相关产品推荐更多 >

ERBB2/HER2 Rabbit pAb, AP conjugated(bs-0125R-AP)-100ul
¥2980
Nur77 Rabbit pAb, PerCP-Cy5.5 conjugated(bs-3513R-PerCP-Cy5.5)-100ul
¥2980
RALGAPB/p170 Rabbit pAb(bs-21146R)-50ul/100ul/200ul
¥1180
Cytokeratin 3 Rabbit pAb, AP conjugated(bs-10708R-AP)-100ul
¥2980
CHRNA1 Rabbit pAb, FITC conjugated(bs-10169R-FITC)-100ul
¥2980
万千商家帮你免费找货
0 人在求购买到急需产品
- 详细信息
- 技术资料
- 应用范围:
产品信息以Bioss网站为准
- 规格:
50ul/100ul
| 规格: | 50ul | 产品价格: | ¥1180.0 |
|---|---|---|---|
| 规格: | 100ul | 产品价格: | ¥1980.0 |
| 产品编号 | bsm-43117M |
| 英文名称 | CD63 Mouse mAb |
| 中文名称 | 黑色素瘤相关抗原单克隆抗体 |
| 英文别名 | Lysosomal associated membrane protein 3; CD63 antigen; CD63 antigen melanoma 1 antigen; CD63 molecule; granulophysin; LAMP 3; LAMP3; lysosome associated membrane glycoprotein 3; CD 63; CD63 antigen(melanoma 1 antigen); CD63_HUMAN; gp55; granulophysin; LAMP-3; LIMP; Lysosomal-associated membrane protein 3; Melanoma-associated antigen ME491; NGA; Ocular melanoma-associated antigen; PTLGP40; Tetraspanin-30; Tspan-30; Mast cell antigen AD1; ME491; melanoma 1 antigen; Melanoma associated antigen ME491; Melanoma associated antigen MLA1; MGC72893; MLA 1; MLA1; ocular melanoma associated antigen; OMA81H; Tetraspanin 30; Tspan 30; TSPAN30; Tumor biomarkers; Platelets markers. |
| 产品应用 | IHC-P=1:100-500, IHC-F=1:100-500, IF=1:100-500, ELISA=1:5000-10000 Not yet tested in other applications. |
| 交叉反应 | Human |
| 抗体来源 | Mouse |
| 免疫原 | Recombinant human CD63 protein |
| 亚型 | IgG |
| 性状 | Liquid |
| 纯化方法 | affinity purified by Protein A |
| 克隆类型 | Monoclonal |
| 理论分子量 | 26 kDa |
| 实际分子量 | 30-50kDa |
| 浓度 | 1mg/ml |
| 储存液 | 0.01M TBS (pH7.4) with 1% BSA, 0.02% Proclin300 and 50% Glycerol. |
| 研究领域 | Cancer > Invasion/microenvironment > ECM > Cell adhesion Cancer > Tumor biomarkers > Tumor antigens Cardiovascular > Blood > Platelets Immunology > Cell Type Markers > CD > Platelets Tags & Cell Markers > Cell Type Markers > Tumor Associated |
| 亚细胞定位 | Cell membrane; Multi-pass membrane protein. Lysosome membrane; Multi-pass membrane protein. Late endosome membrane; Multi-pass membrane protein. Note=Also found in Weibel-Palade bodies of endothelial cells. Located in platelet dense granules. |
| 组织特异性 | Dysplastic nevi, radial growth phase primary melanomas, hematopoietic cells, tissue macrophages. |
| 相似性 | Belongs to the tetraspanin (TM4SF) family. |
| 功能 | This antigen is associated with early stages of melanoma tumor progression. May play a role in growth regulation. |
| 保存条件 | Shipped at 4℃. Store at -20℃ for one year. Avoid repeated freeze/thaw cycles. |
| 注意事项 | This product as supplied is intended for research use only, not for use in human, therapeutic or diagnostic applications. |
| 背景资料 | The protein encoded by this gene is a member of the transmembrane 4 superfamily, also known as the tetraspanin family. Most of these members are cell-surface proteins that are characterized by the presence of four hydrophobic domains. The proteins mediate signal transduction events that play a role in the regulation of cell development, activation, growth and motility. The encoded protein is a cell surface glycoprotein that is known to complex with integrins. It may function as a blood platelet activation marker. Deficiency of this protein is associated with Hermansky-Pudlak syndrome. Also this gene has been associated with tumor progression. Alternative splicing results in multiple transcript variants encoding different protein isoforms. [provided by RefSeq, Apr 2012] |
| 应用 | 推荐稀释比例 |
| {IHC-P} | {1:100-500} |
| {IHC-F} | {1:100-500} |
| {IF} | {1:100-500} |
| {ELISA} | {1:5000-10000} |

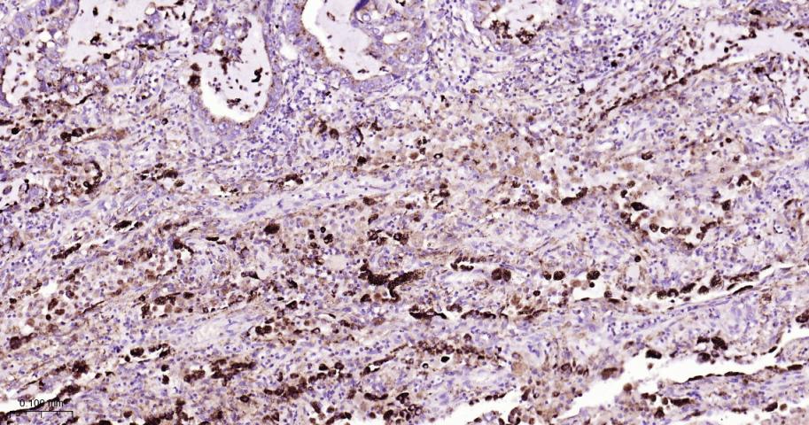
Paraformaldehyde-fixed, paraffin embedded Human Lung Cancer; Antigen retrieval by boiling in sodium citrate buffer (pH6.0) for 15 min; Antibody incubation with CD63 Monoclonal Antibody, Unconjugated(bsm-43117M) at 1:100 overnight at 4°C, followed by conjugation to the bs-40296G-HRP and DAB (C-0010) staining.

Paraformaldehyde-fixed, paraffin embedded Human melanoma; Antigen retrieval by boiling in sodium citrate buffer (pH6.0) for 15 min; Antibody incubation with CD63 Monoclonal Antibody, Unconjugated(bsm-43117M) at 1:100 overnight at 4°C, followed by conjugation to the bs-40296G-HRP and DAB (C-0010) staining.

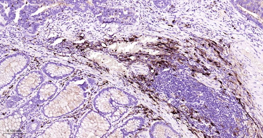
Paraformaldehyde-fixed, paraffin embedded Human Colon Cancer; Antigen retrieval by boiling in sodium citrate buffer (pH6.0) for 15 min; Antibody incubation with CD63 Monoclonal Antibody, Unconjugated(bsm-43117M) at 1:100 overnight at 4°C, followed by conjugation to the bs-40296G-HRP and DAB (C-0010) staining.

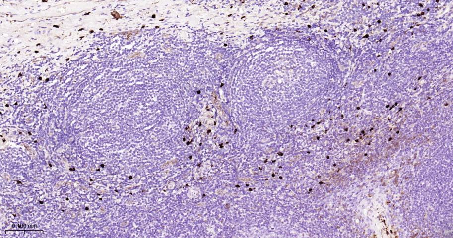
Paraformaldehyde-fixed, paraffin embedded Human Tonsil; Antigen retrieval by boiling in sodium citrate buffer (pH6.0) for 15 min; Antibody incubation with CD63 Monoclonal Antibody, Unconjugated(bsm-43117M) at 1:100 overnight at 4°C, followed by conjugation to the bs-40296G-HRP and DAB (C-0010) staining.

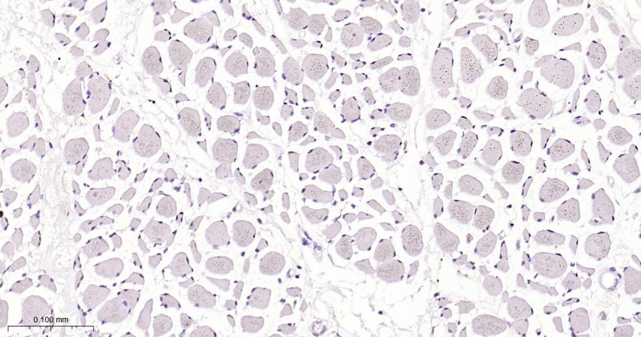
Paraformaldehyde-fixed, paraffin embedded Human Skeletal muscle; Antigen retrieval by boiling in sodium citrate buffer (pH6.0) for 15 min; Antibody incubation with CD63 Monoclonal Antibody, Unconjugated(bsm-43117M) at 1:100 overnight at 4°C, followed by conjugation to the bs-40296G-HRP and DAB (C-0010) staining.

Paraformaldehyde-fixed, paraffin embedded Human Spleen; Antigen retrieval by boiling in sodium citrate buffer (pH6.0) for 15 min; Antibody incubation with CD63 Monoclonal Antibody, Unconjugated(bsm-43117M) at 1:100 overnight at 4°C, followed by conjugation to the bs-40296G-HRP and DAB (C-0010) staining.

Paraformaldehyde-fixed, paraffin embedded Human Colon; Antigen retrieval by boiling in sodium citrate buffer (pH6.0) for 15 min; The section was incubated with CD63 Monoclonal Antibody, Unconjugated (bsm-43117M) at 1:200 overnight at 4°C. Followed by conjugated Goat Anti-Mouse IgG antibody (green, bs-0296G-BF488), DAPI (blue, C02-04002) was used to stain the cell nuclei.
风险提示:丁香通仅作为第三方平台,为商家信息发布提供平台空间。用户咨询产品时请注意保护个人信息及财产安全,合理判断,谨慎选购商品,商家和用户对交易行为负责。对于医疗器械类产品,请先查证核实企业经营资质和医疗器械产品注册证情况。
技术资料暂无技术资料 索取技术资料
CD63 Mouse mAb(bsm-43117M)-50ul/100ul
¥1180 - 1980





