相关产品推荐更多 >
万千商家帮你免费找货
0 人在求购买到急需产品
- 详细信息
- 文献和实验
- 技术资料
- 免疫原:
Recombinant protein of human PARP1.
- 形态:
liquid
- 保存条件:
Store at -20˚C
- 克隆性:
Polyclonal
- 适应物种:
Human;Mouse
- 保质期:
12 months
- 抗原来源:
Rabbit
- 供应商:
南京赛戈巍生物科技有限公司
- 宿主:
Rabbit
- 应用范围:
WB IHC IF
- 靶点:
Uniprot:P09874
- 抗体英文名:
PARP1 antibody
- 规格:
50ul/100ul
配方:Supplied at 1.0mg/mL in phosphate buffered saline (without Mg2+ and Ca2+), pH 7.4, 150mM NaCl, 0.02% sodium azide and 50% glycerol.
应用详情:
Western blotting: 1:500 - 1:1000
Immunohistochemistry: 1:50 - 1:100
Immunofluorescence: 1:50 - 1:100
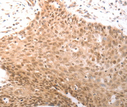
图片:

Western blot analysis of extracts of various cell lines, using PARP1 antibody.
,

Immunohistochemistry analysis of paraffin-embedded human cervical cancer tissue, using PARP1 antibody.
,

Immunofluorescence analysis of A549 cell using PARP1 antibody. Blue: DAPI for nuclear staining.
风险提示:丁香通仅作为第三方平台,为商家信息发布提供平台空间。用户咨询产品时请注意保护个人信息及财产安全,合理判断,谨慎选购商品,商家和用户对交易行为负责。对于医疗器械类产品,请先查证核实企业经营资质和医疗器械产品注册证情况。
文献和实验PARP1 Genomics: Chromatin Immunoprecipitation Approach Using Anti-PARP1 Antibody (ChIP and ChIP-seq)
Poly(ADP-ribose) polymerase1 (PARP1) is a global regulator of different cellular mechanisms, ranging from DNA damage repair to control of gene expression. Since PARP1 protein and pADPr have been shown to persist in chromatin through cell
Small-Molecule Collection and High-Throughput Colorimetric Assay to Identify PARP1 Inhibitors
to disrupt the DNA-dependent PARP1 protein activation pathway and were based on a competition with NAD for a binding site on PARP molecule and, therefore, on disruption of PARP-mediated enzymatic reaction. This limitation resulted in a discovery of mainly
Generation of Antibody Molecules Through Antibody Engineering
been overcome to a large extent using genetic-engineering techniques to produce chimeric mouse/human and completely human antibodies. Such an approach is particularly suitable because of the domain structure of the antibody molecule ( 2 ), where functional
技术资料暂无技术资料 索取技术资料





![GUCY1A3 Mouse mAb[63709]](https://img1.dxycdn.com/p/s14/2025/0922/632/2321321568067599691.jpg!wh200)
![VPS72 Antibody[47943]](https://img1.dxycdn.com/p/s14/2025/0923/278/4431488150116040791.jpg!wh200)
![IFT81 Polyclonal Antibody[30597]](https://img1.dxycdn.com/p/s14/2025/0923/305/2150219664296040791.jpg!wh200)
![IL-1β Polyclonal Antibody[41610]](https://img1.dxycdn.com/p/s14/2025/0922/568/0046652811090600791.jpg!wh200)
![BMI1 Rabbit mAb[52726]](https://img1.dxycdn.com/p/s14/2025/0922/498/0460884283108299691.jpg!wh200)

