相关产品推荐更多 >
万千商家帮你免费找货
0 人在求购买到急需产品
- 详细信息
- 文献和实验
- 技术资料
- 形态:
liquid
- 保存条件:
Store at -20˚C
- 克隆性:
Monoclonal
- 适应物种:
Human
- 保质期:
12 months
- 抗原来源:
Mouse
- 供应商:
南京赛戈巍生物科技有限公司
- 宿主:
Mouse
- 应用范围:
IHC
- 抗体英文名:
SALL4 Antibody
- 规格:
50ul/100ul
应用详情:Recommended working dilution range:1:100 - 1:200
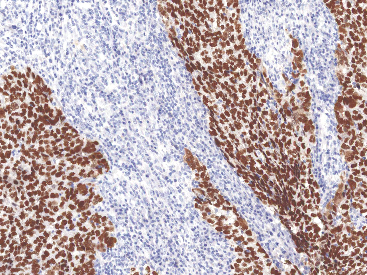
图片:

SALL4 [P1052] on Testicular Cancer
风险提示:丁香通仅作为第三方平台,为商家信息发布提供平台空间。用户咨询产品时请注意保护个人信息及财产安全,合理判断,谨慎选购商品,商家和用户对交易行为负责。对于医疗器械类产品,请先查证核实企业经营资质和医疗器械产品注册证情况。
文献和实验你还在用小白鼠做研究?Nature Methods 奇葩模式生物大盘点
, 2018. 173(7): p. 1593-1608.e20.3. Nourizonoz, A., et al., EthoLoop: automated closed-loop neuroethology in naturalistic environments. Nature Methods, 2020. 17(10): p. 1052-1059.4. Ho, C.L.A., et al., Orientation Preference Maps in Microcebus murinus
砷剂疗法的前世今生:「吃最毒的药,治最难的病」,「砒霜」抗癌再登 Cell 子刊
on cellular and molecular mechanisms of arsenic trioxide (As2O3) in the treatment of acute promyelocytic leukemia: As2O3 induces NB4 cell apoptosis with downregulation of Bcl-2 expression and modulation of PML-RAR alpha/PML proteins, Blood, p. 88 (3): 1052–
主要产品 :1.蛋白提取试剂盒I(实体组织和细胞总蛋白提取)2.蛋白抽提试剂盒-II (液体样品蛋白抽提和回收)3.核-胞浆蛋白制备试剂盒4.变性/非变性细胞裂解产物制备试剂盒5.非变性裂解液6.变性裂解液具体介绍:1.蛋白抽提试剂盒 -I (实体组织和细胞蛋白抽提,100 extractions)P1250 50 次提取 286元100次提取 520元描述:实体组织如大脑富含磷脂、神经纤维或血管壁含大量结缔组织、而脂肪则有大量油脂,常规方法难以有效从这些组织提取蛋白。蛋白抽提试剂盒-I用于
技术资料暂无技术资料 索取技术资料





![JunB Conjugated Antibody[C49169]](https://img1.dxycdn.com/p/s14/2025/0923/305/2150219664296040791.jpg!wh200)
![MEN1 Conjugated Antibody[C34285]](https://img1.dxycdn.com/p/s14/2025/0923/278/4431488150116040791.jpg!wh200)
![Rabbit Anti-Donkey IgG (H&L) - AF555[L35284]](https://img1.dxycdn.com/p/s14/2025/0922/498/0460884283108299691.jpg!wh200)


