相关产品推荐更多 >
万千商家帮你免费找货
0 人在求购买到急需产品
- 详细信息
- 技术资料
- 应用范围:
产品信息以Bioss网站为准
- 规格:
50ul/100ul/200ul
| 规格: | 50ul | 产品价格: | ¥1180.0 |
|---|---|---|---|
| 规格: | 100ul | 产品价格: | ¥1980.0 |
| 规格: | 200ul | 产品价格: | ¥2800.0 |
| 产品编号 | bs-7381R |
| 英文名称 | PPP3CA Rabbit pAb |
| 中文名称 | 钙调磷酸酶A/钙依赖磷酸酶A抗体 |
| 英文别名 | Calcineurin A; alpha isoform formerly PPP2B; Calcineurin A alpha; Calcineurin A1; CalcineurinA; Calmodulin dependent calcineurin A subunit alpha isoform; Calmodulin-dependent calcineurin A subunit alpha isoform; CALN; CALNA 1; CALNA; CALNA1; CAM PRP catalytic subunit; CAM-PRP catalytic subunit; CCN 1; CCN1; CNA 1; CNA alpha; CNA; CNA1; PP2BA_HUMAN; PPP2B; Ppp3ca; Protein phosphatase 2B catalytic subunit; Protein phosphatase 3(formerly 2B) catalytic subunit alpha isoform; Protein phosphatase 3 catalytic subunit alpha isoform PPP3CA; Protein phosphatase 3 catalytic subunit alpha isozyme; Serine/threonine protein phosphatase 2B catalytic subunit alpha isoform; Serine/threonine-protein phosphatase 2B catalytic subunit alpha isoform. |
| 产品应用 | WB=1:500-2000, IHC-P=1:100-500, IHC-F=1:100-500, IF=1:100-500 Not yet tested in other applications. |
| 交叉反应 | Mouse, Rat (Human, Dog, Pig, Rabbit, Zebrafish) |
| 抗体来源 | Rabbit |
| 免疫原 | KLH conjugated synthetic peptide derived from human PPP3CA |
| 亚型 | IgG |
| 性状 | Liquid |
| 纯化方法 | affinity purified by Protein A |
| 克隆类型 | Polyclonal |
| 理论分子量 | 59 kDa |
| 浓度 | 1mg/ml |
| 储存液 | 0.01M TBS (pH7.4) with 1% BSA, 0.02% Proclin300 and 50% Glycerol. |
| 研究领域 | Immunology > Adaptive Immunity > B Cells > Non-CD Signal Transduction > Protein Phosphorylation > Ser / Thr Phosphatases Signal Transduction > Signaling Pathway > Calcium Signaling > Calmodulin Pathway |
| 亚基 | Interacts with CHP1 and CHP2. Composed of two components (A and B), the A component is the catalytic subunit and the B component confers calcium sensitivity. Interacts with CRTC2, MYOZ1, MYOZ2 and MYOZ3. Interacts with DNM1L; the interaction dephosphorylates DNM1L and regulates its translocation to mitochondria. Interacts with CMYA5; this interaction represses calcineurin activity in muscle. |
| 亚细胞定位 | Nucleus. Note=Colocalizes with ACTN1 and MYOZ2 at the Z line in heart and skeletal muscle. |
| 组织特异性 | Interacts with CHP1 and CHP2. Composed of two components (A and B), the A component is the catalytic subunit and the B component confers calcium sensitivity. Interacts with CRTC2, MYOZ1, MYOZ2 and MYOZ3. Interacts with DNM1L; the interaction dephosphorylates DNM1L and regulates its translocation to mitochondria. Interacts with CMYA5; this interaction represses calcineurin activity in muscle. |
| 相似性 | Belongs to the PPP phosphatase family. PP-2B subfamily. |
| 功能 | Calcium-dependent, calmodulin-stimulated protein phosphatase. This subunit may have a role in the calmodulin activation of calcineurin. Dephosphorylates DNM1L, HSPB1 and SSH1. |
| 保存条件 | Shipped at 4℃. Store at -20℃ for one year. Avoid repeated freeze/thaw cycles. |
| 注意事项 | This product as supplied is intended for research use only, not for use in human, therapeutic or diagnostic applications. |
| 背景资料 | Calcineurin, a major soluble calmodulin binding protein in the brain, a Ca2+/calmodulin dependent serine/threonine protein phosphatase, with a relatively narrow substrate specificity. This metalloenzyme, also known as phosphatase 2B, is a heterodimer composed of a calmodulin binding, catalytic alpha subunit 61 kDa, calcineurin A) and calcium binding beta subunit (18 kDa, calcineurin B). The Ca2+ binding subunit, calcineurin B, is immunologically conserved from yeast to mammals. The presence of 2 different calcineurin B isoforms (beta 1 and beta 2) has been reported in rat testis. The catalytic subunit of calcineurin, calcineurin A, isolated from different tissues or different organisms, exhibits some immunological heterogeneity. Further, there are at least 2 isoforms of calcineurin A in bovine brain (alpha 1 and alpha 2, 61 and 59 kDa, respectively). |
| 应用 | 推荐稀释比例 |
| {WB} | {1:500-2000} |
| {IHC-P} | {1:100-500} |
| {IHC-F} | {1:100-500} |
| {IF} | {1:100-500} |

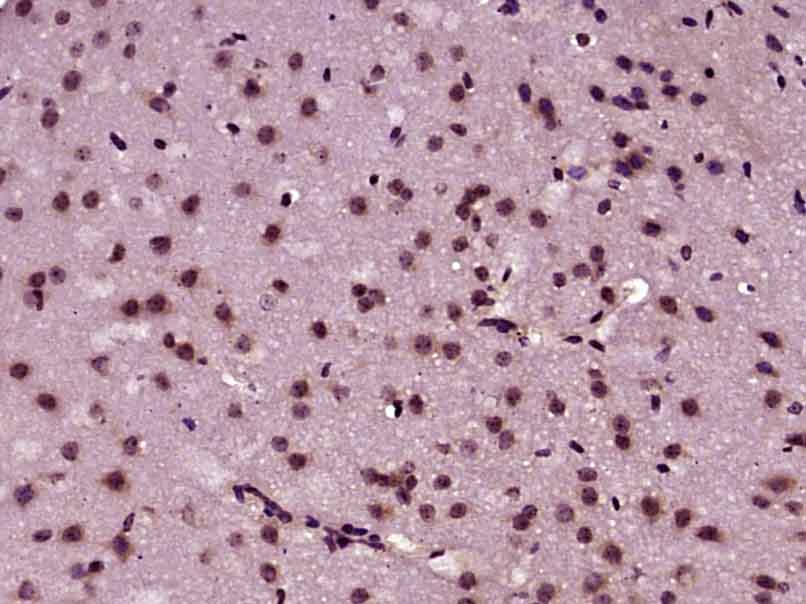
Paraformaldehyde-fixed, paraffin embedded (Mouse brain); Antigen retrieval by boiling in sodium citrate buffer (pH6.0) for 15min; Block endogenous peroxidase by 3% hydrogen peroxide for 20 minutes; Blocking buffer (normal goat serum) at 37°C for 30min; Antibody incubation with (PPP3CA) Polyclonal Antibody, Unconjugated (bs-7381R) at 1:400 overnight at 4°C, followed by operating according to SP Kit(Rabbit) (sp-0023) instructionsand DAB staining.

25 ug total protein per lane of various lysates (see on figure) probed with PPP3CA polyclonal antibody, unconjugated (bs-7381R) at 1:1000 dilution and 4°C overnight incubation. Followed by conjugated secondary antibody incubation at r.t. for 60 min.
风险提示:丁香通仅作为第三方平台,为商家信息发布提供平台空间。用户咨询产品时请注意保护个人信息及财产安全,合理判断,谨慎选购商品,商家和用户对交易行为负责。对于医疗器械类产品,请先查证核实企业经营资质和医疗器械产品注册证情况。
技术资料暂无技术资料 索取技术资料
PPP3CA Rabbit pAb(bs-7381R)-50ul/100ul/200ul
¥1180 - 2800









