相关产品推荐更多 >
万千商家帮你免费找货
0 人在求购买到急需产品
- 详细信息
- 文献和实验
- 技术资料
- 免疫原:
A synthetic phosphopeptide corresponding to residues surrounding Ser10/Thr11 of human Histone H3
- 形态:
liquid
- 保存条件:
Store at -20˚C
- 克隆性:
Monoclonal antibody
- 适应物种:
Human;Mouse;Rat
- 保质期:
12 months
- 抗原来源:
Recombinant Rabbit
- 供应商:
南京赛戈巍生物科技有限公司
- 宿主:
Recombinant Rabbit
- 应用范围:
WB;ICC/IF;IHC
- 靶点:
Uniprot:P68431
- 抗体英文名:
Histone H3 (Phospho-Ser10/Thr11) Rabbit mAb
- 规格:
50ul/100ul
计算分子量:15 kDa
配方:50nM Tris-Glycine(pH 7.4), 0.15M NaCl, 40% Glycerol, 0.01% Sodium azide and 0.05% BSA
应用详情:WB: 1:500-1:2000
ICC/IF: 1:50-1:200
IHC: 1:50-1:200
图片:

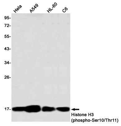
Western blot detection of Histone H3 (phospho-Ser10/Thr11) in Hela,A549,HL-60,C6 using Histone H3 (phospho-Ser10/Thr11) Rabbit mAb(1:1000 diluted)
,

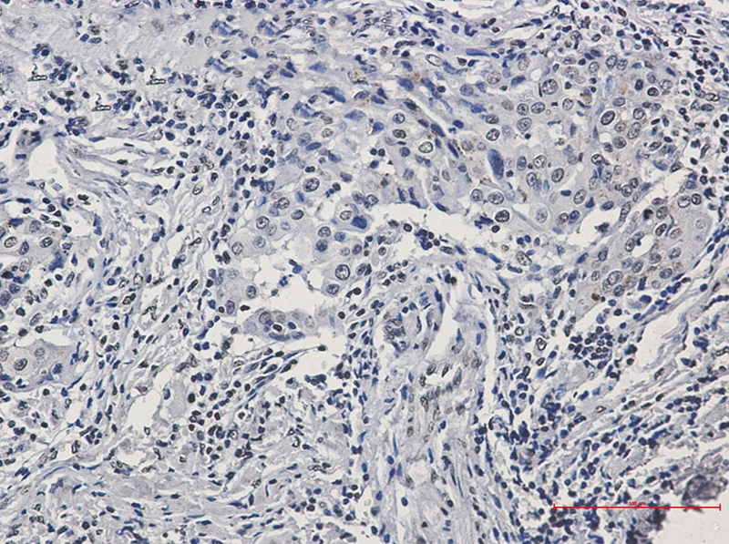
Immunohistochemistry of Histone H3 (phospho-Ser10/Thr11) in paraffin-embedded Human lung cancer tissue using Histone H3 (phospho-Ser10/Thr11) Rabbit mAb at dilution 1/50
风险提示:丁香通仅作为第三方平台,为商家信息发布提供平台空间。用户咨询产品时请注意保护个人信息及财产安全,合理判断,谨慎选购商品,商家和用户对交易行为负责。对于医疗器械类产品,请先查证核实企业经营资质和医疗器械产品注册证情况。
文献和实验3X Flag Peptide) to each pelleted bead/complex, incubate 30-60 minutes at 4°C with gentle shaking;Centrifuge the resin for 30 seconds at 10,000 RPM, transfer the supernatants (which should now contain the ChIP/Flag eluted complexes) to fresh tubes
:使用 Anti-phospho-Akt (Ser473) Rabbit mAb 对石蜡包埋的人乳腺癌组织进行免疫组织化学分析。(图 A)使用免疫组化试剂盒M&R HRP/DAB Detection IHC Kit,抗体 1:100 稀释;(图 B) 采用普通免疫组化试剂盒,抗体 1:25 稀释。 图 6 免疫组化实验检测 Erk1/2 表达 注:使用 Anti-Erk1/2 Mouse mAb与p44/42 MAPK (Erk1/2)Rabbit mAb 对正常小鼠心脏组织进行免疫
Competing Chromosomal Proteins from Drosophila Polytene Chromosomes Using Modified Histone Peptides
to chromatin, by its histone tail interaction or by other interactions, then you would not expect to see loss of binding upon peptide competition. A good positive control for the assay is to use H3K9 dimethylated peptide to compete HP1 from the pericentric
技术资料暂无技术资料 索取技术资料





![LMTK3 Polyclonal Conjugated Antibody[C41109]](https://img1.dxycdn.com/p/s14/2025/0923/278/4431488150116040791.jpg!wh200)
![LEPREL2 Antibody[36584]](https://img1.dxycdn.com/p/s14/2025/0922/359/6146153295428599691.jpg!wh200)
![Calreticulin Conjugated Antibody[C48841]](https://img1.dxycdn.com/p/s14/2025/0923/305/2150219664296040791.jpg!wh200)

