相关产品推荐更多 >
万千商家帮你免费找货
0 人在求购买到急需产品
- 详细信息
- 文献和实验
- 技术资料
- 免疫原:
A synthetic phosphopeptide corresponding to residues surrounding Ser40 of human MCM2
- 形态:
liquid
- 保存条件:
Store at -20˚C
- 克隆性:
Monoclonal antibody
- 适应物种:
Human;Mouse;Rat
- 保质期:
12 months
- 抗原来源:
Recombinant Rabbit
- 供应商:
南京赛戈巍生物科技有限公司
- 宿主:
Recombinant Rabbit
- 应用范围:
WB;ICC/IF;IHC
- 靶点:
Uniprot:P49736
- 抗体英文名:
MCM2 (Phospho-Ser40) Rabbit mAb
- 规格:
50ul/100ul
计算分子量:102 kDa
配方:50nM Tris-Glycine(pH 7.4), 0.15M NaCl, 40% Glycerol, 0.01% Sodium azide and 0.05% BSA
应用详情:WB: 1:500-1:2000
ICC/IF: 1:50-1:200
IHC: 1:50-1:200
图片:

Western blot detection of phospho-MCM2(Ser40) in Hela,A549,MCF-7,293T,C2C12 cell lysates using phospho-MCM2(Ser40) Rabbit mAb(1:1000 diluted).Predicted band size:102kDa.Observed band size:125kDa.
,

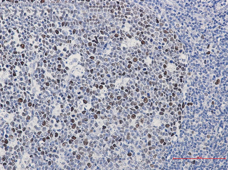
Immunohistochemistry of MCM2 (phospho-Ser40) in paraffin-embedded Human tonsil using MCM2 (phospho-Ser40) Rabbit mAb at dilution 1/50
风险提示:丁香通仅作为第三方平台,为商家信息发布提供平台空间。用户咨询产品时请注意保护个人信息及财产安全,合理判断,谨慎选购商品,商家和用户对交易行为负责。对于医疗器械类产品,请先查证核实企业经营资质和医疗器械产品注册证情况。
文献和实验1. Materials(1) Antibody 7E3, 2L sup grown in flasks, frozen and thawed overnight.(2) BioRad Affi-Gel Protein A MAPS II Buffers cat. #1530-6160 ($161.00)(3) 50 mM Tris pH7.8.(4) 40 g ammonium sulfate for every 100 ml Sup.(5) 4L 100 mM Tris/pH
:使用 Anti-phospho-Akt (Ser473) Rabbit mAb 对石蜡包埋的人乳腺癌组织进行免疫组织化学分析。(图 A)使用免疫组化试剂盒M&R HRP/DAB Detection IHC Kit,抗体 1:100 稀释;(图 B) 采用普通免疫组化试剂盒,抗体 1:25 稀释。 图 6 免疫组化实验检测 Erk1/2 表达 注:使用 Anti-Erk1/2 Mouse mAb与p44/42 MAPK (Erk1/2)Rabbit mAb 对正常小鼠心脏组织进行免疫
Purification of mAb (IgG) by Chang-Duk Jun, 03/14/2000 Purpose Materials Antibody 7E3 , 2L sup grown in flasks, frozen and thawed overnight. BioRad Affi-Gel Protein A MAPS II Buffers
技术资料暂无技术资料 索取技术资料





![Alpha SNAP Conjugated Antibody[C56825]](https://img1.dxycdn.com/p/s14/2025/0922/632/2321321568067599691.jpg!wh200)
![TESC Conjugated Antibody[C42973]](https://img1.dxycdn.com/p/s14/2025/0923/278/4431488150116040791.jpg!wh200)
![XRN2 Polyclonal Antibody[41539]](https://img1.dxycdn.com/p/s14/2025/0922/568/0046652811090600791.jpg!wh200)

