相关产品推荐更多 >
万千商家帮你免费找货
0 人在求购买到急需产品
- 详细信息
- 文献和实验
- 技术资料
- 免疫原:
Synthetic peptide corresponding to residues near the N terminal of human glucagon
- 形态:
liquid
- 保存条件:
Store at -20˚C
- 克隆性:
Polyclonal
- 适应物种:
Human
- 保质期:
12 months
- 抗原来源:
Rabbit
- 供应商:
南京赛戈巍生物科技有限公司
- 宿主:
Rabbit
- 应用范围:
IHC
- 靶点:
Uniprot:P01275
- 抗体英文名:
GCG Antibody
- 规格:
50ul/100ul
配方:Rabbit IgG in pH7.3 PBS, 0.05% NaN3, 50% Glycerol.
应用详情:Immunohistochemistry: 1:25-1:100
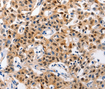
图片:

Immunohistochemical analysis of paraffin-embedded Human lung cancer tissue using #36900 at dilution 1/30.
,

Immunohistochemical analysis of paraffin-embedded Human colon cancer tissue using #36900 at dilution 1/30.
风险提示:丁香通仅作为第三方平台,为商家信息发布提供平台空间。用户咨询产品时请注意保护个人信息及财产安全,合理判断,谨慎选购商品,商家和用户对交易行为负责。对于医疗器械类产品,请先查证核实企业经营资质和医疗器械产品注册证情况。
文献和实验Comparison of sequences can be done in various ways. Biological sequences differ in length and composition. Whereas simple identity is relatively easy to compute, “similarity” must be defined before a computer can start its calculation. A simple
Searches in databases require efficiency and speed. This cannot be achieved by using the same methods as described in the previous chapters on sequence-comparison. It would take much too long to calculate alignment path matrices
Pattern recognition in biological data is difficult to achieve. On the one hand, it is simple trying to find information based on identity of patterns described in a search string. Method 1 and 2 describe such a pattern search for text strings
技术资料暂无技术资料 索取技术资料





![TSEN15 Antibody[46688]](https://img1.dxycdn.com/p/s14/2025/0923/496/0462304380155040791.jpg!wh200)
![Lrp2 / Megalin Antibody[45026]](https://img1.dxycdn.com/p/s14/2025/0922/568/0046652811090600791.jpg!wh200)

![GSK3β(Phospho-Ser9) Rabbit mAb[14237]](https://img1.dxycdn.com/p/s14/2025/0922/632/2321321568067599691.jpg!wh200)


