相关产品推荐更多 >
万千商家帮你免费找货
0 人在求购买到急需产品
- 详细信息
- 文献和实验
- 技术资料
- 形态:
liquid
- 保存条件:
Store at -20˚C
- 克隆性:
Monoclonal
- 适应物种:
Human
- 保质期:
12 months
- 抗原来源:
Mouse
- 供应商:
南京赛戈巍生物科技有限公司
- 宿主:
Mouse
- 应用范围:
IHC
- 抗体英文名:
PAX-8 Antibody
- 规格:
50ul/100ul
应用详情:Recommended working dilution range:1:100 - 1:200
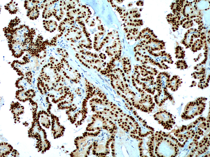
图片:

PAX-8 Antibody (P1004) on Ovary Tumor
风险提示:丁香通仅作为第三方平台,为商家信息发布提供平台空间。用户咨询产品时请注意保护个人信息及财产安全,合理判断,谨慎选购商品,商家和用户对交易行为负责。对于医疗器械类产品,请先查证核实企业经营资质和医疗器械产品注册证情况。
文献和实验Pax3 and Vertebrate Development
Pax3, a transcription factor expressed in the developing embryo, is a critical factor for the proper formation of the mammalian nervous, cardiovascular, and muscular systems. In the mouse, spontaneous mutations in Pax3 resulting in complete
。2019 年,WIMMER 等人成功培养出了包含内皮细胞和外膜细胞的人类血管类器官【4】。未来的人脑类器官技术可以与血管类器官结合在一起,建立一个功能性的封闭循环系统,用以支持类器官的长期培养,并研究神经和血管的相互作用。 ※Zhu团队利用近岸蛋白(Novoprotein)生产的 bFGF 因子(4ng/ml),成功培养出了人脑类器官,经免疫组化检测,PAX2(早期发育的前脑、中脑和后脑标记物)和 PAX6(前脑标记物)均有明显表达。并以此作为模型,深入研究了酒精对人脑类器官神经发生的损害,相关
新突破!科学家用三种干细胞成功培育人造胚胎,拥有完整大脑和一颗跳动的心脏……
的小鼠胚胎相当的阶段。 研究者对开发的胚胎模型进行了表征,发现该胚胎模型具有明确的前脑和中脑区域的头部褶皱,并发育出一个跳动的心脏状结构,一个由神经管和体节组成的躯干,一个包含神经中胚层祖细胞的尾芽,一个肠管和原始生殖细胞。 与之前的合成胚胎不同,这个新的合成胚胎模型首次拥有了完整的大脑结构,这一直是合成胚胎发育的主要目标。 图片来源:Nature 随后,研究团队尝试在胚胎模型中敲除 Pax6 基因,该基因参与眼睛和其他感觉器官的发育。在敲除了 Pax6 的胚胎模型中,同样观察到了相似的缺陷模式
技术资料暂无技术资料 索取技术资料





![PDGFR-β (phospho-Tyr751) Polyclonal Antibody[13622]](https://img1.dxycdn.com/p/s14/2025/0922/498/0460884283108299691.jpg!wh200)
![Retinoblastoma (Phospho-Ser780) Rabbit mAb[14147]](https://img1.dxycdn.com/p/s14/2025/0922/632/2321321568067599691.jpg!wh200)
![CTSZ Conjugated Antibody[C31047]](https://img1.dxycdn.com/p/s14/2025/0923/278/4431488150116040791.jpg!wh200)


