相关产品推荐更多 >
万千商家帮你免费找货
0 人在求购买到急需产品
- 详细信息
- 文献和实验
- 技术资料
- 免疫原:
Recombinant protein
- 形态:
liquid
- 保存条件:
Store at -20˚C
- 克隆性:
Monoclonal antibody
- 适应物种:
Human;Mouse;Rat
- 保质期:
12 months
- 抗原来源:
Recombinant Rabbit
- 供应商:
南京赛戈巍生物科技有限公司
- 宿主:
Recombinant Rabbit
- 应用范围:
WB,ICC,IF,IHC,IP,FC
- 靶点:
Uniprot:Q01105
- 抗体英文名:
SET Rabbit mAb
- 规格:
50ul/100ul
HLA DR associated protein II antibody
HLA-DR-associated protein II antibody
I 2PP2A antibody
I-2PP2A antibody
I2PP2A antibody
IGAAD antibody
Inhibitor of granzyme A activated DNase antibody
Inhibitor of granzyme A-activated DNase antibody
Inhibitor of GzmA-activated DNase antibody
inhibitor-2 of protein phosphatase-2A antibody
IPP2A2 antibody
PHAPII antibody
Phosphatase 2A inhibitor I2PP2A antibody
protein phosphatase type 2A inhibitor antibody
Protein SET antibody
Set antibody
SET nuclear oncogene antibody
SET translocation antibody
SET translocation (myeloid leukemia-associated) antibody
SET_HUMAN antibody
TAF I antibody
TAF IBETA antibody
TAF-I antibody
TAFI antibody
Template activating factor I antibody
Template-activating factor I antibody
Template-Activating Factor-I, chromatin remodelling factor antibody
计算分子量:37 kDa
配方:1*TBS (pH7.4), 1%BSA, 40%Glycerol. Preservative: 0.05% Sodium Azide.
应用详情:WB: 1:500-1:2,000
IHC: 1:50-1:200
ICC: 1:50-1:200
IP: 1:10-1:50
FC: 1:50-1:100
图片:

Western blot analysis of SET on K562 cell lysates using anti-SET at 1/500 dilution.
,

Immunohistochemical analysis of paraffin-embedded rat kidney tissue using anti-SET antibody. Counter stained with hematoxylin.
,

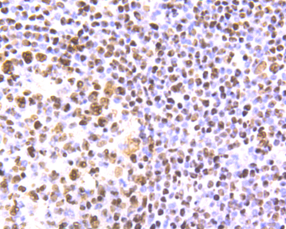
Immunohistochemical analysis of paraffin-embedded human tonsil tissue using anti-SET antibody. Counter stained with hematoxylin.
,

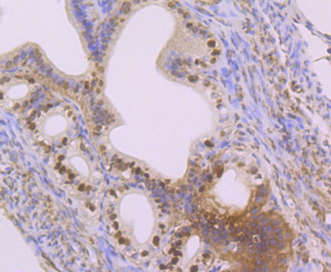
Immunohistochemical analysis of paraffin-embedded mouse fallopian tube tissue using anti-SET antibody. Counter stained with hematoxylin.
,

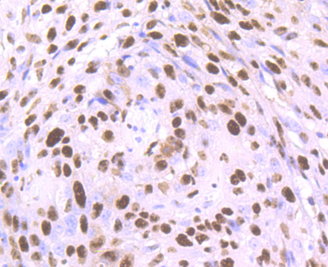
Immunohistochemical analysis of paraffin-embedded human lung cancer tissue using anti-SET antibody. Counter stained with hematoxylin.
,

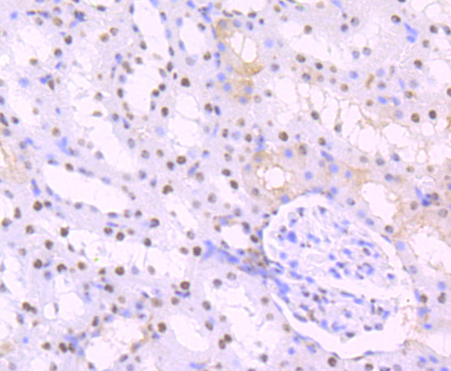
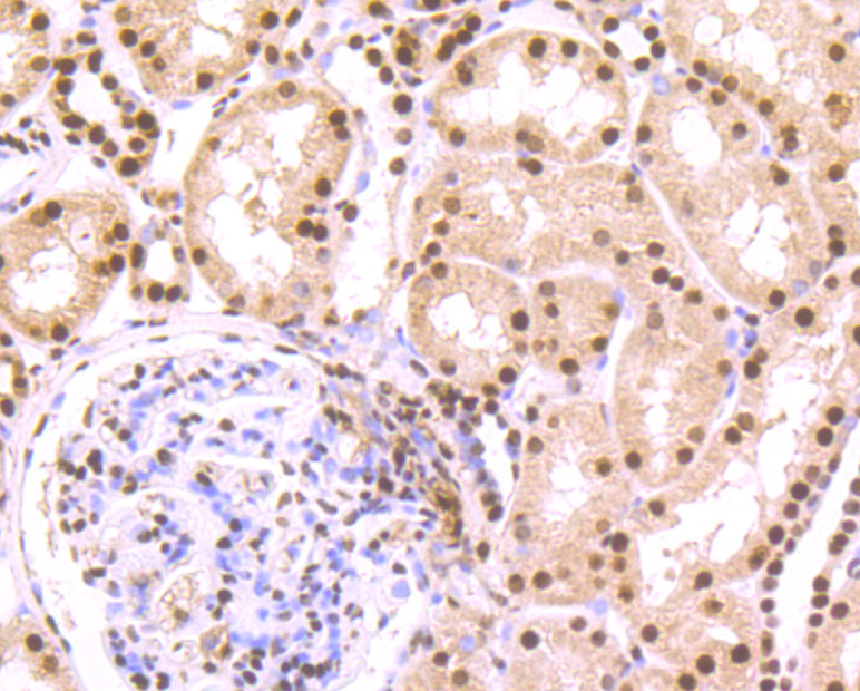
Immunohistochemical analysis of paraffin-embedded human kidney tissue using anti-SET antibody. Counter stained with hematoxylin.
,

ICC staining SET in Hela cells (green). The nuclear counter stain is DAPI (blue). Cells were fixed in paraformaldehyde, permeabilised with 0.25% Triton X100/PBS.
,

ICC staining SET in LOVO cells (green). The nuclear counter stain is DAPI (blue). Cells were fixed in paraformaldehyde, permeabilised with 0.25% Triton X100/PBS.
,

ICC staining SET in MCF-7 cells (green). The nuclear counter stain is DAPI (blue). Cells were fixed in paraformaldehyde, permeabilised with 0.25% Triton X100/PBS.
风险提示:丁香通仅作为第三方平台,为商家信息发布提供平台空间。用户咨询产品时请注意保护个人信息及财产安全,合理判断,谨慎选购商品,商家和用户对交易行为负责。对于医疗器械类产品,请先查证核实企业经营资质和医疗器械产品注册证情况。
文献和实验T-Cell Activation Using mAb to CD3
2 hours to coat antibody to flask or plate 20 minutes preparation of spleen single cell suspension 20 minutes to set up the assay 2-4 days incubation Method Antibody Coating of the Assay Plate Microwells: Prepare a 5-10
:使用 Anti-phospho-Akt (Ser473) Rabbit mAb 对石蜡包埋的人乳腺癌组织进行免疫组织化学分析。(图 A)使用免疫组化试剂盒M&R HRP/DAB Detection IHC Kit,抗体 1:100 稀释;(图 B) 采用普通免疫组化试剂盒,抗体 1:25 稀释。 图 6 免疫组化实验检测 Erk1/2 表达 注:使用 Anti-Erk1/2 Mouse mAb与p44/42 MAPK (Erk1/2)Rabbit mAb 对正常小鼠心脏组织进行免疫
h)即可。2. 修复大法——不仅仅是「煮一煮」微波炉修复:简单易行效果好,CST 推荐使用微波炉完成修复。合适的修复液:根据抗体说明书使用合适的修复液。用柠檬酸修复后,切片需浸泡在修复液中,自然冷却;而用 EDTA 修复后,切片可直接从修复缸中取出,直接进行下一步。注:使用不同的修复方式和不同生产商的抗体检测人肺癌组织中 EGFR 的表达。第一排为 CST 的 EGF Receptor (D38B1) XP® Rabbit mAb(#4267),EDTA 的修复方式明显优于柠檬酸盐及胃蛋白
技术资料暂无技术资料 索取技术资料





![CRYBB2 antibody[38669]](https://img1.dxycdn.com/p/s14/2025/0922/359/6146153295428599691.jpg!wh200)
![TIGAR Conjugated Antibody[C43101]](https://img1.dxycdn.com/p/s14/2025/0923/278/4431488150116040791.jpg!wh200)
![CD59 Rabbit mAb[49441]](https://img1.dxycdn.com/p/s14/2025/0923/496/0462304380155040791.jpg!wh200)
![PTPRR Polyclonal Antibody[27660]](https://img1.dxycdn.com/p/s14/2025/0923/305/2150219664296040791.jpg!wh200)
![PFKFB3 Rabbit Polyclonal Antibody[55049]](https://img1.dxycdn.com/p/s14/2025/0922/498/0460884283108299691.jpg!wh200)
