotin、FITC、Cy3、Alexa Fluor 488、Alexa Fluor 594等,通过了蛋白质印迹、免疫荧光、免疫组织化学、流式细胞术和ELISA等免疫学相关应用的充分验证,可满足各种实验需求;
验证过多种实验:ELISA、WB、IHC、IF、IP、FC等应用,并进行了广泛的物种交叉实验。
风险提示:丁香通仅作为第三方平台,为商家信息发布提供平台空间。用户咨询产品时请注意保护个人信息及财产安全,合理判断,谨慎选购商品,商家和用户对交易行为负责。对于医疗器械类产品,请先查证核实企业经营资质和医疗器械产品注册证情况。
文献和实验论文“Single-base mapping of m6A by an antibody-independent method”,描述了一种全新原理的m6A检测技术 (m6A-sensitive RNA-Endoribonuclease-Facilitated sequencing, 或称m6A-REF-seq)。这一技术利用了新发现的RNA内切酶对m6A的敏感性,摆脱了传统方法对抗体的依赖,实现了全转录组范围m6A的精准检测。这一研究成果公布在7月3日Science Advances杂志上,文章通讯作者为骆观
液配制 成10 mM的溶液? 3. 下图是一个质粒图谱,请标明其主要构件的作用。请问若用该质粒转染哺乳动物细胞,它能在染色体外独立复制吗?为什么? 4. 许多克隆型载体含有决定蓝白菌落筛选的DNA元件,其工作原理如何? 5. A G T C 下图是一张DNA测序胶片结果,请从5’写出合成链的DNA序列。 6. 你克隆了一个新基因,并已知是一种膜蛋白,且根据cDNA序列制备了其单克隆抗体。请问如何利用该抗体确定体内该蛋白质的分 子量?若测出的分子量大于根据cNDA推测
三句话读懂一篇 CNS,酗酒背后的机制,环境-基因互作诱导肿瘤发生,Cas9 时钟...
Cancer Risk Genes — Association Analysis in More than 113,000 Women,该研究以应用由 34 个推测的易感基因构成的基因面板,对 60,466 例乳腺癌女性患者和 53,461 例对照女性的样本进行了测序,筛选出如 ATM、BRCA1、BRCA2、CHEK2 和 PALB2 等数个预测乳腺癌风险最有用的基因,这些结果能有效用于备孕人士的遗传咨询。乳腺癌作为全球第一大癌症,女性朋友们定要多加防范,做好癌症筛查! 图片来源:站酷海洛
技术资料暂无技术资料 索取技术资料








