相关产品推荐更多 >

PHEX Rabbit pAb, Cy5.5 conjugated(bs-12313R-Cy5.5)-100ul
¥2980
Anti-human VEGFR2 / KDR / CD309 (Vulinacimab Biosimilar)(BIO0835SM)-1mg/5mg/20mg
¥3200
Macrophage Inflammatory Protein 1 gamma Rabbit pAb(bs-2477R)-50ul/100ul/200ul
¥1180
IL26 Rabbit pAb(bs-2626R)-50ul/100ul/200ul
¥1180
alpha smooth muscle Actin Mouse mAb(bsm-33187M)-50ul/100ul/200ul/200ug
¥1180
万千商家帮你免费找货
0 人在求购买到急需产品
- 详细信息
- 文献和实验
- 技术资料
- 应用范围:
产品信息以Bioss网站为准
- 规格:
50ul/100ul/200ul
| 规格: | 50ul | 产品价格: | ¥1180.0 |
|---|---|---|---|
| 规格: | 100ul | 产品价格: | ¥1980.0 |
| 规格: | 200ul | 产品价格: | ¥2800.0 |
| 产品编号 | bsm-41117M |
| 英文名称 | PD-1 Mouse mAb |
| 中文名称 | 程序性死亡1(CD279)单克隆抗体 |
| 英文别名 | Programmed cell death protein 1; CD279; CD279 antigen; hPD 1; hPD-1; hSLE1; PD 1; PD1; PDCD 1; PDCD1; PDCD1_HUMAN; Programmed cell death 1; Protein PD 1; Protein PD-1; SLEB2; Systemic lupus erythematosus susceptibility 2. |
| 产品应用 | IHC-P=1:50-200, IHC-F=1:50-200, IF=1:50-200 Not yet tested in other applications. |
| 交叉反应 | Human |
| 抗体来源 | Mouse |
| 免疫原 | Recombinant human PD1 |
| 亚型 | IgG1 |
| 性状 | Liquid |
| 纯化方法 | affinity purified by Protein G |
| 克隆类型 | Monoclonal |
| 理论分子量 | 32 kDa |
| 浓度 | 1mg/1ml |
| 储存液 | 0.01M TBS (pH7.4) with 1% BSA, 0.02% Proclin300 and 50% Glycerol. |
| 研究领域 |
Cancer > Cell Death > Apoptosis Cancer > Invasion/microenvironment > Apoptosis Cancer > Tumor immunology > CD markers Cell Biology > Apoptosis > Receptors > Death Receptors Immunology > Adaptive Immunity > Regulatory T Cells Immunology > Adaptive Immunity > T Cells > CD |
| 亚基 | Monomer. |
| 亚细胞定位 | Membrane; Single-pass type I membrane protein. |
| 组织特异性 |
Expressed in lymph node and 85 other tissues |
| 相似性 | Contains 1 Ig-like V-type (immunoglobulin-like) domain. |
| 功能 |
Inhibitory receptor on antigen activated T-cells that plays a critical role in induction and maintenance of immune tolerance to self (PubMed:21276005). The PDCD1-mediated inhibitory pathway is exploited by tumors to attenuate anti-tumor immunity and escape destruction by the immune system, thereby facilitating tumor survival (PubMed:28951311). The interaction with CD274/PDCD1L1 inhibits cytotoxic T lymphocytes (CTLs) effector function (PubMed:28951311). |
| 保存条件 | Shipped at 4℃. Store at -20℃ for one year. Avoid repeated freeze/thaw cycles. |
| 注意事项 | This product as supplied is intended for research use only, not for use in human, therapeutic or diagnostic applications. |
| 背景资料 | Programmed cell death protein 1 (PDCD1) is an immune-inhibitory receptor expressed in activated T cells; it is involved in the regulation of T-cell functions, including those of effector CD8+ T cells. In addition, this protein can also promote the differentiation of CD4+ T cells into T regulatory cells. PDCD1 is expressed in many types of tumors including melanomas, and has demonstrated to play a role in anti-tumor immunity. Moreover, this protein has been shown to be involved in safeguarding against autoimmunity, however, it can also contribute to the inhibition of effective anti-tumor and anti-microbial immunity. [provided by RefSeq, Aug 2020] |
| 应用 | 推荐稀释比例 |
| {IHC-P} | {1:50-200} |
| {IHC-F} | {1:50-200} |
| {IF} | {1:50-200} |
风险提示:丁香通仅作为第三方平台,为商家信息发布提供平台空间。用户咨询产品时请注意保护个人信息及财产安全,合理判断,谨慎选购商品,商家和用户对交易行为负责。对于医疗器械类产品,请先查证核实企业经营资质和医疗器械产品注册证情况。
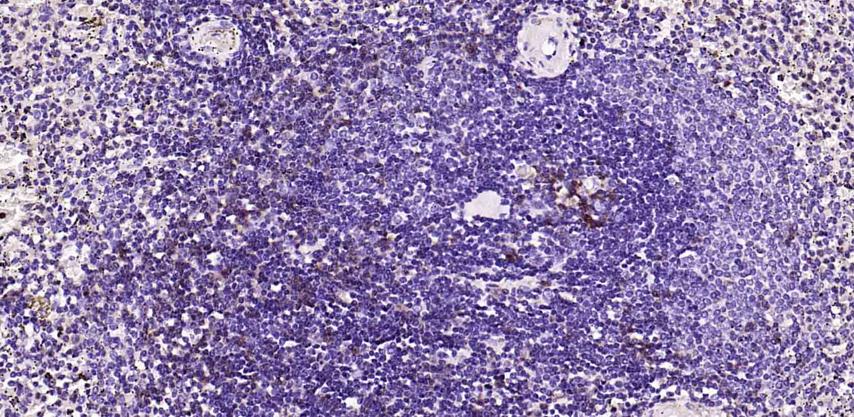
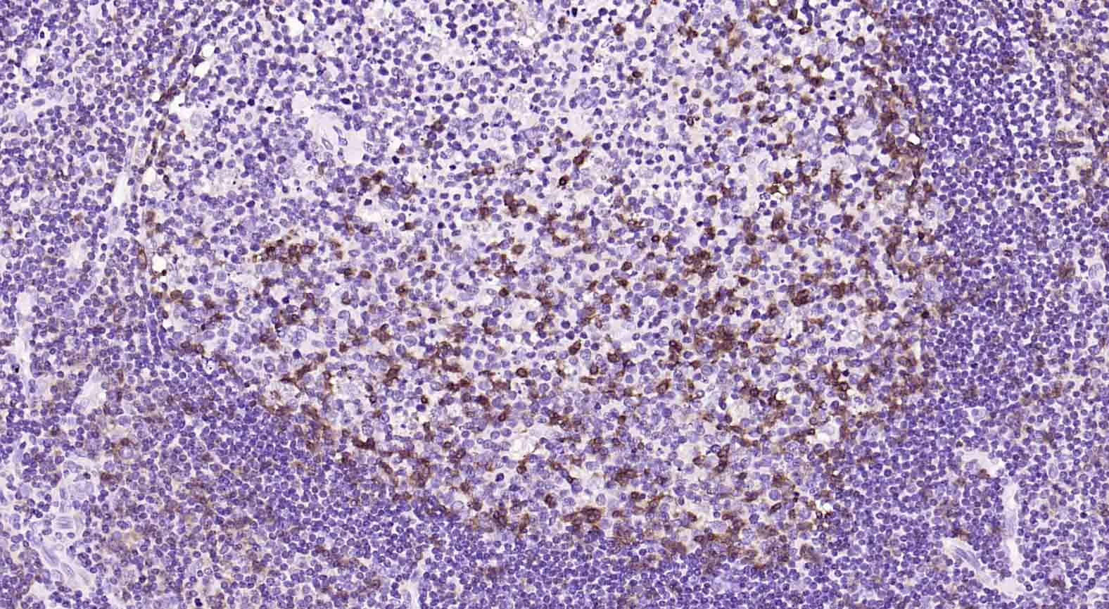
文献和实验[IF={{ 6.3 }}] {Qiao-xin Lin. et al.Sequential treatment of anti-PD-L1 therapy prior to anti-VEGFR2 therapy contributes to more significant clinical benefits in non-small cell lung cancer.neoplasia.2025 Jan:59:101077.} {IHC} {Mouse}
[IF={{ 5.6 }}] {Meiying Song. et al. Pathogenic Th17 cell-mediated liver fibrosis contributes to resistance to PD-L1 antibody immunotherapy in hepatocellular carcinoma. INT IMMUNOPHARMACOL. 2024 Mar;129:111601} {IHC} {Mouse}
[IF={{ 2.5 }}] {Wang Qi. et al. Correlation between PD-1/PD-L1 and RANKL/OPG in chronic apical periodontitis model of Sprague-Dawley rats. ODONTOLOGY. 2024 Mar;:1-10} {IHC} {Rat}
T-Cell Activation Using mAb to CD3
One of the most common ways to assess T cell activation is to measure T cell proliferation upon in vitro stimulation of T cells via antigen or agonistic antibodies to TCR. This protocol is written as a starting point for examining in vitro proliferation of mouse
WHOLE MOUNT IN SITU HYBRIDIZATION. Mouse Embryos
. Use gloves and aerosol barrier tips. Linearize the plasmid and check the digest. Phenol extract. Extract twice with chloroform:isoamyl alcohol (24:1) Ethanol precipitate ( 1/2 vol 7.5 M NH4 OAc + 2.5 vol 100
Hybrid Resistance by Mouse NK Cells In Vitro
A purified NK cells to kill H2d target cells can be reversed by adding MAb reagents that bind to either Ly49A or H2-Dd . We and others have extended these early findings to the Ly49C and I subsets of NK cells, and have recently detected positive signaling
技术资料暂无技术资料 索取技术资料






