相关产品推荐更多 >
万千商家帮你免费找货
0 人在求购买到急需产品
- 详细信息
- 技术资料
- 免疫原:
A synthetic peptide of human Asparagine synthetase
- 形态:
liquid
- 保存条件:
Store at -20˚C
- 克隆性:
Monoclonal antibody
- 适应物种:
Human;Mouse;Rat
- 保质期:
12 months
- 抗原来源:
Recombinant Rabbit
- 供应商:
南京赛戈巍生物科技有限公司
- 宿主:
Recombinant Rabbit
- 应用范围:
WB;IHC;ICC/IF
- 靶点:
Uniprot:P08243
- 抗体英文名:
Asparagine Synthetase Rabbit mAb
- 规格:
50ul/100ul
别名:TS11; ASNSD; ASNS; Asparagine synthetase [glutamine-hydrolyzing];
计算分子量:Calculated MW: 64 kDa; Observed MW: 61 kDa
配方:Rabbit IgG in 10mM phosphate buffered saline , pH 7.4, 150mM sodium chloride, 0.05% BSA, 0.02% sodium azide and 50% glycerol.
应用详情:WB 1:1000-1:2000;
IHC 1:100-1:200;
ICC/IF 1:50-1:200;
图片:
计算分子量:Calculated MW: 64 kDa; Observed MW: 61 kDa
配方:Rabbit IgG in 10mM phosphate buffered saline , pH 7.4, 150mM sodium chloride, 0.05% BSA, 0.02% sodium azide and 50% glycerol.
应用详情:WB 1:1000-1:2000;
IHC 1:100-1:200;
ICC/IF 1:50-1:200;
图片:

Western blot analysis of ASNS expression in K562 cell lysate.
,

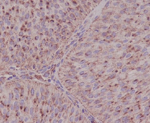
Immunohistochemical analysis of paraffin-embedded human bladder, using ASNS Antibody.
,

All lanes use the Antibody at 1:1K dilution for 1 hour at room temperature.
风险提示:丁香通仅作为第三方平台,为商家信息发布提供平台空间。用户咨询产品时请注意保护个人信息及财产安全,合理判断,谨慎选购商品,商家和用户对交易行为负责。对于医疗器械类产品,请先查证核实企业经营资质和医疗器械产品注册证情况。
技术资料暂无技术资料 索取技术资料
Asparagine Synthetase Rabbit mAb[52032]
询价


![Asparagine Synthetase Rabbit mAb[52032]](https://img1.dxycdn.com/p/s14/2025/0922/498/0460884283108299691.jpg)


![ILK (Phospho-Ser246) Conjugated Antibody[C11733]](https://img1.dxycdn.com/p/s14/2025/0923/278/4431488150116040791.jpg!wh200)
![NDUFV2 Antibody[34833]](https://img1.dxycdn.com/p/s14/2025/0922/359/6146153295428599691.jpg!wh200)
![Factor XIIIa Rabbit mAb[52024]](https://img1.dxycdn.com/p/s14/2025/0922/498/0460884283108299691.jpg!wh200)
![PREB Rabbit mAb[57101]](https://img1.dxycdn.com/p/s14/2025/0922/632/2321321568067599691.jpg!wh200)
