相关产品推荐更多 >
万千商家帮你免费找货
0 人在求购买到急需产品
- 详细信息
- 文献和实验
- 技术资料
- 免疫原:
Synthetic peptide corresponding to aa (EEEDVPGQAKDELC) of human Calreticulin, conjugated to KLH. <br>
- 形态:
liquid
- 保存条件:
Store at -20˚C
- 克隆性:
Monoclonal
- 适应物种:
Human,Mouse,Rat,Rabbit
- 保质期:
12 months
- 抗原来源:
Mouse
- 供应商:
南京赛戈巍生物科技有限公司
- 宿主:
Mouse
- 应用范围:
WB;IHC;IF;FC
- 靶点:
Uniprot:P27797
- 抗体英文名:
Calreticulin Mouse mAb
- 规格:
50ul/100ul
计算分子量:48kDa
配方:Ascitic fluid containing 0.03% sodium azide.
应用详情:WB:1/500 - 1/2000
IHC:1/100 - 1/500
ICC:1/50 - 1/500
FC:1/200 - 1/400
ELISA:1/10000
图片:

Western blot analysis using Calreticulin mouse mAb against Hela (1), A549 (2), NTERA2 (3) and MCF-7 (4) cell lysate.
,

Western blot analysis using Calreticulin mouse mAb against Hela(1) MCF-7(2) cell lysate.
,

Confocal Immunofluorescence analysis of 3T3-L1 cells using Calreticulin mouse mAb(green). Blue: DRAQ5 fluorescent DNA dye.
,

Confocal Immunofluorescence analysis of SKBR-3 (left) and A549 (right) cells using Calreticulin mouse mAb (green). Red: Actin filaments have been labeled with DY-554 phalloidin. Blue: DRAQ5 fluorescent DNA dye.
,

Immunofluorescence analysis of COS7 cells using Calreticulin mouse mAb (green). Blue: DRAQ5 fluorescent DNA dye. Red: Actin filaments have been labeled with Alexa Fluor- 555 phalloidin.
,

Immunofluorescence analysis of NIH/3T3 cells using Calreticulin mouse mAb (green). Blue: DRAQ5 fluorescent DNA dye. Red: Actin filaments have been labeled with Alexa Fluor- 555 phalloidin.
,

Flow cytometric analysis of C6 cells using Calreticulin mouse mAb (green) and negative control (red).
,

Flow cytometric analysis of NIH/3T3 cells using Calreticulin mouse mAb (green) and negative control (red).
,

Flow cytometric analysis of COS7 cells using Calreticulin mouse mAb (green) and negative control (red).
,

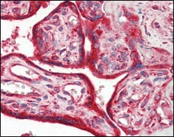
Immunohistochemical analysis of paraffin-embedded human placenta tissues using Calreticulin mouse mAb.
,

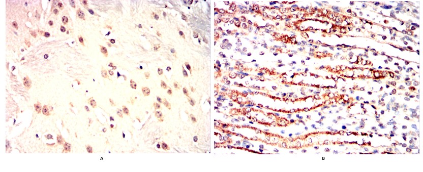
Immunohistochemical analysis of paraffin-embedded Mouse brain(A) Mouse kidney(B) using Calreticulin mouse mAb with DAB staining.
,

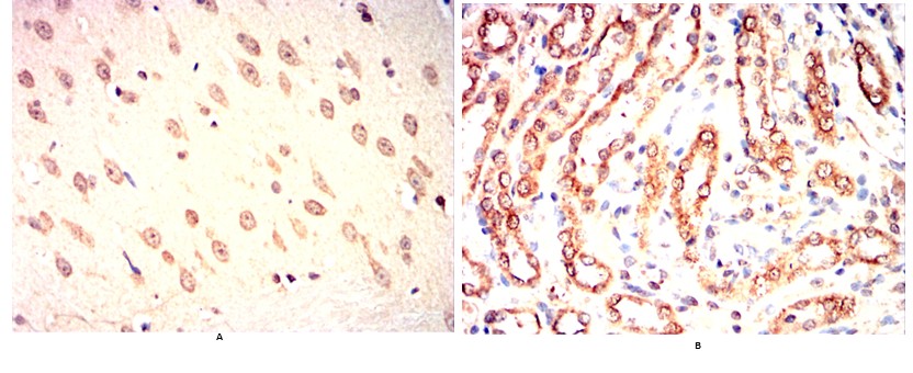
Immunohistochemical analysis of paraffin-embedded Rat brain(A) Rat kidney(B) using Calreticulin mouse mAb with DAB staining.
,

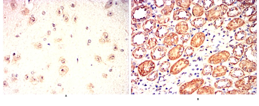
Immunohistochemical analysis of paraffin-embedded Rabbit brain(A) Rabbit kidney(B) using Calreticulin mouse mAb with DAB staining.
风险提示:丁香通仅作为第三方平台,为商家信息发布提供平台空间。用户咨询产品时请注意保护个人信息及财产安全,合理判断,谨慎选购商品,商家和用户对交易行为负责。对于医疗器械类产品,请先查证核实企业经营资质和医疗器械产品注册证情况。
文献和实验(adjust pH to 7.8 with Binding buffer; red color) to the Protein A column.Mouse antibodies of the IgG1 subclass do not have a high affinity for protein A. Purification on protein A beads using standard conditions will yield approximately 1/10
Purification of mAb (IgG) by Chang-Duk Jun, 03/14/2000 Purpose Materials Antibody 7E3 , 2L sup grown in flasks, frozen and thawed overnight. BioRad Affi-Gel Protein A MAPS II Buffers
T-Cell Activation Using mAb to CD3
One of the most common ways to assess T cell activation is to measure T cell proliferation upon in vitro stimulation of T cells via antigen or agonistic antibodies to TCR. This protocol is written as a starting point for examining in vitro proliferation of mouse
技术资料暂无技术资料 索取技术资料





![RORB Conjugated Antibody[C37880]](https://img1.dxycdn.com/p/s14/2025/0923/278/4431488150116040791.jpg!wh200)
![GAL-3 Monoclonal Antibody[42023]](https://img1.dxycdn.com/p/s14/2025/0922/568/0046652811090600791.jpg!wh200)
![BAAT Rabbit Polyclonal Antibody[55273]](https://img1.dxycdn.com/p/s14/2025/0922/498/0460884283108299691.jpg!wh200)

