相关产品推荐更多 >
万千商家帮你免费找货
0 人在求购买到急需产品
- 详细信息
- 文献和实验
- 技术资料
- 免疫原:
A synthetic peptide of human TMEM43
- 形态:
liquid
- 保存条件:
Store at -20˚C
- 克隆性:
Monoclonal antibody
- 适应物种:
Human;Mouse;Rat
- 保质期:
12 months
- 抗原来源:
Recombinant Rabbit
- 供应商:
南京赛戈巍生物科技有限公司
- 宿主:
Recombinant Rabbit
- 应用范围:
WB IHC
- 靶点:
Uniprot:Q9BTV4
- 抗体英文名:
Transmembrane Protein 43 Rabbit mAb
- 规格:
50ul/100ul
计算分子量:Calculated MW: 45 kDa; Observed MW: 45 kDa
配方:50nM Tris-Glycine(pH 7.4), 0.15M NaCl, 40% Glycerol, 0.01% Sodium azide and 0.05% BSA
应用详情:WB: 1/1000-1/5000; IHC: 1/50
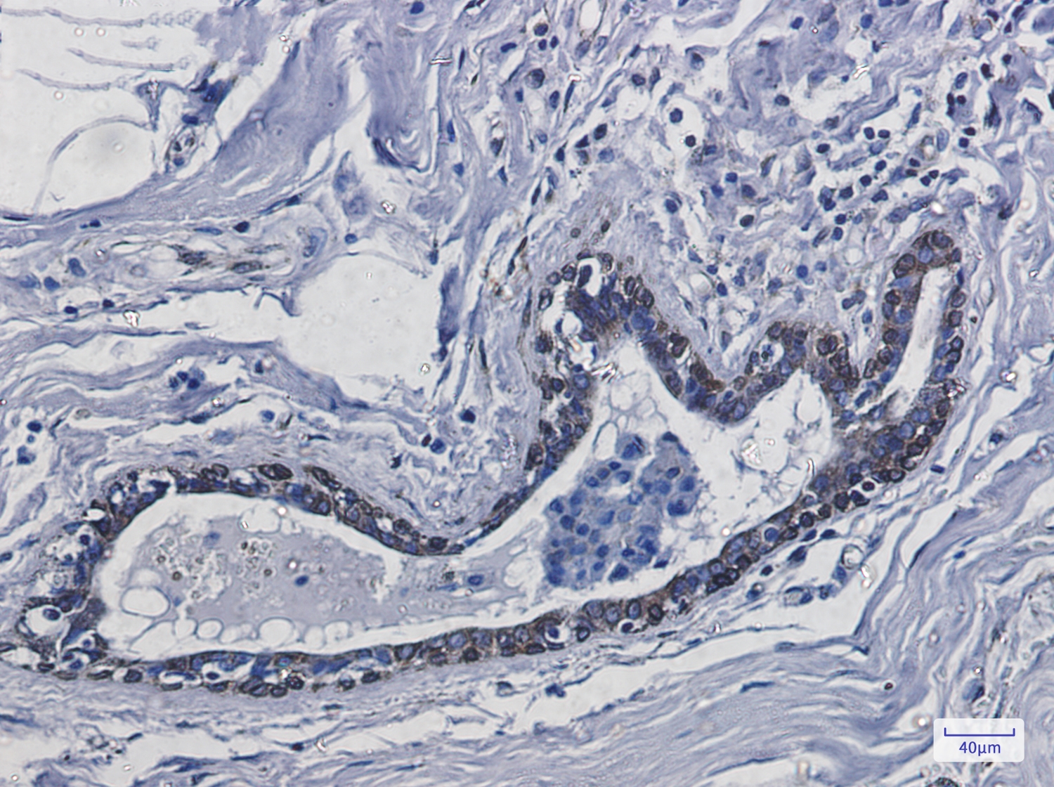
图片:

Western blot detection of TMEM43 in K562,C6 cell lysates using TMEM43 Rabbit mAb(1:1000 diluted).Predicted band size:45kDa.Observed band size:45kDa.
,

Immunohistochemistry of TMEM43 in paraffin-embedded Human breast cancer tissue using TMEM43 Rabbit mAb at dilution 1/50
风险提示:丁香通仅作为第三方平台,为商家信息发布提供平台空间。用户咨询产品时请注意保护个人信息及财产安全,合理判断,谨慎选购商品,商家和用户对交易行为负责。对于医疗器械类产品,请先查证核实企业经营资质和医疗器械产品注册证情况。
文献和实验Mapping Protein Distributions on Polytene Chromosomes by Immunostaining
(95K): [in this window] [in a new window] Figure 2. Distribution of the Polycomb protein at section 43-49 of the second chromosome visualized with enzyme-conjugated (HRP) secondary antibodies. (Top ) Chromosome
Protein Array-Based Multiplexed Cytokine Assays
Arrayer�. Cytokines that are captured by the arrayed mAb are detected using another biotinylated mAb, following by the addition of a Texas red conjugated streptavidin. The fluorescent images of arrays are recorded using a PerkinElmer ScanArray™ 5000
Reticulocyte Lysate as a Model System to Study Endoplasmic Reticulum Membrane Protein Degradation
membranes, the RRL system faithfully carries out ER targeting, translocation, glycosylation, and membrane integration events and therefore provides a ready source of 35S-labeled protein with defined transmembrane topology. These substrates can be rapidly
技术资料暂无技术资料 索取技术资料





![GPR143 Antibody[39269]](https://img1.dxycdn.com/p/s14/2025/0922/359/6146153295428599691.jpg!wh200)
![MUC1 (Phospho-Tyr1229) Conjugated Antibody[C11707]](https://img1.dxycdn.com/p/s14/2025/0923/278/4431488150116040791.jpg!wh200)
![Rabbit Anti-Goat IgG (H&L) - AF680[L35544]](https://img1.dxycdn.com/p/s14/2025/0922/498/0460884283108299691.jpg!wh200)
![ATN1 Antibody[46321]](https://img1.dxycdn.com/p/s14/2025/0923/496/0462304380155040791.jpg!wh200)
