相关产品推荐更多 >

TRNP Rabbit pAb, HRP conjugated(bs-17148R-HRP)-100ul
¥2980
C2GNT3 Rabbit pAb, Biotin conjugated(bs-15145R-Bio)-100ul
¥2980
SCG3 Rabbit pAb(bs-20128R)-50ul/100ul/200ul
¥1180
phospho-DARPP32 (Thr34) Rabbit pAb(bs-3118R)-50ul/100ul/200ul
¥1180
phospho-NFKB p65 (Ser536) Rabbit pAb(bs-0982R)-50ul/100ul/200ul
¥1180
万千商家帮你免费找货
0 人在求购买到急需产品
- 详细信息
- 文献和实验
- 技术资料
- 应用范围:
产品信息以Bioss网站为准
- 规格:
50ul/100ul/200ul
| 规格: | 50ul | 产品价格: | ¥1180.0 |
|---|---|---|---|
| 规格: | 100ul | 产品价格: | ¥1980.0 |
| 规格: | 200ul | 产品价格: | ¥2800.0 |
| 产品编号 | bs-20297R |
| 英文名称 | Rad51 Rabbit pAb |
| 中文名称 | Rad51抗体 |
| 英文别名 | BRCA1/BRCA2 containing complex, subunit 5; BRCC 5; BRCC5; DNA repair protein RAD51 homolog 1; DNA repair protein rhp51; E coli RecA homolog; HGNC:9817; Homolog of E coli RecA; homolog of S cerevisiae RAD51; HRAD51; HsRad51; HsT16930; Rad 51; RAD51 homolog(RecA homolog, E. coli)(S. cerevisiae); RAD51 homolog; RAD51 homolog S. cerevisiae; RAD51 S cerevisiae homolog; RAD51A; RECA; RecA homolog E. coli; RecA like protein; RecA, E. coli, homolog of; recombination protein A. |
| 产品应用 | WB=1:500-2000, IHC-P=1:100-500, IHC-F=1:100-500, IF=1:100-500, Flow-Cyt=2ug/Test Not yet tested in other applications. |
| 交叉反应 | Human, Mouse, Rat (Pig, Cow, Horse, Rabbit) |
| 抗体来源 | Rabbit |
| 免疫原 | KLH conjugated synthetic peptide derived from human Rad51 |
| 亚型 | IgG |
| 性状 | Liquid |
| 纯化方法 | affinity purified by Protein A |
| 克隆类型 | Polyclonal |
| 理论分子量 | 37 kDa |
| 浓度 | 1mg/ml |
| 储存液 | Preservative: 0.02% Proclin300, Constituents: 1% BSA, 0.01M PBS, pH7.4. |
| 研究领域 | Epigenetics and Nuclear Signaling > DNA / RNA > DNA Damage & Repair > Homologous Recomb. |
| 亚细胞定位 | Nucleus. Cytoplasm. Cytoplasm, perinuclear region. Mitochondrion matrix. Note=Colocalizes with RAD51AP1 and RPA2 to multiple nuclear foci upon induction of DNA damage. DNA damage induces an increase in nuclear levels. |
| 组织特异性 | Highly expressed in testis and thymus, followed by small intestine, placenta, colon, pancreas and ovary. Weakly expressed in breast. |
| 翻译后修饰 | Phosphorylated. Phosphorylation of Thr-309 by CHEK1 may enhance association with chromatin at sites of DNA damage and promote DNA repair by homologous recombination. Phosphorylation by ABL1 inhibits function. |
| 相似性 | Belongs to the RecA family. RAD51 subfamily. Contains 1 HhH domain. |
| 功能 | Participates in a common DNA damage response pathway associated with the activation of homologous recombination and double-strand break repair. Binds to single and double stranded DNA and exhibits DNA-dependent ATPase activity. Underwinds duplex DNA and forms helical nucleoprotein filaments. Plays a role in regulating mitochondrial DNA copy number under conditions of oxidative stress in the presence of RAD51C and XRCC3. |
| 保存条件 | Shipped at 4℃. Store at -20℃ for one year. Avoid repeated freeze/thaw cycles. |
| 注意事项 | This product as supplied is intended for research use only, not for use in human, therapeutic or diagnostic applications. |
| 背景资料 | The protein encoded by this gene is a member of the RAD51 protein family. RAD51 family members are highly similar to bacterial RecA and Saccharomyces cerevisiae Rad51, and are known to be involved in the homologous recombination and repair of DNA. This protein can interact with the ssDNA-binding protein RPA and RAD52, and it is thought to play roles in homologous pairing and strand transfer of DNA. This protein is also found to interact with BRCA1 and BRCA2, which may be important for the cellular response to DNA damage. BRCA2 is shown to regulate both the intracellular localization and DNA-binding ability of this protein. Loss of these controls following BRCA2 inactivation may be a key event leading to genomic instability and tumorigenesis. Two alternatively spliced transcript variants of this gene, which encode distinct proteins, have been reported. Transcript variants utilizing alternative polyA signals exist. |
| 应用 | 推荐稀释比例 |
| {WB} | {1:500-2000} |
| {IHC-P} | {1:100-500} |
| {IHC-F} | {1:100-500} |
| {IF} | {1:100-500} |
| {Flow-Cyt} | {2ug/Test} |


Primary: Anti-Rad51(bs-20297R)at 1/300 dilution
Secondary: IRDye800CW Goat Anti-Rabbit IgG at 1/20000 dilution
Predicted band size: 37kD
Observed band size: 37kD

Primary: Anti-Rad51(bs-20297R)at 1/300 dilution
Secondary: IRDye800CW Goat Anti-Rabbit IgG at 1/20000 dilution
Predicted band size: 37kD
Observed band size: 37kD



Primary Antibody (green line): Rabbit Anti-Rad51 antibody (bs-20297R)
Dilution:2ug/Test;
Secondary Antibody(white blue line): Goat anti-rabbit IgG-FITC
Dilution: 0.5ug/Test.
Isotype control(orange line): Normal Rabbit IgG
Protocol
The cells were fixed with 4% PFA (10min at room temperature)and then permeabilized with 90% ice-cold methanol for 20 min at -20℃, The cells were then incubated in 5%BSA to block non-specific protein-protein interactions for 30 min at room temperature .Cells stained with Primary Antibody for 30 min at room temperature. The secondary antibody used for 40 min at room temperature. Acquisition of 20,000 events was performed.
风险提示:丁香通仅作为第三方平台,为商家信息发布提供平台空间。用户咨询产品时请注意保护个人信息及财产安全,合理判断,谨慎选购商品,商家和用户对交易行为负责。对于医疗器械类产品,请先查证核实企业经营资质和医疗器械产品注册证情况。
文献和实验[IF={{ 6.656 }}] {Leiyang Guo. et al. Morusinol extracted from Morus alba induces cell cycle arrest and apoptosis via inhibition of DNA damage response in melanoma by CHK1 degradation through the ubiquitin-proteasome pathway. PHYTOMEDICINE. 2023 Jun;114:154765} {WB} {Human}
[IF={{ 5.168 }}] {Qi et al. Sensitization of tamoxifen-resistant breast cancer cells by Z-ligustilide through inhibiting autophagy and accumulating DNA damages. (2017) Oncotarget. 8:29300-29317} {ICC} {Human}
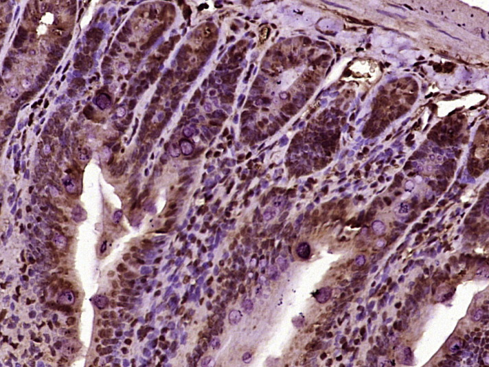
[IF={{ 3.2 }}] {Talibova Gunel. et al. The DNA double-strand break repair proteins γH2AX, RAD51, BRCA1, RPA70, KU80, and XRCC4 exhibit follicle-specific expression differences in the postnatal mouse ovaries from early to older ages. J ASSIST REPROD GEN. 2024 Jul;:1-21} {IHC} {Mouse}
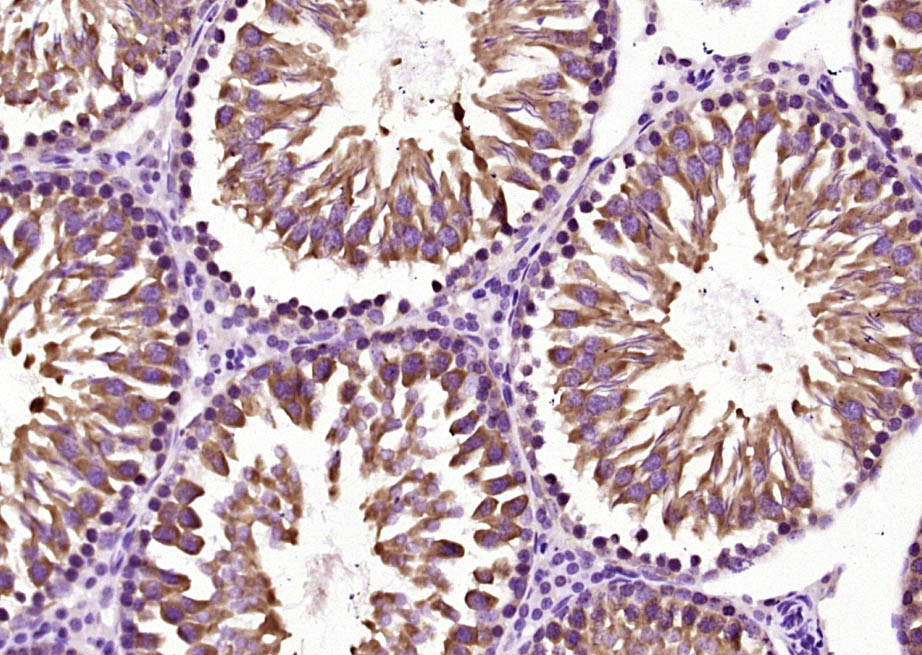
[IF={{ 2.74 }}] {Niayale Robert. et al. Expression of Rad51 and the histo-morphological evaluation of testis of the sterile male cattle-yak. Theriogenology. 2021 Sep;172:239} {WB,IF,IHC} {Bovine}
[IF={{ 2.531 }}] {Talibova, Gunel. et al. Increased double-strand breaks in aged mouse male germ cells may result from changed expression of the genes essential for homologous recombination or nonhomologous end joining repair. HISTOCHEM CELL BIOL. 2022 Oct;:1-21} {IHC} {Mouse}
= NAL), appears to form upon oxidative cyclization of the nonfluorescent 2:1 lysine-HNE Michael adduct-Schiff base cross-link (Scheme 1). Polyclonal antibody (PAb) to the NAL-HNE fluorophore was raised in rabbit and found to be highly specific
GE Healthcare Benzamidine Sepharose™ 6B is p-aminobenzamidine covalently attached to Sepharose 6B by the epoxy coupling method. p-Aminobenzamidine (PAB), is a synthetic inhibitor of trypsin-like serine protease. Trypsin and trypsin
Nucleic Acid Programmable Protein Arrays: Versatile Tools for Array‐Based Functional Protein Studies
.g., Sigma) 50 mg/ml bis‐sulfosuccinimdylsuberate (BS3 ;Pierce, cat. no. PI 21580) in dimethylsulfoxide (DMSO) 5 mg/ml
技术资料暂无技术资料 索取技术资料





