相关产品推荐更多 >
万千商家帮你免费找货
0 人在求购买到急需产品
- 详细信息
- 文献和实验
- 技术资料
- 库存:
现货
- 英文名:
SPINeasy™ DNA Kit for Urine
- 保质期:
24个月
- 供应商:
MP Biomedicals
- 保存条件:
室温(15-25℃)干燥储存
- 规格:
116593050(50 PREPS)
SPINeasy™ 尿液DNA提取试剂盒
SPINeasy™ DNA Kit for Urine
SPINeasy™ DNA Kit for Urine 专为从尿液样本中简便、可靠、快速地分离基因组DNA(gDNA)和游离DNA(cfDNA)而设计。该DNA 提取方案无需复杂设备,且操作步骤极为简化。本试剂盒可从同一份尿液样本中提取gDNA 和cfDNA:样品经离心后,沉淀物可用于提取gDNA,而上清液则用于提取cfDNA。
推荐在采集尿液样本时使用尿液保存液(货号:116594000/116594350),该尿液保存液可同时稳定细胞游离DNA 和基因组DNA,并在常温条件下保持尿液中细胞和核酸的稳定长达30 天。尿液保存液可在样本采集后直接加入尿液样品中,无需通过离心分别处理有核细胞与细胞游离DNA。
通过SPINeasy™ DNA Kit for Urine 提取的基因组DNA 和细胞游离DNA 可直接用于下游应用,包括长片段PCR、实时荧光定量PCR 及测序等。
产品特点
- 可从同一尿液样本中同时提取基因组DNA(gDNA)与游离DNA(cfDNA)
- 可搭配尿液收集和保存试剂盒(货号:116594000)或尿液保存液(货号:116594350)使用,可实现样品30 天常温保存,提取的gDNA 和cfDNA 质量稳定,适用于PCR、qPCR 以及测序
- 简化的操作流程可在任何实验环境下快速获得可靠结果

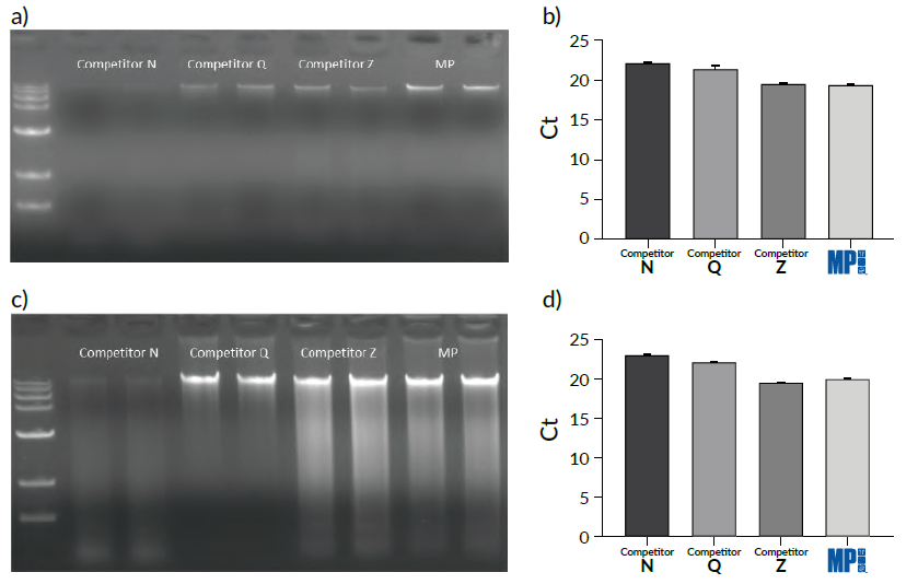
提取效果
基因组DNA(gDNA)

图1:比较使用SPINeasy™ DNA Kit for Urine 和三款竞品试剂盒从男性和女性尿液样本中提取的基因组DNA(gDNA)的质量和得率。
a)从男性尿液样本中提取的gDNA 琼脂糖凝胶电泳结果;
b)比较使用SPINeasy™ DNA Kit for Urine 和三款竞品试剂盒从男性尿液中提取的4 μL gDNA 进行qPCR 的Ct 值。使用SYBR Green 进行扩增;
c)从女性尿液样本中提取的gDNA 琼脂糖凝胶电泳结果;
d)比较使用SPINeasy™ DNA Kit for Urine 和三款竞品试剂盒从女性尿液中提取的4 μL gDNA 进行qPCR 的Ct 值。使用SYBR Green 进行扩增。
游离DNA(cfDNA)

图2:比较使用SPINeasy™ DNA Kit for Urine 和两款竞品试剂盒从女性尿液样本中提取的游离DNA(cfDNA)的质量和得率。
a)比较使用SPINeasy™ DNA Kit for Urine 和两款竞品试剂盒从女性尿液中提取的1 μL cfDNA 进行qPCR 的Ct 值。
b)比较使用SPINeasy™ DNA Kit for Urine 和两款竞品试剂盒从女性尿液中提取的1 μL cfDNA 进行qPCR 的Ct 值。使用SYBR Green 进行扩增。
风险提示:丁香通仅作为第三方平台,为商家信息发布提供平台空间。用户咨询产品时请注意保护个人信息及财产安全,合理判断,谨慎选购商品,商家和用户对交易行为负责。对于医疗器械类产品,请先查证核实企业经营资质和医疗器械产品注册证情况。
文献和实验近年来,ZFN、TALEN、CRISPR/Cas9等基因组编辑技术可谓是层出不穷,尤其是CRISPR/Cas9,一出现便在全球范围内掀起一股热潮。同时,各大公司也开发出一系列相应的产品,其中一种至关重要的就是基因敲除阳性克隆筛选的试剂。 目前,市面上只有Genloci的Cruiser™、Transgenomic的SURVEYOR和NEB的T7EI这三种产品和测序这种方法,被用于基因敲除阳性克隆的筛选。然而,SURVEYOR是进口产品,价格贵,货期长;T7EI可以识别多种DNA结构,如十字
声明:本公司网站上的说明书及产品资料均为北京思尔成生物技术有限公司独家制作,严禁转载作为商业用途。 Invitrogen DNA提取试剂盒使用说明书.pdf
一、尿液的生成 尿液由肾脏生成,通过输尿管、膀胱及尿道排出体外。 肾单位是肾脏泌尿活动的基本功能单位。肾单位包括肾小体与肾小管两部分,肾单位与集合管共同完成泌尿功能。当体内血液流经肾小球毛细血管时,其中的细胞、大分子蛋白质和脂类等胶体被截留,其余成分则经半透膜滤过,进入肾小囊腔形成原尿。原尿通过肾小管时,约大部分水分、电解质、葡萄糖、氨基酸、乳酸及肌酸、部分硫酸盐、尿酸等物质又重新被吸收回血;肾小管也分泌一些物质加入尿中;肾小管滤过












