相关产品推荐更多 >

PET112L Rabbit pAb(bs-11667R)-50ul/100ul/200ul
¥1180
phospho-c-Jun (Thr93) Rabbit pAb, BF488 conjugated(bs-12913R-BF488)-100ul
¥2980
phospho-IKK alpha (Ser176) Rabbit pAb, PerCP-Cy5.5 conjugated(bs-18127R-PerCP-Cy5.5)-100ul
¥2980
DNASE1L1 Rabbit pAb, BF350 conjugated(bs-12995R-BF350)-100ul
¥2980
MHC class I Rabbit pAb, BF680 conjugated(bs-7335R-BF680)-100ul
¥2980
万千商家帮你免费找货
0 人在求购买到急需产品
- 详细信息
- 文献和实验
- 技术资料
- 应用范围:
产品信息以Bioss网站为准
- 规格:
50ul/100ul/25ul
| 规格: | 50ul | 产品价格: | ¥1400.0 |
|---|---|---|---|
| 规格: | 100ul | 产品价格: | ¥2500.0 |
| 规格: | 25ul | 产品价格: | ¥800.0 |
| 产品编号 | bsm-60759R |
| 英文名称 | STIP1 Recombinant Rabbit mAb |
| 中文名称 | 应激诱导磷蛋白1重组兔单抗 |
| 英文别名 | Hop; Hsc70/Hsp90 organizing protein; Hsc70/Hsp90-organizing protein; NY REN 11 antigen; Renal carcinoma antigen NY-REN-11; STI1; STI1L; STIP1; STIP1_HUMAN; Stress induced phosphoprotein 1; Stress-induced-phosphoprotein 1; Transformation sensitive protein IEF SSP 3521; Transformation-sensitive protein IEF SSP 3521. |
| 产品应用 | WB=1:500-2000, IHC-P=1:100-500, IHC-F=1:400-800, ICC/IF=1:100-500, IF=1:100-500, Flow-Cyt=1:50-100 Not yet tested in other applications. |
| 交叉反应 | Human, Mouse, Rat |
| 抗体来源 | Rabbit |
| 免疫原 | KLH conjugated synthetic peptide derived from human STIP1 |
| 亚型 | IgG |
| 性状 | Liquid |
| 纯化方法 | affinity purified by Protein A |
| 克隆类型 | Recombinant |
| 理论分子量 | 63 kDa |
| 浓度 | 1mg/ml |
| 储存液 | PBS, Glycerol, BSA. |
| 研究领域 | Signal Transduction > Protein Trafficking > Chaperones > Heat Shock Proteins Signal Transduction > Protein Trafficking > Chaperones > Other Chaperones |
| 亚基 | Binds DNA as a multimer, probably a dimer. Interacts with MLLT7/FOXO4, NKX3A and SSRP1. Interacts with ARID2 and SRFBP1. Forms complexes with ARID2, MYOCD, NKX2-5 and SRFBP1. Forms a nuclear ternary complex with MKL1 and SCAI. |
| 亚细胞定位 | Nucleus. |
| 翻译后修饰 | Phosphorylated by PRKDC. |
| 相似性 | Contains 1 MADS-box domain. |
| 功能 | SRF is a transcription factor that binds to the serum response element (SRE), a short sequence of dyad symmetry located 300 bp to the 5' of the site of transcription initiation of some genes (such as FOS). Required for cardiac differentiation and maturation. |
| 保存条件 | Shipped at 4℃. Store at -20℃ for one year. Avoid repeated freeze/thaw cycles. |
| 注意事项 | This product as supplied is intended for research use only, not for use in human, therapeutic or diagnostic applications. |
| 背景资料 | This gene encodes a ubiquitous nuclear protein that stimulates both cell proliferation and differentiation. It is a member of the MADS (MCM1, Agamous, Deficiens, and SRF) box superfamily of transcription factors. This protein binds to the serum response element (SRE) in the promoter region of target genes. This protein regulates the activity of many immediate-early genes, for example c-fos, and thereby participates in cell cycle regulation, apoptosis, cell growth, and cell differentiation. This gene is the downstream target of many pathways; for example, the mitogen-activated protein kinase pathway (MAPK) that acts through the ternary complex factors (TCFs). [provided by RefSeq, Jul 2008]. |
| 应用 | 推荐稀释比例 |
| {WB} | {1:500-2000} |
| {IHC-P} | {1:100-500} |
| {IHC-F} | {1:400-800} |
| {ICC/IF} | {1:100-500} |
| {IF} | {1:100-500} |
| {Flow-Cyt} | {1:50-100} |

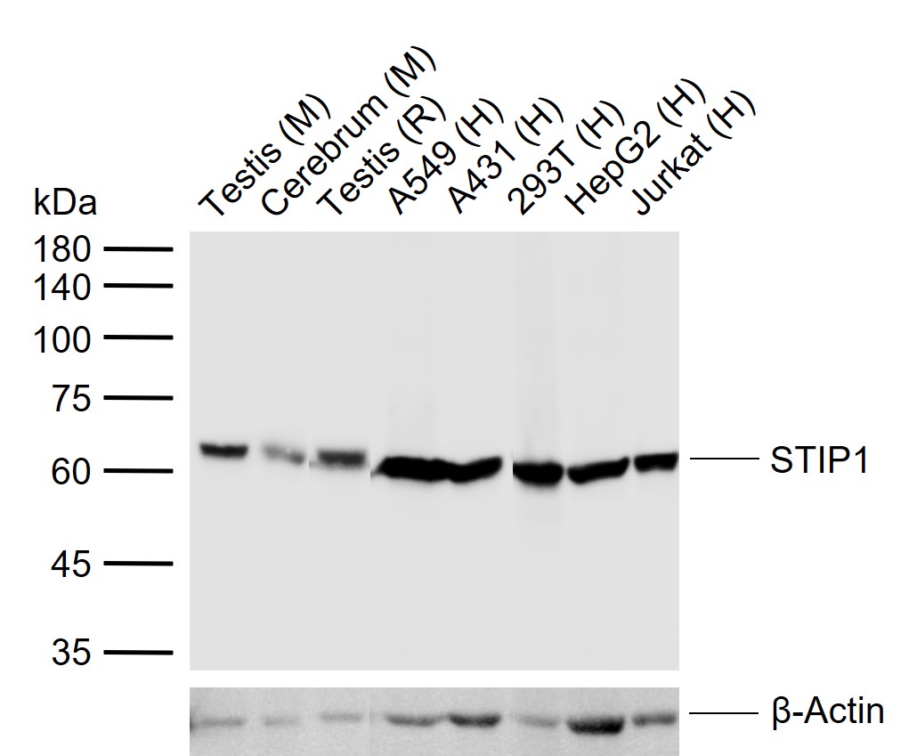
Lane 1: Mouse Testis tissue lysates
Lane 2: Mouse Cerebrum tissue lysates
Lane 3: Rat Testis tissue lysates
Lane 4: Human A549 cell lysates
Lane 5: Human A431 cell lysates
Lane 6: Human 293T cell lysates
Lane 7: Human HepG2 cell lysates
Lane 8: Human Jurkat cell lysates
Primary: Anti-STIP1 (bsm-60759R) at 1/1000 dilution
Secondary: IRDye800CW Goat Anti-Rabbit IgG at 1/20000 dilution
Predicted band size: 63 kDa
Observed band size: 63 kDa
风险提示:丁香通仅作为第三方平台,为商家信息发布提供平台空间。用户咨询产品时请注意保护个人信息及财产安全,合理判断,谨慎选购商品,商家和用户对交易行为负责。对于医疗器械类产品,请先查证核实企业经营资质和医疗器械产品注册证情况。
文献和实验到 PVDF 膜上,同时减少蛋白不必要降解,这对于最终获得清晰、可信结果也是需要考虑因素。抗体信息:1.ACC1, Recombinant Rabbit monoclonal IgG. HuaAn. HuaAn biotechnology , inc.2.ATGL, Mouse mAb IgG1, Cat#:RT1058. HuaAn biotechnology , inc.3.p-PERK(Thr981), Rabbit Polyclonal IgG primary antibodies, Cat
The OP9-DL1 System: Generation of T-Lymphocytes from Embryonic or Hematopoietic Stem Cells In Vitro
al. 2006b ). MATERIALS Reagents Anti-CD24 monoclonal antibody (mAb) (J11d clone) (for Protocol 3) Use either culture supernatant that contains anti-CD24 mAb or purified anti-CD24 mAb (see Step 55). BDPharmLyse (red blood cell lysing
技术资料暂无技术资料 索取技术资料






