相关产品推荐更多 >
万千商家帮你免费找货
0 人在求购买到急需产品
- 详细信息
- 文献和实验
- 技术资料
- 免疫原:
Recombinant protein
- 形态:
liquid
- 保存条件:
Store at -20˚C
- 克隆性:
Monoclonal antibody
- 适应物种:
Human;Mouse;Rat
- 保质期:
12 months
- 抗原来源:
Recombinant Rabbit
- 供应商:
南京赛戈巍生物科技有限公司
- 宿主:
Recombinant Rabbit
- 应用范围:
WB,ICC,IF,IP,IHC,FC
- 靶点:
Uniprot:O43707
- 抗体英文名:
alpha Actinin 4 Rabbit mAb
- 规格:
50ul/100ul
Actinin alpha 4 antibody
actinin4 antibody
ACTN 4 antibody
ACTN4 antibody
ACTN4_HUMAN antibody
Alpha-actinin-4 antibody
DKFZp686K23158 antibody
F actin cross linking protein antibody
F-actin cross-linking protein antibody
Focal segmental glomerulosclerosis 1 antibody
FSGS 1 antibody
FSGS antibody
FSGS1 antibody
Non muscle alpha actinin 4 antibody
Non-muscle alpha-actinin 4 antibody
计算分子量:105 kDa
配方:1*TBS (pH7.4), 1%BSA, 40%Glycerol. Preservative: 0.05% Sodium Azide.
应用详情:WB: 1:500-1:2,000
IHC: 1:50-1:200
ICC: 1:100-1:500
IP: 1:10-1:50
FC: 1:50-1:100
图片:

Western blot analysis of alpha Actinin 4 on different lysates using anti-alpha Actinin 4 antibody at 1/500 dilution.
Positive control:
Lane 1: Hela
Lane 2: PC-12
Lane 3: NIH-3T3
Lane 4: Rat liver tissue
Lane 5: A431
Lane 6: HepG2
,

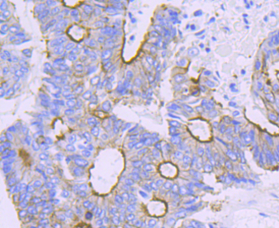
Immunohistochemical analysis of paraffin-embedded human colon cancer tissue using anti-alpha Actinin 4 antibody. Counter stained with hematoxylin.
,

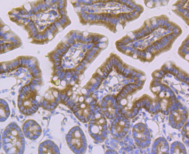
Immunohistochemical analysis of paraffin-embedded mouse colon tissue using anti-alpha Actinin 4 antibody. Counter stained with hematoxylin.
,

ICC staining alpha Actinin 4 in A549 cells (green). The nuclear counter stain is DAPI (blue). Cells were fixed in paraformaldehyde, permeabilised with 0.25% Triton X100/PBS.
,

ICC staining alpha Actinin 4 in Hela cells (green). The nuclear counter stain is DAPI (blue). Cells were fixed in paraformaldehyde, permeabilised with 0.25% Triton X100/PBS.
,

ICC staining alpha Actinin 4 in LOVO cells (green). The nuclear counter stain is DAPI (blue). Cells were fixed in paraformaldehyde, permeabilised with 0.25% Triton X100/PBS.
,

Flow cytometric analysis of A549 cells with alpha Actinin 4 antibody at 1/100 dilution (red) compared with an unlabelled control (cells without incubation with primary antibody; black).
风险提示:丁香通仅作为第三方平台,为商家信息发布提供平台空间。用户咨询产品时请注意保护个人信息及财产安全,合理判断,谨慎选购商品,商家和用户对交易行为负责。对于医疗器械类产品,请先查证核实企业经营资质和医疗器械产品注册证情况。
文献和实验Immunohistochemistry / Immunocytochemistry Procedures
of fixative for each antigen. However frozen sections give less morphological detail and resolution than other methods. Rabbit anti-alpha-internexin (Cat No. AB5354
High‐Throughput, Multiplexed Analysis of 3‐Nitrotyrosine in Individual Proteins
.1 ) Phosphate‐buffered saline (PBS; Fisher Scientific) Alexa Fluor 546–conjugated goat anti—rabbit IgG (Invitrogen, cat. no. A‐11035
技术资料暂无技术资料 索取技术资料






![COX7A2 Conjugated Antibody[C31973]](https://img1.dxycdn.com/p/s14/2025/0923/305/2150219664296040791.jpg!wh200)
![CCBL1 antibody[38995]](https://img1.dxycdn.com/p/s14/2025/0922/359/6146153295428599691.jpg!wh200)
![CMPK1 Antibody[43070]](https://img1.dxycdn.com/p/s14/2025/0922/568/0046652811090600791.jpg!wh200)
