相关产品推荐更多 >
万千商家帮你免费找货
0 人在求购买到急需产品
- 详细信息
- 文献和实验
- 技术资料
- 免疫原:
A synthetic phosphopeptide corresponding to residues surrounding Ser99 of human PKA R2
- 形态:
liquid
- 保存条件:
Store at -20˚C
- 克隆性:
Monoclonal antibody
- 适应物种:
Human;Mouse;Rat
- 保质期:
12 months
- 抗原来源:
Recombinant Rabbit
- 供应商:
南京赛戈巍生物科技有限公司
- 宿主:
Recombinant Rabbit
- 应用范围:
WB IHC
- 靶点:
Uniprot:P13861
- 抗体英文名:
Phospho-PKA RII alpha (Ser99) Rabbit mAb
- 规格:
50ul/100ul
计算分子量:Calculated MW: 46 kDa; Observed MW: 50 kDa
配方:50nM Tris-Glycine(pH 7.4), 0.15M NaCl, 40% Glycerol, 0.01% Sodium azide and 0.05% BSA
应用详情:WB: 1/1000; IHC: 1/100;
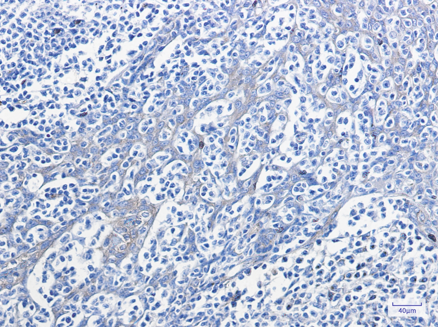
图片:

Western blot detection of Phospho-PKA RIIalpha (Ser99) in Rat Brain,C6 cell lysates using Phospho-PKA RIIalpha (Ser99) Rabbit mAb(1:1000 diluted).Predicted band size:46kDa.Observed band size:50kDa.
,

Immunohistochemistry of PKA R2 (Phospho-Ser99) in paraffin-embedded Human tonsil using PKA R2 (Phospho-Ser99) Rabbit mAb at dilution 1/100
风险提示:丁香通仅作为第三方平台,为商家信息发布提供平台空间。用户咨询产品时请注意保护个人信息及财产安全,合理判断,谨慎选购商品,商家和用户对交易行为负责。对于医疗器械类产品,请先查证核实企业经营资质和医疗器械产品注册证情况。
文献和实验:使用 Anti-phospho-Akt (Ser473) Rabbit mAb 对石蜡包埋的人乳腺癌组织进行免疫组织化学分析。(图 A)使用免疫组化试剂盒M&R HRP/DAB Detection IHC Kit,抗体 1:100 稀释;(图 B) 采用普通免疫组化试剂盒,抗体 1:25 稀释。 图 6 免疫组化实验检测 Erk1/2 表达 注:使用 Anti-Erk1/2 Mouse mAb与p44/42 MAPK (Erk1/2)Rabbit mAb 对正常小鼠心脏组织进行免疫
secondary antibody review -- data from 99 publications
IgG Alexa Fluor 488 1:250 Molecular Probes 10 goat Cy3 immunocytochemistry detect NMDA receptors in HEK293 cells Jackson ImmunoResearch Laboratories 10 FITC immunocytochemistry 1:100 detect phospho-CREB in human colonic
(Ser473)(193H12)Rabbit mAb,1:300,稀释,二抗是驴抗兔,1:2000,我是实验室的新手,刚呆俩月,受 此挫折,一头雾水,请过来人或者有经验的同学帮忙解答怎样解决,非常感谢! 碧峤 pAkt有两个位点,Ser473和Thr308,其中Ser473相对容易显色。如果显色失败,可能的原因:1 上样量过少,我们一般都是30μg;2 一抗孵育时间过短,我们一般24h~48h;3 一抗是否工作有待排除 米宝
技术资料暂无技术资料 索取技术资料





![TriMethyl-Histone H3-K64 pAb[30872]](https://img1.dxycdn.com/p/s14/2025/0923/278/4431488150116040791.jpg!wh200)
![TRPM3 Polyclonal Antibody PE Conjugated[C92738PE]](https://img1.dxycdn.com/p/s14/2025/0922/498/0460884283108299691.jpg!wh200)
![CADPS Conjugated Antibody[C29961]](https://img1.dxycdn.com/p/s14/2025/0923/305/2150219664296040791.jpg!wh200)
![NEB2 Antibody[44497]](https://img1.dxycdn.com/p/s14/2025/0922/568/0046652811090600791.jpg!wh200)

