相关产品推荐更多 >
万千商家帮你免费找货
0 人在求购买到急需产品
- 详细信息
- 文献和实验
- 技术资料
- 形态:
liquid
- 保存条件:
Store at -20˚C
- 克隆性:
Monoclonal
- 适应物种:
Human
- 保质期:
12 months
- 抗原来源:
Mouse
- 供应商:
南京赛戈巍生物科技有限公司
- 宿主:
Mouse
- 应用范围:
IHC
- 抗体英文名:
SOX 10 Antibody
- 规格:
50ul/100ul
应用详情:Recommended working dilution range:1:100 - 1:200
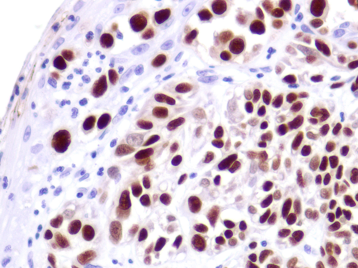
图片:

SOX-10 Antibody (P1005) on Melanoma
风险提示:丁香通仅作为第三方平台,为商家信息发布提供平台空间。用户咨询产品时请注意保护个人信息及财产安全,合理判断,谨慎选购商品,商家和用户对交易行为负责。对于医疗器械类产品,请先查证核实企业经营资质和医疗器械产品注册证情况。
文献和实验相关专题 &NBS p; Interleukin 10 Interleukin-10 (IL-10 or IL10), also known as human cytokine synthesis inhibitory factor (CSIF), is an anti-inflammatory cytokine. In humans IL-10 is encoded
RUVKUN Antibody Staining Protocol revised 10/29/90
RUVKUN Antibody Staining Protocol revised 10/29/90 Fixation: 1. C. elegans N2 grown in liquid or plates. Harvest worms. Wash for 2 hours at room temp. in 1X M9 or PBS. 2. Fix in 5 ml of FRESH THAT DAY 1% paraformaldehyde:
Cell:清华俞立团队首次发现迁移体介导的线粒体胞吐,一种新型线粒体质控过程
电子显微镜(TEM)分析显示,CCCP 处理后,线粒体确实积聚在迁移体内。该研究还发现低浓度的 CCCP (1 mM) 就足以诱导线粒体胞吐,10 mM CCCP (用于诱导线粒体自噬的剂量) 处理的细胞中,几乎不会诱导线粒体胞吐。轻度线粒体应激触发的线粒体向迁移体转运并使线粒体被迁移体从细胞中清除,研究人员将此过程称为线粒体胞吐(mitocytosis)。图片来源:Cell在线粒体胞吐过程中,高度动态的管状线粒体向外延伸。一旦管状线粒体的尖端接近质膜,尖端就会从线粒体网络中裂变,产生碎片附着在靠近质膜的区域
技术资料暂无技术资料 索取技术资料





![ICK Antibody[34122]](https://img1.dxycdn.com/p/s14/2025/0922/359/6146153295428599691.jpg!wh200)
![CGI-43 Polyclonal Antibody[40735]](https://img1.dxycdn.com/p/s14/2025/0922/568/0046652811090600791.jpg!wh200)
![TNNI3 Rabbit Polyclonal Antibody[55070]](https://img1.dxycdn.com/p/s14/2025/0922/498/0460884283108299691.jpg!wh200)

