相关产品推荐更多 >

Transferrin Mouse mAb, BF750 conjugated(bsm-33243M-BF750)-100ul
¥2980
ADCY8 Rabbit pAb(bs-3925R)-50ul/100ul/200ul
¥1180
HIV p55+P6-Gag Rabbit pAb(bs-4980R)-50ul/100ul/200ul
¥1180
phospho-CaMK2 alpha (Tyr230) Rabbit pAb(bs-3081R)-50ul/100ul/200ul
¥1180
RAF1 Rabbit pAb, Biotin conjugated(bs-23170R-Bio)-100ul
¥2980
万千商家帮你免费找货
0 人在求购买到急需产品
- 详细信息
- 文献和实验
- 技术资料
- 应用范围:
产品信息以Bioss网站为准
- 规格:
50ul/100ul/200ul
| 规格: | 50ul | 产品价格: | ¥1180.0 |
|---|---|---|---|
| 规格: | 100ul | 产品价格: | ¥1980.0 |
| 规格: | 200ul | 产品价格: | ¥2800.0 |
| 产品编号 | bs-12968R |
| 英文名称 | TAF9 Rabbit pAb |
| 中文名称 | 转录起始因子TFIID亚基9抗体 |
| 英文别名 | TAF9 RNA polymerase II, TATA box-binding protein-associated factor, 32kDa; MGC:1603; MGC:3647; MGC:5067; RNA polymerase II TBP-associated factor subunit G; STAF31/32; TAF17; TAF2G; TAF9 RNA polymerase II, TATA box binding protein(TBP)-associated factor, 32kDa; TAF9 RNA polymerase II, TATA box-binding protein-associated factor, 32kDa; TAFII31; TAFII32; TAFIID32; TATA box-binding protein-associated factor 2G; TBP associated factor 17 kDa; TBP associated factor 9; TBP associated factor, RNA polymerase II, 32-KD; transcription initiation factor TFIID 31 kD subunit; transcription initiation factor TFIID 31 kDa subunit; transcription initiation factor TFIID 32 kDa subunit; Transcription initiation factor TFIID subunit 9. |
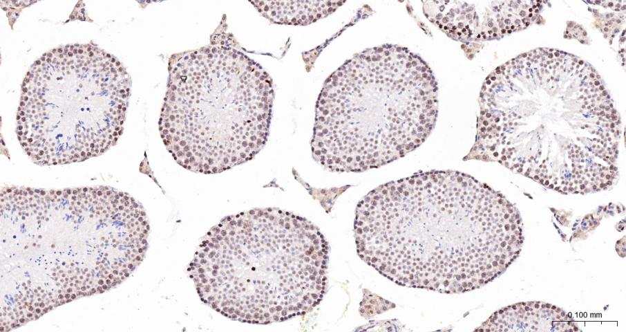
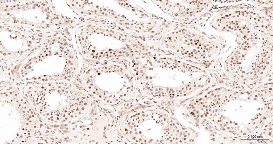
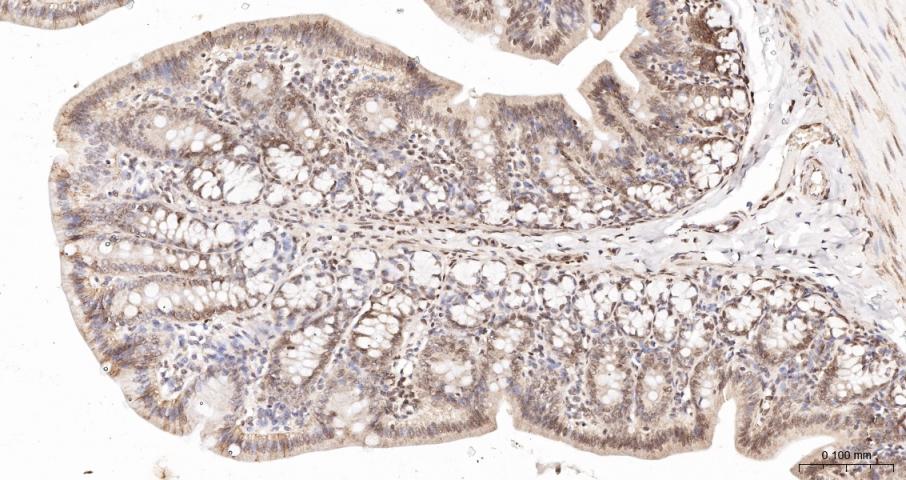
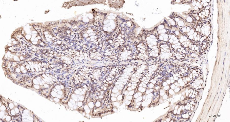
| 产品应用 | WB=1:500-2000, IHC-P=1:100-500, IHC-F=1:100-500, ICC/IF=1:100-500, IF=1:100-500 Not yet tested in other applications. |
| 交叉反应 | Human, Mouse, Rat (Cow) |
| 抗体来源 | Rabbit |
| 免疫原 | KLH conjugated synthetic peptide derived from human TAF9 |
| 亚型 | IgG |
| 性状 | Liquid |
| 纯化方法 | affinity purified by Protein A |
| 克隆类型 | Polyclonal |
| 理论分子量 | 29 kDa |
| 浓度 | 1mg/ml |
| 储存液 | 0.01M TBS (pH7.4) with 1% BSA, 0.02% Proclin300 and 50% Glycerol. |
| 研究领域 | Epigenetics and Nuclear Signaling > Transcription > Polymerase associated factors > Pol II Transcription > TFIID Epigenetics and Nuclear Signaling > Transcription > RNA polymerase |
| 亚基 | Component of TFIID, the TATA-binding protein-free TAF complex (TFTC), the PCAF complex and the STAGA transcription coactivator-HAT complex. The PCAF complex consists at least of TADA2L/ADA2, SUPT3H/SPT3, TADA3L/ADA3, TAF5L/PAF65-beta, TAF6L/PAF65-alpha, TAF10/TAFII30, TAF12/TAFII20, TAF9/TAFII31 and TRRAP. The STAGA transcription coactivator-HAT complex consists at least of SUPT3H, GCN5L2, SUPT7L, TAF5L, TAF6L, TADA3L, TAD1L, TAF10, TAF12, TRRAP and TAF9. Binds N-terminal domain of p53/TP53 which is essential for transcription. Component of some MLL1/MLL complex, at least composed of the core components KMT2A/MLL1, ASH2L, HCFC1/HCF1, WDR5 and RBBP5, as well as the facultative components BAP18, CHD8, E2F6, HSP70, INO80C, KANSL1, LAS1L, MAX, MCRS1, MGA, MYST1/MOF, PELP1, PHF20, PRP31, RING2, RUVB1/TIP49A, RUVB2/TIP49B, SENP3, TAF1, TAF4, TAF6, TAF7, TAF9 and TEX10. Binds TFIIB and the Herpes simplex virus activator VP16. Forms a heterodimer with TAF6/TAFII80 in a complex with the TAF4B/TAFII105-TAF12/TAFII20 heterodimer. Also interacts with TAF5. Binds directly DNA. Increased DNA binding when complexed with TAF6/TAFII80. |
| 亚细胞定位 | Nuclear. |
| 相似性 | Belongs to the TAF9 family. |
| 功能 | Essential for cell viability. TAF9 and TAF9B are involved in transcriptional activation as well as repression of distinct but overlapping sets of genes. May have a role in gene regulation associated with apoptosis. TAFs are components of the transcription factor IID (TFIID) complex, the TBP-free TAFII complex (TFTC), the PCAF histone acetylase complex and the STAGA transcription coactivator-HAT complex. TFIID or TFTC are essential for the regulation of RNA polymerase II-mediated transcription. |
| 保存条件 | Shipped at 4℃. Store at -20℃ for one year. Avoid repeated freeze/thaw cycles. |
| 注意事项 | This product as supplied is intended for research use only, not for use in human, therapeutic or diagnostic applications. |
| 背景资料 | Initiation of transcription by RNA polymerase II requires the activities of more than 70 polypeptides. The protein that coordinates these activities is transcription factor IID (TFIID), which binds to the core promoter to position the polymerase properly, serves as the scaffold for assembly of the remainder of the transcription complex, and acts as a channel for regulatory signals. TFIID is composed of the TATA-binding protein (TBP) and a group of evolutionarily conserved proteins known as TBP-associated factors or TAFs. TAFs may participate in basal transcription, serve as coactivators, function in promoter recognition or modify general transcription factors (GTFs) to facilitate complex assembly and transcription initiation. This gene encodes one of the smaller subunits of TFIID that binds to the basal transcription factor GTF2B as well as to several transcriptional activators such as p53 and VP16. In human, TAF9 and AK6 (GeneID: 102157402) are two distinct genes that share 5' exons. A similar but distinct gene (TAF9L) has been found on the X chromosome and a pseudogene has been identified on chromosome 19. Alternative splicing results in multiple transcript variants. [provided by RefSeq, Sep 2013] |
| 应用 | 推荐稀释比例 |
| {WB} | {1:500-2000} |
| {IHC-P} | {1:100-500} |
| {IHC-F} | {1:100-500} |
| {ICC/IF} | {1:100-500} |
| {IF} | {1:100-500} |









风险提示:丁香通仅作为第三方平台,为商家信息发布提供平台空间。用户咨询产品时请注意保护个人信息及财产安全,合理判断,谨慎选购商品,商家和用户对交易行为负责。对于医疗器械类产品,请先查证核实企业经营资质和医疗器械产品注册证情况。
文献和实验= NAL), appears to form upon oxidative cyclization of the nonfluorescent 2:1 lysine-HNE Michael adduct-Schiff base cross-link (Scheme 1). Polyclonal antibody (PAb) to the NAL-HNE fluorophore was raised in rabbit and found to be highly specific
GE Healthcare Benzamidine Sepharose™ 6B is p-aminobenzamidine covalently attached to Sepharose 6B by the epoxy coupling method. p-Aminobenzamidine (PAB), is a synthetic inhibitor of trypsin-like serine protease. Trypsin and trypsin
Nucleic Acid Programmable Protein Arrays: Versatile Tools for Array‐Based Functional Protein Studies
.g., Sigma) 50 mg/ml bis‐sulfosuccinimdylsuberate (BS3 ;Pierce, cat. no. PI 21580) in dimethylsulfoxide (DMSO) 5 mg/ml
技术资料暂无技术资料 索取技术资料





