相关产品推荐更多 >
万千商家帮你免费找货
0 人在求购买到急需产品
- 详细信息
- 文献和实验
- 技术资料
- 形态:
liquid
- 保存条件:
Store at -20˚C
- 克隆性:
Monoclonal
- 适应物种:
Human
- 保质期:
12 months
- 抗原来源:
Mouse
- 供应商:
南京赛戈巍生物科技有限公司
- 宿主:
Mouse
- 应用范围:
IHC
- 抗体英文名:
Kappa Antibody
- 规格:
50ul/100ul
应用详情:Recommended working dilution range:1:100 - 1:200
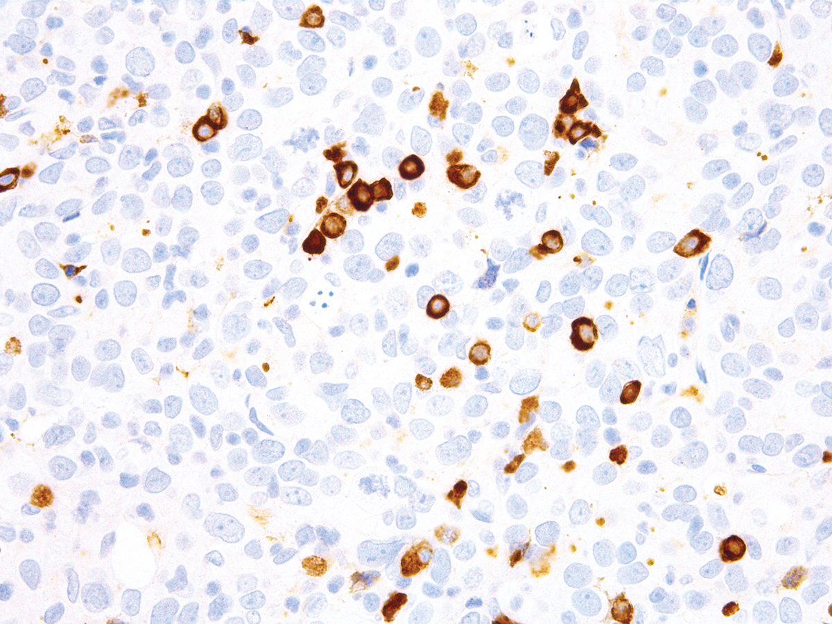
图片:

Kappa [P1045] on Ovary
风险提示:丁香通仅作为第三方平台,为商家信息发布提供平台空间。用户咨询产品时请注意保护个人信息及财产安全,合理判断,谨慎选购商品,商家和用户对交易行为负责。对于医疗器械类产品,请先查证核实企业经营资质和医疗器械产品注册证情况。
文献和实验亦称k粒。它存在于放毒型草履虫的细胞质中,能进行自体复制,显有与病毒相似的性质,一般认为是寄生性病毒。卡巴粒的直径为 0.2— 0.5微米,长度为 0.5— 5微米。在具有放毒作用强的放毒型中,一个细胞内有 400— 1600个卡巴粒,这种粒子也可向草履虫的培养液中释放,可杀死摄取这种粒子的敏感型草履虫。与卡巴粒相类似的粒子有λ、σ、γ、δ等粒子。
joan831 请教高手:ERK1/2与NF-kappa B两个信号通路关系如何?前者能激活后者吗?还有,若在文献中查到的某种细胞类型中(比如单核细胞)中ERK1/2与NF-kappa B两个信号通路的关系是否也适用于其他细胞类型(比如肾系膜细胞)?谢谢! lijinbaobao 前者能激活后者,应该在其他的细胞类型中也适用。 lwjssry 一种细胞的信号通路除非你证明了也存在于另一
Combination chemotherapy has been shown to be more effective than single-agent therapy for many types of cancer, but both are known to induce drug resistance in cancer cells. Two major culprits in the development of this drug resistance
技术资料暂无技术资料 索取技术资料






![CD34 Mouse mAb[63365]](https://img1.dxycdn.com/p/s14/2025/0922/632/2321321568067599691.jpg!wh200)
![ACTN3 Antibody[34157]](https://img1.dxycdn.com/p/s14/2025/0922/359/6146153295428599691.jpg!wh200)
![CTNND2 Conjugated Antibody[C46993]](https://img1.dxycdn.com/p/s14/2025/0923/305/2150219664296040791.jpg!wh200)
![Daxx (Phospho-Ser668) Polyclonal Antibody[12297]](https://img1.dxycdn.com/p/s14/2025/0922/568/0046652811090600791.jpg!wh200)

