相关产品推荐更多 >
万千商家帮你免费找货
0 人在求购买到急需产品
- 详细信息
- 文献和实验
- 技术资料
- 免疫原:
Recombinant protein
- 形态:
liquid
- 保存条件:
Store at -20˚C
- 克隆性:
Monoclonal antibody
- 适应物种:
Human;Mouse;Rat
- 保质期:
12 months
- 抗原来源:
Recombinant Rabbit
- 供应商:
南京赛戈巍生物科技有限公司
- 宿主:
Recombinant Rabbit
- 应用范围:
WB,ICC,IF,IHC,FC
- 靶点:
Uniprot:P16435
- 抗体英文名:
Cytochrome P450 Reductase Rabbit mAb
- 规格:
50ul/100ul
CYPOR antibody
Cytochrome p450 oxidoreductase antibody
DKFZp686G04235 antibody
FLJ26468 antibody
NADPH Cytochrome P450 Reductase antibody
NADPH dependent cytochrome P450 reductase antibody
NADPH--cytochrome P450 reductase antibody
NCPR_HUMAN antibody
P450 (cytochrome) oxidoreductase antibody
P450 Cytochrome Oxidoreductase antibody
P450R antibody
por antibody
计算分子量:77 kDa
配方:1*TBS (pH7.4), 1%BSA, 40%Glycerol. Preservative: 0.05% Sodium Azide.
应用详情:WB: 1:500-1:1,000
IHC: 1:50-1:200
ICC: 1:50-1:200
FC: 1:50-1:100
图片:

Western blot analysis of Cytochrome P450 Reductase on SK-Br-3 (1) , A549 (2) and mouse lung (3) lysate using anti-Cytochrome P450 Reductase antibody at 1/500 dilution.
,

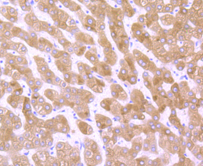
Immunohistochemical analysis of paraffin-embedded human liver tissue using anti-Cytochrome P450 Reductase antibody. Counter stained with hematoxylin.
,

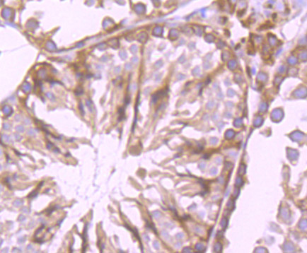
Immunohistochemical analysis of paraffin-embedded mouse testis tissue using anti-Cytochrome P450 Reductase antibody. Counter stained with hematoxylin.
,

Immunohistochemical analysis of paraffin-embedded rat brain tissue using anti-Cytochrome P450 Reductase antibody. Counter stained with hematoxylin.
,

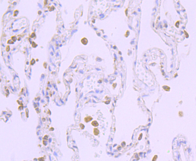
Immunohistochemical analysis of paraffin-embedded human lung cancer tissue using anti-Cytochrome P450 Reductase antibody. Counter stained with hematoxylin.
,

ICC staining Cytochrome P450 Reductase in HepG2 cells (green). The nuclear counter stain is DAPI (blue). Cells were fixed in paraformaldehyde, permeabilised with 0.25% Triton X100/PBS.
,

ICC staining Cytochrome P450 Reductase in LOVO cells (green). The nuclear counter stain is DAPI (blue). Cells were fixed in paraformaldehyde, permeabilised with 0.25% Triton X100/PBS.
,

ICC staining Cytochrome P450 Reductase in A549 cells (green). The nuclear counter stain is DAPI (blue). Cells were fixed in paraformaldehyde, permeabilised with 0.25% Triton X100/PBS.
,

Flow cytometric analysis of HepG2 cells with Cytochrome P450 Reductase antibody at 1/100 dilution (red) compared with an unlabelled control (cells without incubation with primary antibody; black). Alexa Fluor 488-conjugated goat anti-rabbit IgG was used as the secondary antibody.
风险提示:丁香通仅作为第三方平台,为商家信息发布提供平台空间。用户咨询产品时请注意保护个人信息及财产安全,合理判断,谨慎选购商品,商家和用户对交易行为负责。对于医疗器械类产品,请先查证核实企业经营资质和医疗器械产品注册证情况。
文献和实验Cytochrome P450 Reconstitution Systems
adenine dinucleotide phosphate-cytochrome P450 reductase in the membranes of phospholipid vesicles. However, our studies have suggested that the conditions for reconstitution of activities vary depending on the P450 enzymes used. For example
Isolation and Purification of Constitutive Forms of Microsomal Cytochrome P450
from microsomes through the use of proteases were not successful, resulting merely in the solubilization of a number of other microsomal proteins. The breakthrough event was the solubrlizatron of rabbit liver microsomal cytochrome P450 using the ionic detergent
Nanoscale-Engineered Cytochrome P450 System with a Branch Structure
Most of the bacterial cytochrome P450 s require two kinds of electron transfer proteins, ferredoxin and ferredoxin reductase, and thus P450 s do not show catalytic activity by themselves. A microbial transglutaminase-mediated site-specific
技术资料暂无技术资料 索取技术资料





![HNRNPM Polyclonal Antibody[42209]](https://img1.dxycdn.com/p/s14/2025/0922/568/0046652811090600791.jpg!wh200)
![APP Conjugated Antibody[C21204]](https://img1.dxycdn.com/p/s14/2025/0923/278/4431488150116040791.jpg!wh200)

![IGFBP6 Rabbit mAb[52360]](https://img1.dxycdn.com/p/s14/2025/0922/498/0460884283108299691.jpg!wh200)
