相关产品推荐更多 >
万千商家帮你免费找货
0 人在求购买到急需产品
- 详细信息
- 文献和实验
- 技术资料
- 形态:
liquid
- 保存条件:
Store at -20˚C
- 克隆性:
Monoclonal
- 适应物种:
Human
- 保质期:
12 months
- 抗原来源:
Mouse
- 供应商:
南京赛戈巍生物科技有限公司
- 宿主:
Mouse
- 应用范围:
IHC
- 抗体英文名:
Thymidylate Synthase Antibody
- 规格:
50ul/100ul
应用详情:Recommended working dilution range:1:100 - 1:200
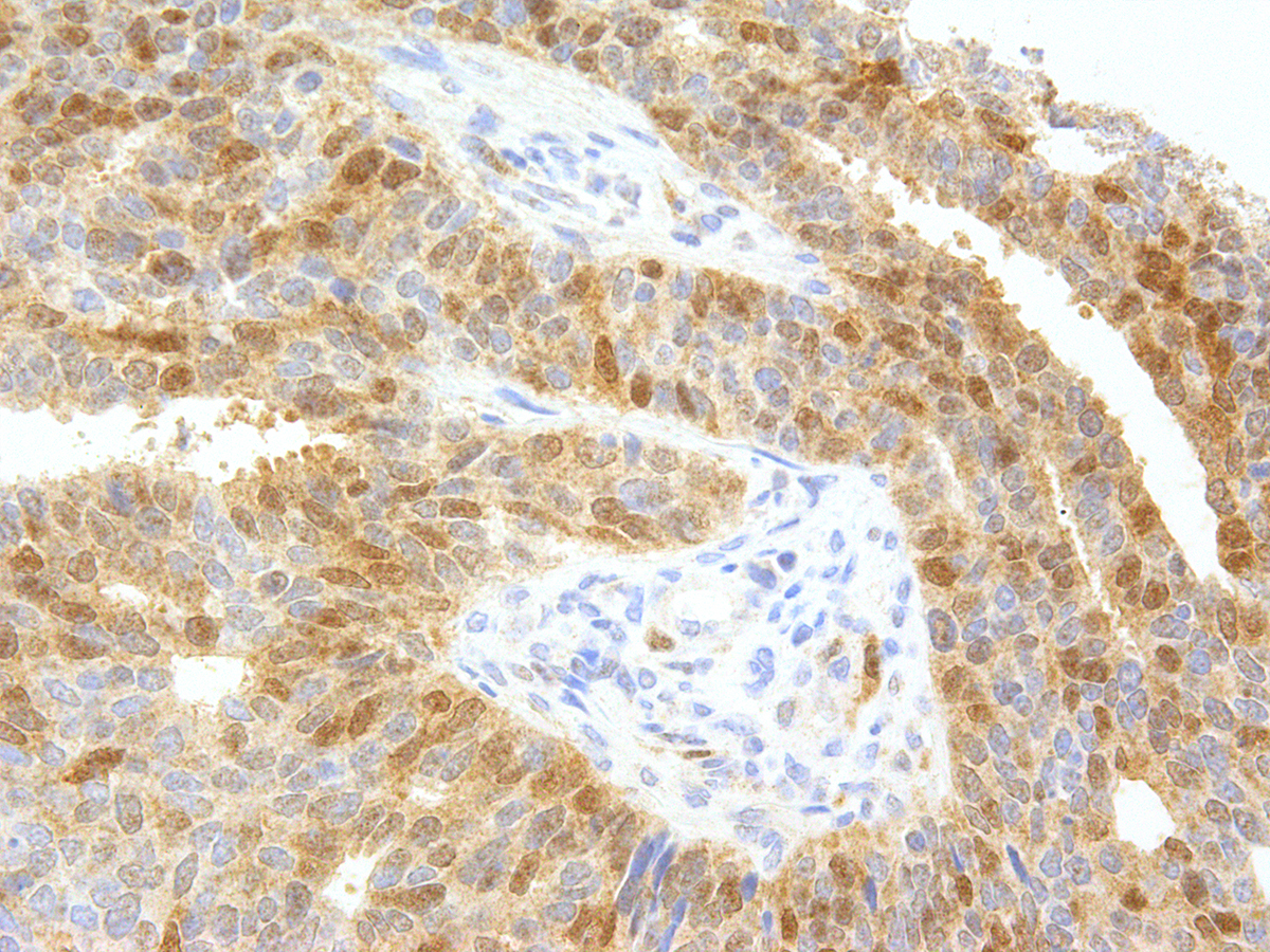
图片:

Thymidylate Synthase [P1057] on Cervical Cancer
风险提示:丁香通仅作为第三方平台,为商家信息发布提供平台空间。用户咨询产品时请注意保护个人信息及财产安全,合理判断,谨慎选购商品,商家和用户对交易行为负责。对于医疗器械类产品,请先查证核实企业经营资质和医疗器械产品注册证情况。
文献和实验5-Fluorouracil Metabolizing Enzymes
intracellular conversion to form cytotoxic nucleotides (1 ). Several cellular targets for fluoropyrimidines have been well-characterized, including inhibition of thymidylate synthase (TS) by fluorodeoxyuridine monophosphate (FdUMP) and false base incorporation
antibody dilution buffer: TBS-T supplemented with2% (w/v) BSA. 6. Antibodies: Phospho-b-catenin Ser33/Ser37/Thr41, phospho-glycogen synthase Ser641, and glycogen synthase (CellSignaling Technologies, Beverly, MA); b-catenin and GSK-3b(BD PharMingen, San
Yeast Nuclear Genes for mtDNA Maintenance
1 (8 ), or the RNA polymerase RPO41 (9 ). Others encode cytoplasmic or nuclear proteins that control the synthesis, or the flux, of metabolites necessary for mitochondrial DNA synthesis, such as the thymidylate kinase (10 ), thymidylate synthase (10 ), or subunits
技术资料暂无技术资料 索取技术资料





![MARK1/2/3/4 Polyclonal Conjugated Antibody[C41121]](https://img1.dxycdn.com/p/s14/2025/0923/278/4431488150116040791.jpg!wh200)
![PHKG1 Antibody[37824]](https://img1.dxycdn.com/p/s14/2025/0922/359/6146153295428599691.jpg!wh200)
![GAN antibody[43479]](https://img1.dxycdn.com/p/s14/2025/0923/305/2150219664296040791.jpg!wh200)
![c-Cbl (phospho-Tyr731) rabbit pAb[13996]](https://img1.dxycdn.com/p/s14/2025/0922/498/0460884283108299691.jpg!wh200)

