相关产品推荐更多 >
万千商家帮你免费找货
0 人在求购买到急需产品
- 详细信息
- 文献和实验
- 技术资料
- 免疫原:
recombinant protein
- 形态:
liquid
- 保存条件:
Store at -20˚C
- 克隆性:
Monoclonal
- 适应物种:
Human;Mouse;Rat
- 保质期:
12 months
- 抗原来源:
Recombinant Rabbit
- 供应商:
南京赛戈巍生物科技有限公司
- 宿主:
Recombinant Rabbit
- 应用范围:
WB, ICC/IF, IHC, FC
- 靶点:
Uniprot:P04156
- 抗体英文名:
Prion Protein(PrP) Rabbit mAb
- 规格:
50ul/100ul
AltPrP antibody
ASCR antibody
CD230 antibody
CD230 antigen antibody
CJD antibody
GSS antibody
KURU antibody
Major prion protein antibody
p27 30 antibody
PRIO_HUMAN antibody
Prion protein antibody
Prion related protein antibody
PRIP antibody
PRNP antibody
PrP antibody
PrP27 30 antibody
PrP27-30 antibody
PrP33-35C antibody
PrPC antibody
PrPSc antibody
Sinc antibody
计算分子量:28 kDa
配方:1*TBS (pH7.4), 1%BSA, 40%Glycerol. Preservative: 0.05% Sodium Azide.
应用详情:
WB: 1:1,000-5,000
IHC: 1:50-1:200
ICC: 1:50-1:200
FC: 1:50-1:100
图片:

Western blot analysis of PrP on different lysates using anti-PrP antibody at 1/1,000 dilution. Positive control:
Lane 1: Rat brain
Lane 2: Mouse brain
,

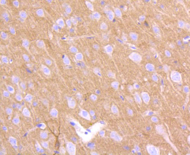
Immunohistochemical analysis of paraffin-embedded rat brain tissue using anti-PrP antibody. Counter stained with hematoxylin.
,

Immunohistochemical analysis of paraffin-embedded mouse brain tissue using anti-PrP antibody. Counter stained with hematoxylin.
,

ICC staining PrP in N2A cells (green). The nuclear counter stain is DAPI (blue). Cells were fixed in paraformaldehyde, permeabilised with 0.25% Triton X100/PBS.
,

ICC staining PrP in SHG-44 cells (green). The nuclear counter stain is DAPI (blue). Cells were fixed in paraformaldehyde, permeabilised with 0.25% Triton X100/PBS.
,

ICC staining PrP in SH-SY-5Y cells (green). The nuclear counter stain is DAPI (blue). Cells were fixed in paraformaldehyde, permeabilised with 0.25% Triton X100/PBS.
,

Flow cytometric analysis of SH-SY-5Y cells with PrP antibody at 1/50 dilution (red) compared with an unlabelled control (cells without incubation with primary antibody; black). Alexa Fluor 488-conjugated goat anti rabbit IgG was used as the secondary antibody.
风险提示:丁香通仅作为第三方平台,为商家信息发布提供平台空间。用户咨询产品时请注意保护个人信息及财产安全,合理判断,谨慎选购商品,商家和用户对交易行为负责。对于医疗器械类产品,请先查证核实企业经营资质和医疗器械产品注册证情况。
文献和实验Secondary structure of prion mRNA
of structural elements in mRNA of prion protein From the EMBL data bank, 23 PrP mRNA sequences of the following species were available: three rodents (mouse, hamster, rat), two ruminants (cattle, sheep), the human and 17 non-human primates consisting
The pathogenesis of scrapie and other transmissible spongiform encephalopathies (TSEs) appears to be based on the posttranslational conversion of the host’s protease-sensitive prion protein (PrP-sen or PrPc ) to abnormal protease-resistant
Neuropathological Diagnosis of Human Prion Disease: PrP Immunocytochemical Techniques
in tissue sections. Since it is now known that CJD and related diseases are associated with accumulation in the brain of a protease-resistant protein known as prion protein (4 ), the demonstration of prion presence in suspected cases would represent
技术资料暂无技术资料 索取技术资料





![RRP8 Antibody[47746]](https://img1.dxycdn.com/p/s14/2025/0923/496/0462304380155040791.jpg!wh200)
![YBOX2 Antibody[34130]](https://img1.dxycdn.com/p/s14/2025/0922/359/6146153295428599691.jpg!wh200)
![NOX2 Polyclonal Antibody Bio Conjugated[C92076Bio]](https://img1.dxycdn.com/p/s14/2025/0922/498/0460884283108299691.jpg!wh200)
