相关产品推荐更多 >
万千商家帮你免费找货
0 人在求购买到急需产品
- 详细信息
- 文献和实验
- 技术资料
- 形态:
liquid
- 保存条件:
Store at -20˚C
- 克隆性:
Monoclonal
- 适应物种:
Human
- 保质期:
12 months
- 抗原来源:
Mouse
- 供应商:
南京赛戈巍生物科技有限公司
- 宿主:
Mouse
- 应用范围:
IHC
- 抗体英文名:
Cytokeratin 18 Antibody
- 规格:
50ul/100ul
应用详情:
Recommended working dilution range:1:100 - 1:200
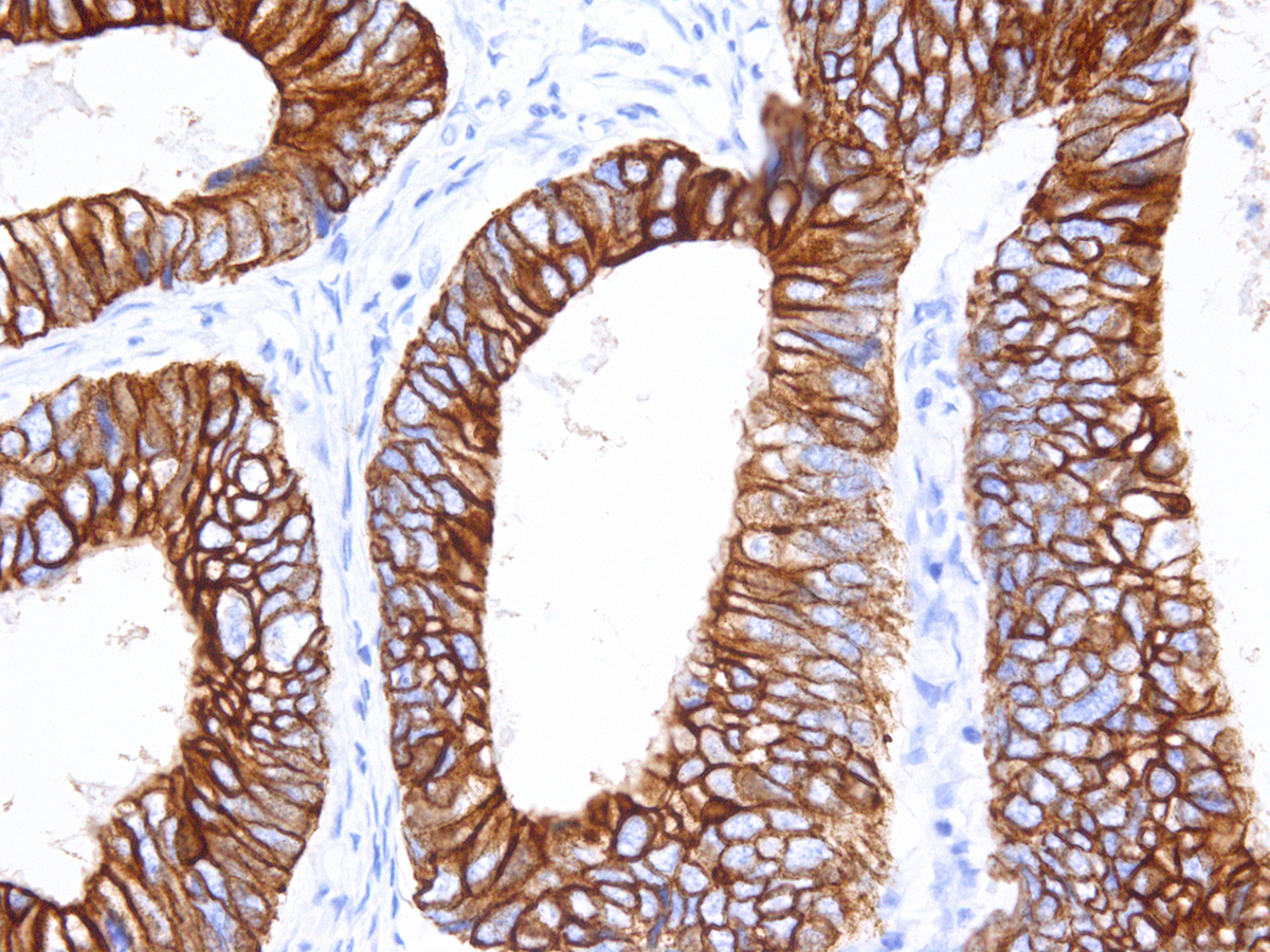
图片:

Cytokeratin 18 Antibody (P1007) on Breast carcinoma
,

Cytokeratin 18 Antibody (P1007) on Colon - 10X
,

Cytokeratin 18 Antibody (P1007) on Colon - 40X
风险提示:丁香通仅作为第三方平台,为商家信息发布提供平台空间。用户咨询产品时请注意保护个人信息及财产安全,合理判断,谨慎选购商品,商家和用户对交易行为负责。对于医疗器械类产品,请先查证核实企业经营资质和医疗器械产品注册证情况。
文献和实验negative, while the bile ducts are positive.CAM 5.2- Monoclonal antibody against low M.W. cytokeratin (including CK8 and CK18).- Source: Becton-Dickinson.- Dilution 1:8.- Antigen retrieval method: HIER (pressure cooking) using EDTA.- Staining pattern
Phycoerythrin conjugation protocol
and Centricon concentrators. Add 0.5% sodium azide. Store at 4 °C protected from light. Do not freeze. Figure 1. Analysis of column eluate fractions from PE conjugation of monoclonal antibody IB4 (murine IgG2a, anti-human CD18
静置,或 37℃ 1 小时;12)II抗中可加入 0.05% 的 tween-20。13)PBS 洗 3 次各 5 分钟;14)DAB 显色 5~10 分钟,在显微镜下掌握染色程度;15)PBS或自来水冲洗 10 分钟;16)苏木精复染 2 分钟,盐酸酒精分化;17)自来水冲洗 10~15 分钟;18)脱水、透明、封片、镜检。 二、SABC法 1)脱蜡、水化。2)PBS 洗两次各 5 分钟。3)用蒸馏水或PBS配置新鲜的3%H2O2,室温封闭5~10分钟,蒸馏水洗3次。4)抗原修复。5)PBS洗5分钟
技术资料暂无技术资料 索取技术资料





![PTK7 Conjugated Antibody[C31752]](https://img1.dxycdn.com/p/s14/2025/0923/305/2150219664296040791.jpg!wh200)
![LRRK2 Mouse mAb[63888]](https://img1.dxycdn.com/p/s14/2025/0922/632/2321321568067599691.jpg!wh200)
![PLXNA4 Conjugated Antibody[C37835]](https://img1.dxycdn.com/p/s14/2025/0923/278/4431488150116040791.jpg!wh200)
![OX40 Antibody[39734]](https://img1.dxycdn.com/p/s14/2025/0922/359/6146153295428599691.jpg!wh200)

