相关产品推荐更多 >
万千商家帮你免费找货
0 人在求购买到急需产品
- 详细信息
- 文献和实验
- 技术资料
- 免疫原:
A synthetic peptide of human Prion protein PrP
- 形态:
liquid
- 保存条件:
Store at -20˚C
- 克隆性:
Monoclonal antibody
- 适应物种:
Human;Mouse;Rat
- 保质期:
12 months
- 抗原来源:
Recombinant Rabbit
- 供应商:
南京赛戈巍生物科技有限公司
- 宿主:
Recombinant Rabbit
- 应用范围:
WB IHC
- 靶点:
Uniprot:P04156
- 抗体英文名:
Prion Protein Rabbit mAb
- 规格:
50ul/100ul
计算分子量:Calculated MW: 28 kDa; Observed MW: 28 kDa
配方:50nM Tris-Glycine(pH 7.4), 0.15M NaCl, 40% Glycerol, 0.01% Sodium azide and 0.05% BSA
应用详情:WB: 1/1000-1/5000; IHC: 1/20;
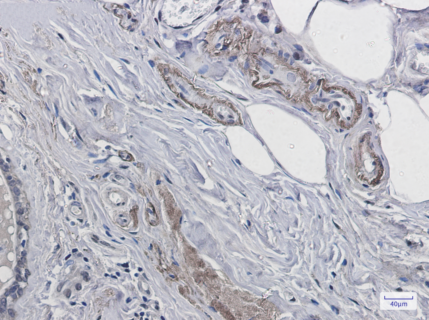
图片:

Western blot detection of Prion protein in Rat Brain and Mouse Brain lysates using Prion Protein Rabbit mAb (1:1000 diluted).Predicted band size:28kDa.Observed band size:28kDa.
,

Immunohistochemistry of Prion protein in paraffin-embedded Human breast cancer tissue using Prion Protein Rabbit mAb at dilution 1/20
风险提示:丁香通仅作为第三方平台,为商家信息发布提供平台空间。用户咨询产品时请注意保护个人信息及财产安全,合理判断,谨慎选购商品,商家和用户对交易行为负责。对于医疗器械类产品,请先查证核实企业经营资质和医疗器械产品注册证情况。
文献和实验Secondary structure of prion mRNA
and was confirmed. The third example is the prion-protein mRNA from different organisms; the structure of this mRNA is not known. By application of the algorithm highly conserved hairpins were found in the prion-protein mRNA. Introduction Abbreviations used: bp
A Function for the Prion Protein
opportunities to consider protein function in relation to the disease phenotype arose (5 ). The identification of the prion gene on chromosome 2 of the mouse (chromosome 20 in the human) (6 ), and the determination of its sequence (7 ), led to the translation
Prion Protein as Copper-Binding Protein at the Synapse
Various approaches have been taken to study the function of prion proteins. Biochemical methods were applied to search for a binding partner of PrPC which is attached to the cell surface by a glycosylphosphatidylinositol GPI anchor
技术资料暂无技术资料 索取技术资料





![PKC beta Antibody[48521]](https://img1.dxycdn.com/p/s14/2025/0923/496/0462304380155040791.jpg!wh200)
![NDUFS4 Antibody[36643]](https://img1.dxycdn.com/p/s14/2025/0922/359/6146153295428599691.jpg!wh200)

![Collagen IV Conjugated Antibody[C33342]](https://img1.dxycdn.com/p/s14/2025/0923/278/4431488150116040791.jpg!wh200)
![HGFA Inhibitor 2 Polyclonal Antibody PE Conjugated[C90406PE]](https://img1.dxycdn.com/p/s14/2025/0922/498/0460884283108299691.jpg!wh200)
