相关产品推荐更多 >

RNA polymerase II CTD repeat YSPTSPS (phospho S2) Rabbit pAb, BF350 conjugated(bs-6581R-BF350)-100ul
¥2980
FLNC Rabbit pAb, Biotin conjugated(bs-13182R-Bio)-100ul
¥2980
VZV gE Rabbit pAb(bs-2689R)-50ul/100ul/200ul
¥1180
TMEM120A Rabbit pAb(bs-20822R)-50ul/100ul/200ul
¥1180
phospho-TORC2 (Ser171) Rabbit pAb, BF750 conjugated(bs-3415R-BF750)-100ul
¥2980
万千商家帮你免费找货
0 人在求购买到急需产品
- 详细信息
- 文献和实验
- 技术资料
- 应用范围:
产品信息以Bioss网站为准
- 规格:
50ul/100ul/200ul
| 规格: | 50ul | 产品价格: | ¥1180.0 |
|---|---|---|---|
| 规格: | 100ul | 产品价格: | ¥1980.0 |
| 规格: | 200ul | 产品价格: | ¥2800.0 |
| 产品编号 | bs-41107R |
| 英文名称 | Myoglobin Rabbit pAb |
| 中文名称 | 肌红蛋白抗体 |
| 英文别名 | MYO; MB; MGC13548; PVALB; MYG_HUMAN. |
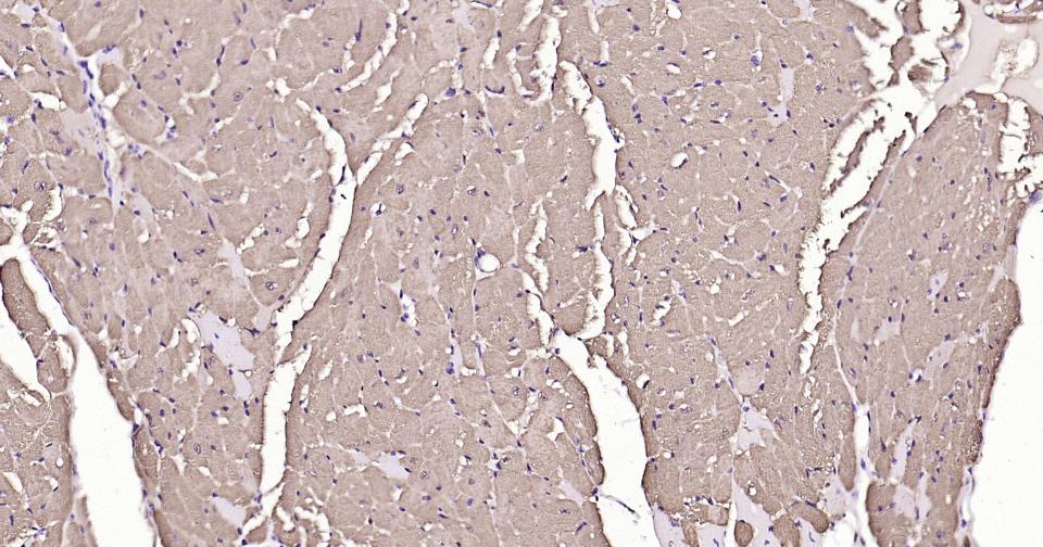
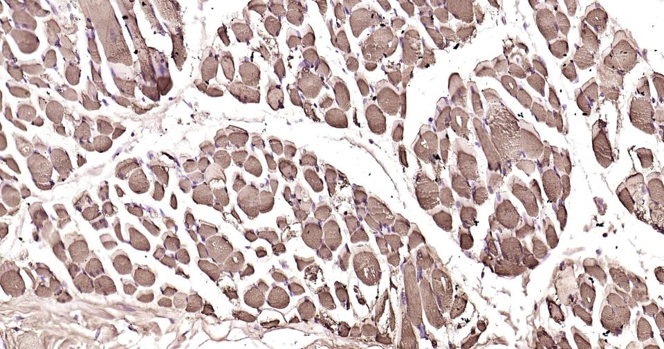
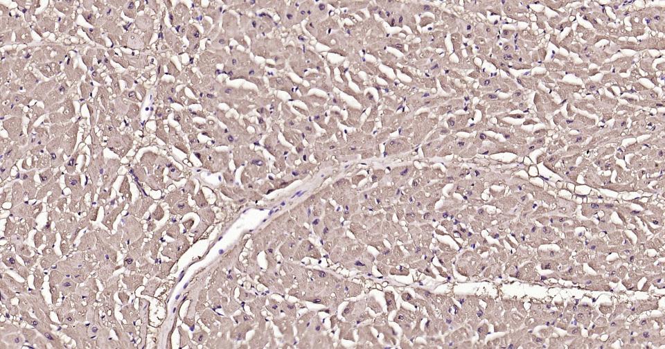
| 产品应用 | WB=1:500-2000, IHC-P=1:100-500, IHC-F=1:100-500, IF=1:100-500 Not yet tested in other applications. |
| 交叉反应 | Human, Mouse, Rat |
| 抗体来源 | Rabbit |
| 免疫原 | Purified Human Myoglobin (Natural Human Myoglobin protein) |
| 亚型 | IgG |
| 性状 | Liquid |
| 纯化方法 | affinity purified by Protein A |
| 克隆类型 | Polyclonal |
| 理论分子量 | 17 kDa |
| 浓度 | 1mg/ml |
| 储存液 | 0.01M TBS (pH7.4) with 1% BSA, 0.02% Proclin300 and 50% Glycerol. |
| 研究领域 | Cancer > Cancer Metabolism > Response to hypoxia Cardiovascular > Blood Cardiovascular > Blood > Blood Cell Antigens > RBC Antigens Cardiovascular > Heart > Apoptosis Metabolism > Pathways and Processes > Metabolism processes > Hypoxia Metabolism > Types of disease > Cancer |
| 亚细胞定位 | Cytosol; Extracellular region or secreted |
| 相似性 | Belongs to the globin family. |
| 功能 | Serves as a reserve supply of oxygen and facilitates the movement of oxygen within muscles. |
| 保存条件 | Shipped at 4℃. Store at -20℃ for one year. Avoid repeated freeze/thaw cycles. |
| 注意事项 | This product as supplied is intended for research use only, not for use in human, therapeutic or diagnostic applications. |
| 背景资料 | Myoglobin is a small heme containing protein responsible for the oxygen deposition in muscle tissues. Only one form of myoglobin is expressed in cardiac and skeletal muscles. Myoglobin is known as a marker of myocardial damage and it has been used for more than three decades. Nowadays it still is very commonly used in clinical practice as an early marker of AMI. It appears in patient's blood 1 to 3 hours after onset of the symptoms, reaching peak level within 8 to 12 hours. Myoglobin is not so cardiac specific as cTnI or cTnT. Because of high myoglobin concentration in skeletal muscle tissue, even minor skeletal muscle injury results in the significant increase of myoglobin concentration in blood. Thus myoglobin is used together with cTnI or cTnT in clinical practise for better specificity in AMI diagnosis. |
| 应用 | 推荐稀释比例 |
| {WB} | {1:500-2000} |
| {IHC-P} | {1:100-500} |
| {IHC-F} | {1:100-500} |
| {IF} | {1:100-500} |

Lane 1: Muscle (Mouse) Lysate at 40 ug
Lane 2: Heart (Mouse) Lysate at 40 ug
Lane 3: Heart (Rat) Lysate at 40 ug
Primary: Anti-Myoglobin (bs-41107R) at 1/1000 dilution
Secondary: IRDye800CW Goat Anti-Rabbit IgG at 1/20000 dilution
Predicted band size: 17 kD
Observed band size: 17 kD


Human Myoglobin Protein at 100 ng
Muscle (Mouse) Lysate at 30 ug
Muscle (Rat) Lysate at 20 ug
Primary: Anti-Myoglobin (bs-41107R) at 1/300 dilution
Secondary: IRDye800CW Goat Anti-Rabbit IgG at 1/20000 dilution
Predicted band size: 17 kD
Observed band size: 14 kD





风险提示:丁香通仅作为第三方平台,为商家信息发布提供平台空间。用户咨询产品时请注意保护个人信息及财产安全,合理判断,谨慎选购商品,商家和用户对交易行为负责。对于医疗器械类产品,请先查证核实企业经营资质和医疗器械产品注册证情况。
文献和实验[IF={{ 5.085 }}] {Shuang-Yan Chang. et al. miR-320 regulates myogenesis by targeting growth factor receptor-bound protein-2 and ameliorates myotubes atrophy. INT J BIOCHEM CELL B. 2022 Jun;147:106212} {WB} {Mouse}
= NAL), appears to form upon oxidative cyclization of the nonfluorescent 2:1 lysine-HNE Michael adduct-Schiff base cross-link (Scheme 1). Polyclonal antibody (PAb) to the NAL-HNE fluorophore was raised in rabbit and found to be highly specific
GE Healthcare Benzamidine Sepharose™ 6B is p-aminobenzamidine covalently attached to Sepharose 6B by the epoxy coupling method. p-Aminobenzamidine (PAB), is a synthetic inhibitor of trypsin-like serine protease. Trypsin and trypsin
Immunohistochemistry / Immunocytochemistry Procedures
of fixative for each antigen. However frozen sections give less morphological detail and resolution than other methods. Rabbit anti-alpha-internexin (Cat No. AB5354
技术资料暂无技术资料 索取技术资料






