相关产品推荐更多 >
万千商家帮你免费找货
0 人在求购买到急需产品
- 详细信息
- 文献和实验
- 技术资料
- 应用范围:
产品信息以Bioss网站为准
- 规格:
50ul/100ul/200ul
| 规格: | 50ul | 产品价格: | ¥1180.0 |
|---|---|---|---|
| 规格: | 100ul | 产品价格: | ¥1980.0 |
| 规格: | 200ul | 产品价格: | ¥2800.0 |
| 产品编号 | bs-12710R |
| 英文名称 | phospho-IRS1 (Ser616) Rabbit pAb |
| 中文名称 | 磷酸化胰岛素受体底物1抗体 |
| 英文别名 | IRS1(phospho S616); p-IRS1(phospho S616); IRS1_HUMAN; Insulin receptor substrate 1; IRS-1; IRS 1; |
| 产品应用 | WB=1:500-2000, IHC-P=1:100-500, IHC-F=1:100-500, ICC/IF=1:100-500, IF=1:100-500, Flow-Cyt=1μg/Test Not yet tested in other applications. |
| 交叉反应 | Human, Mouse, Rat (Chicken, Dog, Pig, Cow, Horse, Rabbit, Sheep) |
| 抗体来源 | Rabbit |
| 免疫原 | KLH conjugated synthesised phosphopeptide derived from human IRS1 around the phosphorylation site of Ser616 |
| 亚型 | IgG |
| 性状 | Liquid |
| 纯化方法 | affinity purified by Protein A |
| 克隆类型 | Polyclonal |
| 理论分子量 | 131 kDa |
| 浓度 | 1mg/ml |
| 储存液 | 0.01M TBS (pH7.4) with 1% BSA, 0.02% Proclin300 and 50% Glycerol. |
| 研究领域 | Cancer > Signal transduction Cardiovascular > Atherosclerosis > Diabetes associated Metabolism > Types of disease > Cancer Metabolism > Types of disease > Diabetes Metabolism > Types of disease > Heart disease Metabolism > Types of disease > Obesity Neuroscience > Neurology process > Metabolism Signal Transduction > Adapters > Cytoplasmic Signal Transduction > Growth Factors/Hormones > Insulin / Insulin-like Tags & Cell Markers > Cell Type Markers > Tumor Associated |
| 亚基 | Interacts with UBTF and PIK3CA. Interacts (via phosphorylated YXXM motifs) with PIK3R1. Interacts with ROCK1 and FER. Interacts (via PH domain) with PHIP. Interacts with GRB2. Interacts with SOCS7. Interacts (via IRS-type PTB domain) with IGF1R and INSR (via the tyrosine-phosphorylated NPXY motif). Interacts with ALK. |
| 亚细胞定位 | IRS1 is predominantly found in the cytoplasm. Nuclear localization may occur in some cell types and under specific stimuli. |
| 组织特异性 | Isoform Long and isoform Short are predominantly expressed in tissue targets of insulin metabolic effects: liver, adipose tissue and skeletal muscle but are also expressed in the peripheral nerve, kidney, pulmonary alveoli, pancreatic acini, placenta vascular endothelium, fibroblasts, monocytes, granulocytes, erythrocytes and skin. Isoform Short is preferentially expressed in fetal cells such as fetal fibroblasts, muscle, liver and kidney. Found as a hybrid receptor with IGF1R in muscle, heart, kidney, adipose tissue, skeletal muscle, hepatoma, fibroblasts, spleen and placenta (at protein level). Overexpressed in several tumors, including breast, colon, lung, ovary, and thyroid carcinomas. |
| 翻译后修饰 | Serine phosphorylation of IRS1 is a mechanism for insulin resistance. Ser-312 phosphorylation inhibits insulin action through disruption of IRS1 interaction with the insulin receptor. Phosphorylation of Tyr-896 is required for GRB2-binding. |
| 相似性 | Contains 1 IRS-type PTB domain. Contains 1 PH domain. |
| 功能 | May mediate the control of various cellular processes by insulin. When phosphorylated by the insulin receptor binds specifically to various cellular proteins containing SH2 domains such as phosphatidylinositol 3-kinase p85 subunit or GRB2. Activates phosphatidylinositol 3-kinase when bound to the regulatory p85 subunit. |
| 保存条件 | Shipped at 4℃. Store at -20℃ for one year. Avoid repeated freeze/thaw cycles. |
| 注意事项 | This product as supplied is intended for research use only, not for use in human, therapeutic or diagnostic applications. |
| 背景资料 | Insulin receptor substrates (IRS) are responsible for several insulin related activities, such as glucose homeostasis, cell growth, cell transformation, apoptosis and insulin signal transduction. Serine/threonine phosphorylation of IRS1 has been demonstrated to be a negative regulator of insulin signaling and is responsible for its degradation, although IRS1 degradation pathways are not well understood. IRS1 has also been shown to be constitutively activated in cancers such as breast cancer, Wilm's tumors, and adrenal cortical carcinomas, thus making IRS1 phosphorylation and subsequent degradation an attractive therapeutic target. To date there have been four subtypes identified: IRS1, 2, 3 and 4, with IRS1 being widely expressed. |
| 应用 | 推荐稀释比例 |
| {WB} | {1:500-2000} |
| {IHC-P} | {1:100-500} |
| {IHC-F} | {1:100-500} |
| {ICC/IF} | {1:100-500} |
| {IF} | {1:100-500} |
| {Flow-Cyt} | {1μg/Test} |



Primary Antibody (green line): Rabbit Anti-phospho-IRS1 (Ser616) antibody (bs-12710R)
Dilution: 1μg /10^6 cells;
Isotype Control Antibody (orange line): Rabbit IgG .
Secondary Antibody : Goat anti-rabbit IgG-AF647
Dilution: 1μg /test.
Protocol
The cells were fixed with 4% PFA (10min at room temperature)and then permeabilized with 90% ice-cold methanol for 20 min at-20℃.The cells were then incubated in 5%BSA to block non-specific protein-protein interactions for 30 min at room temperature .Cells stained with Primary Antibody for 30 min at room temperature. The secondary antibody used for 40 min at room temperature. Acquisition of 20,000 events was performed.

Primary Antibody (green line): Rabbit Anti-phospho-IRS1 (Ser616) antibody (bs-12710R),Dilution: 0.2μg /10^6 cells;
Isotype Control Antibody (orange line): Rabbit IgG .
Secondary Antibody (white blue line): Goat anti-rabbit IgG-PE,Dilution: 1μg /test.


Lane 1: Mouse Cerebrum tissue lysates
Lane 2: Mouse Cerebellum tissue lysates
Primary: Anti- phospho-IRS1 (Ser616) (bs-12710R) at 1/1000 dilution
Secondary: IRDye800CW Goat Anti-Rabbit IgG at 1/20000 dilution
Predicted band size: 131 kDa
Observed band size: 185 kDa
风险提示:丁香通仅作为第三方平台,为商家信息发布提供平台空间。用户咨询产品时请注意保护个人信息及财产安全,合理判断,谨慎选购商品,商家和用户对交易行为负责。对于医疗器械类产品,请先查证核实企业经营资质和医疗器械产品注册证情况。
文献和实验[IF={{ 7.097 }}] {Yilan Shen et al. VEGF-B antibody and interleukin-22 fusion protein ameliorates diabetic nephropathy through inhibiting lipid accumulation and inflammatory responses.} {WB} {mouse}
[IF={{ 2.8 }}] {Xue Chen. et al. Follicular fluid exosomes inhibit expression of BTG2 and promote glucose uptake in granulosa cells by delivering miR-21-5p. THERIOGENOLOGY. 2024 Apr;218:45} {WB} {Pig}
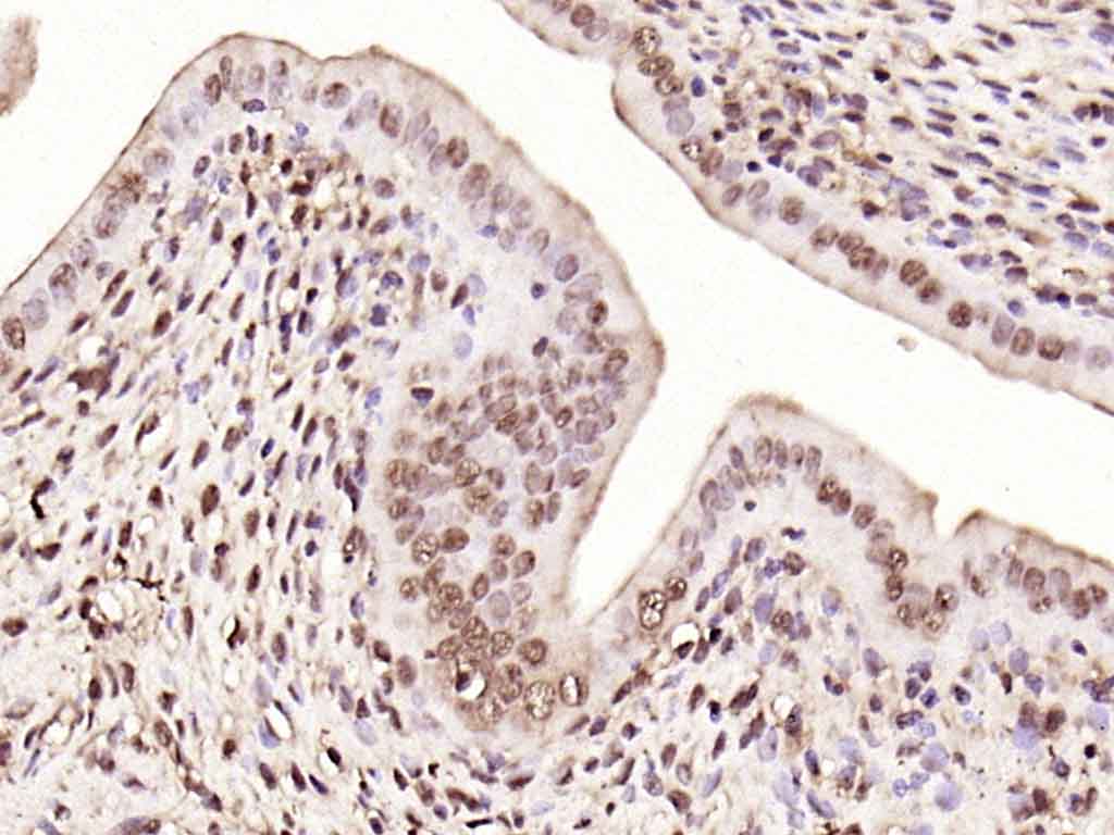
:使用 Anti-phospho-Akt (Ser473) Rabbit mAb 对石蜡包埋的人乳腺癌组织进行免疫组织化学分析。(图 A)使用免疫组化试剂盒M&R HRP/DAB Detection IHC Kit,抗体 1:100 稀释;(图 B) 采用普通免疫组化试剂盒,抗体 1:25 稀释。 图 6 免疫组化实验检测 Erk1/2 表达 注:使用 Anti-Erk1/2 Mouse mAb与p44/42 MAPK (Erk1/2)Rabbit mAb 对正常小鼠心脏组织进行免疫
at 10, 25, and 50 μM). At 24 h post-treatment, celllysates were obtained; SDS-PAGE and Western blotting were performed as described in Section 3, Methods. AR-A014418dose-dependent decreases of phospho-β-catenin (Ser33/37) and phospho-glycogen synthase
(Ser473)(193H12)Rabbit mAb,1:300,稀释,二抗是驴抗兔,1:2000,我是实验室的新手,刚呆俩月,受 此挫折,一头雾水,请过来人或者有经验的同学帮忙解答怎样解决,非常感谢! 碧峤 pAkt有两个位点,Ser473和Thr308,其中Ser473相对容易显色。如果显色失败,可能的原因:1 上样量过少,我们一般都是30μg;2 一抗孵育时间过短,我们一般24h~48h;3 一抗是否工作有待排除 米宝
技术资料暂无技术资料 索取技术资料











