相关产品推荐更多 >
万千商家帮你免费找货
0 人在求购买到急需产品
- 详细信息
- 技术资料
- 免疫原:
recombinant protein
- 形态:
liquid
- 保存条件:
Store at -20˚C
- 克隆性:
Monoclonal antibody
- 适应物种:
Human;Mouse;Rat
- 保质期:
12 months
- 抗原来源:
Recombinant Rabbit
- 供应商:
南京赛戈巍生物科技有限公司
- 宿主:
Recombinant Rabbit
- 应用范围:
WB, ICC/IF, IHC
- 靶点:
Uniprot:P08243
- 抗体英文名:
Asparagine synthetase Rabbit mAb
- 规格:
50ul/100ul
ASNS_HUMAN antibody
ASNSD antibody
Asparagine synthetase [glutamine-hydrolyzing] antibody
Asparagine synthetase antibody
Cell cycle control protein TS11 antibody
Glutamine dependent asparagine synthetase 3 antibody
Glutamine dependent asparagine synthetase antibody
Glutamine hydrolyzing antibody
Glutamine-dependent asparagine synthetase antibody
OTTHUMP00000024510 antibody
OTTHUMP00000204938 antibody
OTTHUMP00000204939 antibody
OTTHUMP00000204940 antibody
OTTHUMP00000204941 antibody
OTTHUMP00000204942 antibody
TS11 antibody
TS11 cell cycle control protein antibody
计算分子量:61 kDa
配方:1*TBS (pH7.4), 1%BSA, 40%Glycerol. Preservative: 0.05% Sodium Azide.
应用详情:WB: 1:1,000-5,000
IHC: 1:50-1:200
ICC: 1:50-1:200
图片:

Western blot analysis of Asparagine synthetase on different lysates using anti-Asparagine synthetase antibody at 1/1,000 dilution. Positive control:
Lane 1: K562
Lane 2: Human skeletal muscle
,

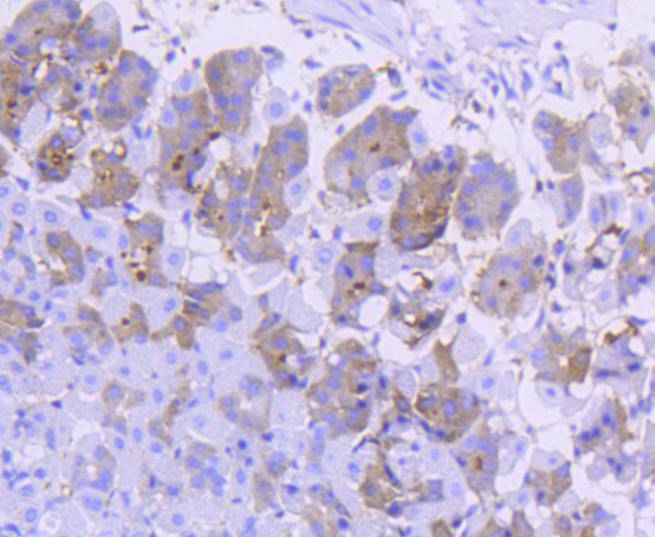
Immunohistochemical analysis of paraffin-embedded mouse stomach tissue using anti-Asparagine synthetase antibody. Counter stained with hematoxylin.
,

ICC staining Asparagine synthetase in Hela cells (green). The nuclear counter stain is DAPI (blue). Cells were fixed in paraformaldehyde, permeabilised with 0.25% Triton X100/PBS.
,

ICC staining Asparagine synthetase in SW480 cells (green). The nuclear counter stain is DAPI (blue). Cells were fixed in paraformaldehyde, permeabilised with 0.25% Triton X100/PBS.
,

ICC staining Asparagine synthetase in SH-SY-5Y cells (green). The nuclear counter stain is DAPI (blue). Cells were fixed in paraformaldehyde, permeabilised with 0.25% Triton X100/PBS.
风险提示:丁香通仅作为第三方平台,为商家信息发布提供平台空间。用户咨询产品时请注意保护个人信息及财产安全,合理判断,谨慎选购商品,商家和用户对交易行为负责。对于医疗器械类产品,请先查证核实企业经营资质和医疗器械产品注册证情况。
技术资料暂无技术资料 索取技术资料


![Asparagine synthetase Rabbit mAb[48965]](https://img1.dxycdn.com/p/s14/2025/0923/496/0462304380155040791.jpg)


![CSFR (Phospho-Tyr809) Conjugated Antibody[C12135]](https://img1.dxycdn.com/p/s14/2025/0923/278/4431488150116040791.jpg!wh200)
![GADD45GIP1 Antibody[34708]](https://img1.dxycdn.com/p/s14/2025/0922/359/6146153295428599691.jpg!wh200)
![Latency-associated peptide Polyclonal Antibody Biotin Conjugated[C92269Bio]](https://img1.dxycdn.com/p/s14/2025/0922/498/0460884283108299691.jpg!wh200)
