相关产品推荐更多 >
万千商家帮你免费找货
0 人在求购买到急需产品
- 详细信息
- 文献和实验
- 技术资料
- 免疫原:
A synthetic peptide of human eIF4EBP1
- 形态:
liquid
- 保存条件:
Store at -20˚C
- 克隆性:
Monoclonal antibody
- 适应物种:
Human;Mouse;Rat
- 保质期:
12 months
- 抗原来源:
Recombinant Rabbit
- 供应商:
南京赛戈巍生物科技有限公司
- 宿主:
Recombinant Rabbit
- 应用范围:
WB IHC
- 靶点:
Uniprot:Q13541
- 抗体英文名:
4E BP1 Rabbit mAb
- 规格:
50ul/100ul
计算分子量:Calculated MW: 13 kDa; Observed MW: 15-20 kDa
配方:50nM Tris-Glycine(pH 7.4), 0.15M NaCl, 40% Glycerol, 0.01% Sodium azide and 0.05% BSA
应用详情:WB: 1/1000; IHC: 1/50;
图片:

Western blot detection of eIF4EBP1 in Jurkat,C6,CHO-K1 cell lysates using eIF4EBP1 Rabbit mAb(1:1000 diluted).Predicted band size:13kDa.Observed band size:15-20kDa.
,

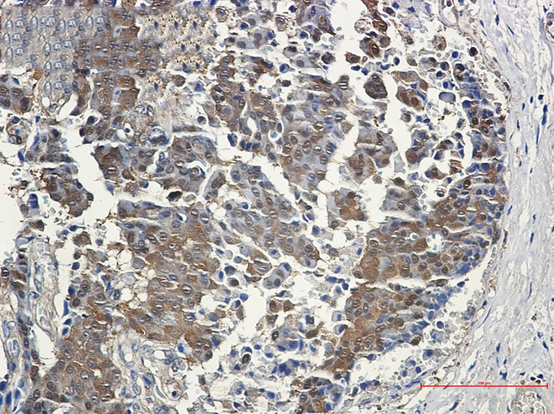
Immunohistochemistry of eIF4EBP1 in paraffin-embedded Human breast cancer tissue using eIF4EBP1 Rabbit mAb at dilution 1/50
风险提示:丁香通仅作为第三方平台,为商家信息发布提供平台空间。用户咨询产品时请注意保护个人信息及财产安全,合理判断,谨慎选购商品,商家和用户对交易行为负责。对于医疗器械类产品,请先查证核实企业经营资质和医疗器械产品注册证情况。
文献和实验Generation of Rabbit Immune Libraries
Rabbits provide an interesting alternative to antibodies derived from the murine system. Furthermore, rabbits show an exceptional feature with respect to the mechanisms that are used for the generation of antibody diversity, i.e. a single VH
T-Cell Activation Using mAb to CD3
µg/ml solution of anti-CD3e (145-2C11) in sterile PBS. Calculate the number of wells required for each experimental condition and consider triplicate samples for each condition. For example, to coat one-half plate (48 wells) 2.6ml of antibody solution
In Vitro Translation Using Rabbit Reticulocyte Lysate
. This eliminates any background translation products. Several factors are added to rabbit reticulocyte lysate to optimize translation efficiency. These include hemin (to prevent phosphorylation of initiation factor eIF2-a), an energy-generating system (e.g
技术资料暂无技术资料 索取技术资料





![Transcription initiation protein SPT3 homolog Polyclonal Antibody[42337]](https://img1.dxycdn.com/p/s14/2025/0922/568/0046652811090600791.jpg!wh200)
![CD25 Conjugated Antibody[C56392]](https://img1.dxycdn.com/p/s14/2025/0922/632/2321321568067599691.jpg!wh200)
![KAT7 Conjugated Antibody[C33069]](https://img1.dxycdn.com/p/s14/2025/0923/278/4431488150116040791.jpg!wh200)

