相关产品推荐更多 >
万千商家帮你免费找货
0 人在求购买到急需产品
- 详细信息
- 文献和实验
- 技术资料
- 免疫原:
Recombinant protein of human Factor XIIIa
- 形态:
liquid
- 保存条件:
Store at -20˚C
- 克隆性:
Monoclonal antibody
- 适应物种:
Human
- 保质期:
12 months
- 抗原来源:
Recombinant Rabbit
- 供应商:
南京赛戈巍生物科技有限公司
- 宿主:
Recombinant Rabbit
- 应用范围:
WB IHC
- 靶点:
Uniprot:P00488
- 抗体英文名:
Factor XIIIa Rabbit mAb
- 规格:
50ul/100ul
计算分子量:Calculated MW: 83 kDa; Observed MW: 83 kDa
配方:50nM Tris-Glycine(pH 7.4), 0.15M NaCl, 40% Glycerol, 0.01% Sodium azide and 0.05% BSA
应用详情:WB: 1/2000; IHC: 1/50;
图片:

Western blot detection of Factor XIIIa in Jurkat cell lysates using Factor XIIIa Rabbit mAb(1:1000 diluted).Predicted band size:83kDa.Observed band size:83kDa.
,

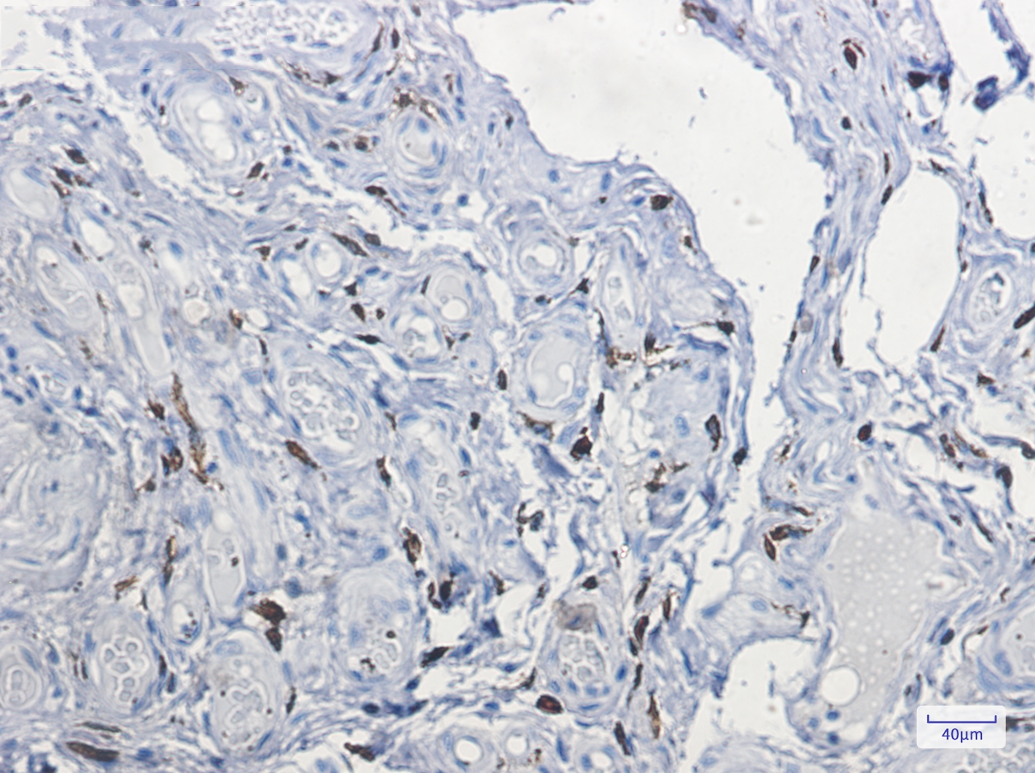
Immunohistochemistry of Factor XIIIa in paraffin-embedded Human colon cancer tissue using Factor XIIIa Rabbit mAb at dilution 1/100
风险提示:丁香通仅作为第三方平台,为商家信息发布提供平台空间。用户咨询产品时请注意保护个人信息及财产安全,合理判断,谨慎选购商品,商家和用户对交易行为负责。对于医疗器械类产品,请先查证核实企业经营资质和医疗器械产品注册证情况。
文献和实验Isolation and Culture of Rabbit Embryonic Stem Cells
that we further our knowledge and understanding of a variety of stem cells from several different animal species before trials in humans commence. Here we describe methods for establishing rabbit embryonic stem (rES) cell lines with indefinite proliferation potential. rES cells
In Vitro Translation Using Rabbit Reticulocyte Lysate
. This eliminates any background translation products. Several factors are added to rabbit reticulocyte lysate to optimize translation efficiency. These include hemin (to prevent phosphorylation of initiation factor eIF2-a), an energy-generating system (e.g
:使用 Anti-phospho-Akt (Ser473) Rabbit mAb 对石蜡包埋的人乳腺癌组织进行免疫组织化学分析。(图 A)使用免疫组化试剂盒M&R HRP/DAB Detection IHC Kit,抗体 1:100 稀释;(图 B) 采用普通免疫组化试剂盒,抗体 1:25 稀释。 图 6 免疫组化实验检测 Erk1/2 表达 注:使用 Anti-Erk1/2 Mouse mAb与p44/42 MAPK (Erk1/2)Rabbit mAb 对正常小鼠心脏组织进行免疫
技术资料暂无技术资料 索取技术资料





![RRS1 Antibody[35002]](https://img1.dxycdn.com/p/s14/2025/0922/359/6146153295428599691.jpg!wh200)
![CD40 Conjugated Antibody[C39204]](https://img1.dxycdn.com/p/s14/2025/0922/498/0460884283108299691.jpg!wh200)
![FOXO1 Conjugated Antibody[C36870]](https://img1.dxycdn.com/p/s14/2025/0923/278/4431488150116040791.jpg!wh200)
![NIPBL Conjugated Antibody[C31986]](https://img1.dxycdn.com/p/s14/2025/0923/305/2150219664296040791.jpg!wh200)
