相关产品推荐更多 >
万千商家帮你免费找货
0 人在求购买到急需产品
- 详细信息
- 文献和实验
- 技术资料
- 免疫原:
Recombinant protein of human IL2
- 形态:
liquid
- 保存条件:
Store at -20˚C
- 克隆性:
Polyclonal
- 适应物种:
Human;Mouse;Rat
- 保质期:
12 months
- 抗原来源:
Rabbit
- 供应商:
南京赛戈巍生物科技有限公司
- 宿主:
Rabbit
- 应用范围:
WB,IHC
- 靶点:
Uniprot:P60568
- 抗体英文名:
IL2 Rabbit Polyclonal Antibody
- 规格:
50ul/100ul
计算分子量:18kDa
配方:Buffer: PBS with 0.02% sodium azide,50% glycerol,pH7.3.
应用详情:WB 1:500 - 1:2000
IHC 1:50 - 1:200
图片:

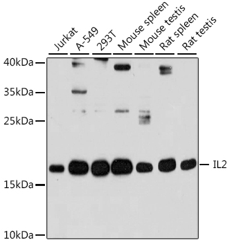
Western blot analysis of extracts of various cell lines, using IL2 at 1:1000 dilution.
,

Western blot analysis of extracts of Raw264.7 cells, using IL2 at 1:1000 dilution. Raw264.7 cells were treated by LPS for 6 hours and Brefeldin A for 3 hours of stimulation.
,

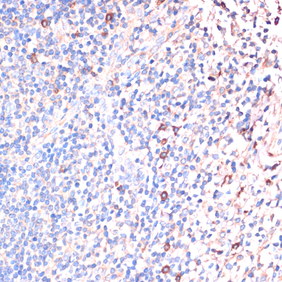
Immunohistochemistry of paraffin-embedded human tonsil using IL2 at dilution of 1:100 (40x lens).
,

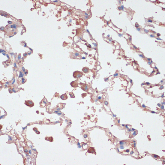
Immunohistochemistry of paraffin-embedded human lung using IL2 at dilution of 1:100 (40x lens).
,

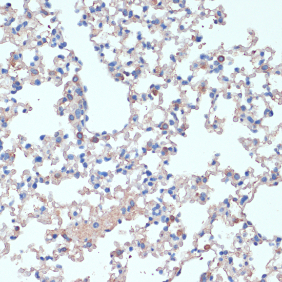
Immunohistochemistry of paraffin-embedded mouse lung using IL2 at dilution of 1:100 (40x lens).
,

Immunohistochemistry of paraffin-embedded mouse spleen using IL2 at dilution of 1:100 (40x lens).
风险提示:丁香通仅作为第三方平台,为商家信息发布提供平台空间。用户咨询产品时请注意保护个人信息及财产安全,合理判断,谨慎选购商品,商家和用户对交易行为负责。对于医疗器械类产品,请先查证核实企业经营资质和医疗器械产品注册证情况。
文献和实验Polyclonal Antibody Production
Zealand White Rabbits and have them delivered to the ARC. Don’t put all your eggs in one basket only using one rabbit. Let them get accustomed to there home there for two weeks before the first pre-bleed. Pre-bleed
Polyclonal Antibody Production
Polyclonal Antibody Production Very useful for rapid and simple generation of antibodies for western blots, ELISA assays, and immunoprecipitation. Rabbit Immunization Initial Preparation Your antigen
Antibody-IL2 Fusion Proteins for Tumor Targeting
as part of an antibody-cytokine fusion protein to the tumor tissue by a single chain fragment of variable regions (scFv) antibody recognizing a tumor-associated antigen. IL2 can moreover be combined with IL12 in a dual cytokine fusion protein, which simultaneously
技术资料暂无技术资料 索取技术资料





![Dengue Virus NS1 Polyclonal Antibody Biotin Conjugated[C91040Bio]](https://img1.dxycdn.com/p/s14/2025/0922/498/0460884283108299691.jpg!wh200)
![CCL23 Conjugated Antibody[C56887]](https://img1.dxycdn.com/p/s14/2025/0922/632/2321321568067599691.jpg!wh200)


