相关产品推荐更多 >
万千商家帮你免费找货
0 人在求购买到急需产品
- 详细信息
- 文献和实验
- 技术资料
- 免疫原:
Recombinant fusion protein of human DDX39B (NP_004631.1).
- 形态:
liquid
- 保存条件:
Store at -20˚C
- 克隆性:
Polyclonal
- 适应物种:
Human;Mouse;Rat
- 保质期:
12 months
- 抗原来源:
Rabbit
- 供应商:
南京赛戈巍生物科技有限公司
- 宿主:
Rabbit
- 应用范围:
WB,IHC,IF
- 靶点:
Uniprot:Q13838
- 抗体英文名:
DDX39B Rabbit Polyclonal Antibody
- 规格:
50ul/100ul
计算分子量:48kDa/50kDa
配方:Buffer: PBS with 0.02% sodium azide,50% glycerol,pH7.3.
应用详情:WB 1:500 - 1:2000
IHC 1:100 - 1:200
IF 1:50 - 1:200
图片:

Western blot analysis of extracts of various cell lines, using DDX39B at 1:1000 dilution.
,

Immunofluorescence analysis of C6 cells using DDX39B Polyclonal at dilution of 1:100 (40x lens). Blue: DAPI for nuclear staining.
,

Immunofluorescence analysis of NIH-3T3 cells using DDX39B Polyclonal at dilution of 1:100 (40x lens). Blue: DAPI for nuclear staining.
,

Immunofluorescence analysis of U-2 OS cells using DDX39B Polyclonal at dilution of 1:100 (40x lens). Blue: DAPI for nuclear staining.
,

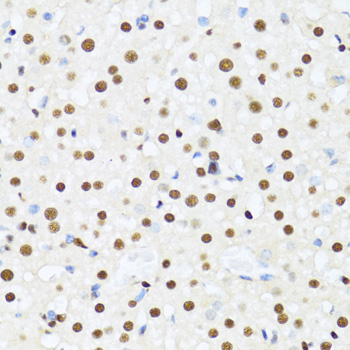
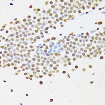
Immunohistochemistry of paraffin-embedded rat liver using DDX39B at dilution of 1:100 (40x lens).
,

Immunohistochemistry of paraffin-embedded rat ovary using DDX39B at dilution of 1:100 (40x lens).
,

Immunohistochemistry of paraffin-embedded rat brain using DDX39B at dilution of 1:100 (40x lens).
,

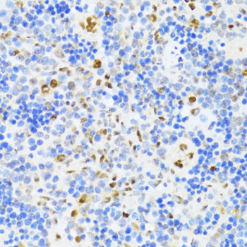
Immunohistochemistry of paraffin-embedded rat spleen using DDX39B at dilution of 1:100 (40x lens).
,

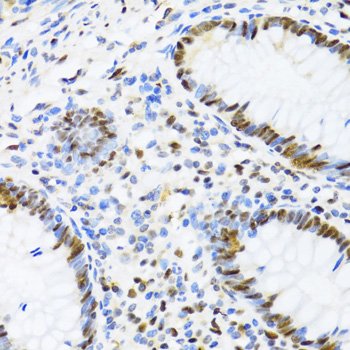
Immunohistochemistry of paraffin-embedded human appendix using DDX39B at dilution of 1:100 (40x lens).
,

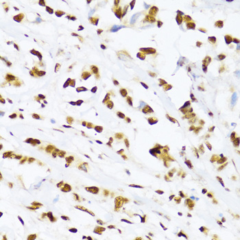
Immunohistochemistry of paraffin-embedded human breast cancer using DDX39B at dilution of 1:100 (40x lens).
,

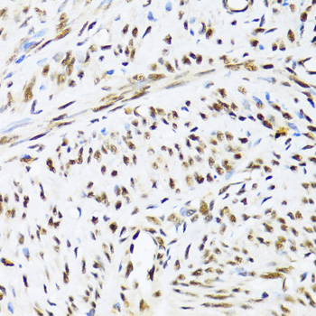
Immunohistochemistry of paraffin-embedded human uterus using DDX39B at dilution of 1:100 (40x lens).
,

Immunohistochemistry of paraffin-embedded mouse liver using DDX39B at dilution of 1:100 (40x lens).
,

Immunohistochemistry of paraffin-embedded mouse brain using DDX39B at dilution of 1:100 (40x lens).
,

Immunohistochemistry of paraffin-embedded mouse kidney using DDX39B at dilution of 1:100 (40x lens).
风险提示:丁香通仅作为第三方平台,为商家信息发布提供平台空间。用户咨询产品时请注意保护个人信息及财产安全,合理判断,谨慎选购商品,商家和用户对交易行为负责。对于医疗器械类产品,请先查证核实企业经营资质和医疗器械产品注册证情况。
文献和实验Polyclonal Antibody Production
Zealand White Rabbits and have them delivered to the ARC. Don’t put all your eggs in one basket only using one rabbit. Let them get accustomed to there home there for two weeks before the first pre-bleed. Pre-bleed
Polyclonal Antibody Production
Polyclonal Antibody Production Very useful for rapid and simple generation of antibodies for western blots, ELISA assays, and immunoprecipitation. Rabbit Immunization Initial Preparation Your antigen
Polyclonal Antibody Production 简单快捷制备多抗方法,可用于western、ELISA和免疫/b
Very useful for rapid and simple generation of antibodies for western blots, ELISA assays, and immunoprecipitation. -------------------------------------------------------------------------------- Rabbit
技术资料暂无技术资料 索取技术资料





![DBX1 Antibody[47022]](https://img1.dxycdn.com/p/s14/2025/0923/496/0462304380155040791.jpg!wh200)
![CAST Antibody[36300]](https://img1.dxycdn.com/p/s14/2025/0922/359/6146153295428599691.jpg!wh200)
![NFKBIB Conjugated Antibody[C33039]](https://img1.dxycdn.com/p/s14/2025/0923/278/4431488150116040791.jpg!wh200)
![AP1S1 antibody[31849]](https://img1.dxycdn.com/p/s14/2025/0923/305/2150219664296040791.jpg!wh200)

