相关产品推荐更多 >
万千商家帮你免费找货
0 人在求购买到急需产品
- 详细信息
- 文献和实验
- 技术资料
- 免疫原:
Synthetic phospho-peptide corresponding to residues surrounding Thr359 and Ser363 of human RSK1 p90
- 形态:
liquid
- 保存条件:
Store at -20˚C
- 克隆性:
Monoclonal
- 适应物种:
Human;Mouse;Rat
- 保质期:
12 months
- 抗原来源:
Recombinant Rabbit
- 供应商:
南京赛戈巍生物科技有限公司
- 宿主:
Recombinant Rabbit
- 应用范围:
WB;ICC/IF;IHC
- 靶点:
Uniprot:Q15418
- 抗体英文名:
RSK1 p90(Phospho-T359/S363) Rabbit mAb
- 规格:
50ul/100ul
dJ590P13.1 (ribosomal protein S6 kinase, 90kD, polypeptide 1 antibody
dJ590P13.1 antibody
EC 2.7.11.1 antibody
HU 1 antibody
HU1 antibody
KS6A1_HUMAN antibody
MAP kinase activated protein kinase 1a antibody
MAP kinase-activated protein kinase 1a antibody
MAPK-activated protein kinase 1a antibody
MAPKAP kinase 1a antibody
MAPKAPK-1a antibody
MAPKAPK1A antibody
MGC79981 antibody
Mitogen-activated protein kinase-activated protein kinase 1A antibody
OTTHUMP00000004113 antibody
p90 RSK1 antibody
p90-RSK 1 antibody
p90rsk antibody
p90RSK1 antibody
p90S6K antibody
pp90RSK1 antibody
Ribosomal protein S6 kinase 90kD 1 antibody
Ribosomal protein S6 kinase 90kD polypeptide 1 antibody
Ribosomal protein S6 kinase 90kDa polypeptide 1 antibody
Ribosomal protein S6 kinase alpha 1 antibody
Ribosomal protein S6 kinase alpha-1 antibody
Ribosomal protein S6 kinase polypeptide 1 antibody
Ribosomal S6 kinase 1 antibody
RPS6K1 alpha antibody
rps6ka antibody
Rps6ka1 antibody
RSK 1 antibody
RSK 1 p90 antibody
RSK antibody
RSK-1 antibody
RSK1 antibody
S6K alpha 1 antibody
S6K-alpha-1 antibody
计算分子量:83 kDa
配方:1*TBS (pH7.4), 1%BSA, 40%Glycerol. Preservative: 0.05% Sodium Azide.
应用详情:WB: 1:500-1:2000
ICC/IF: 1:50-1:200
IHC: 1:50-1:200
图片:

Western blot analysis of Phospho-RSK1 p90(T359+S363) on different lysates using anti-Phospho-RSK1 p90(T359+S363) antibody at 1/1,000 dilution. Positive control:
Lane 1: A431
Lane 2: 293
Lane 3: MCF-7
,

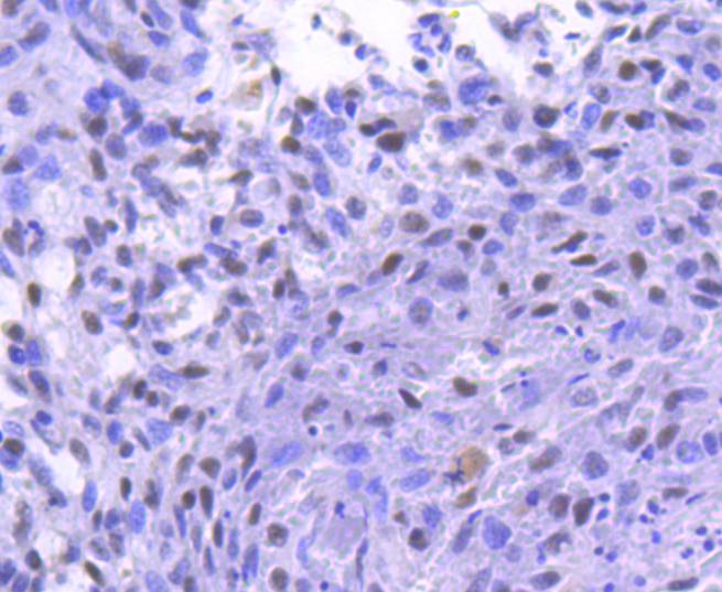
Immunohistochemical analysis of paraffin-embedded human breast carcinoma tissue using anti-Phospho-RSK1 p90(T359+S363) antibody. Counter stained with hematoxylin.
,

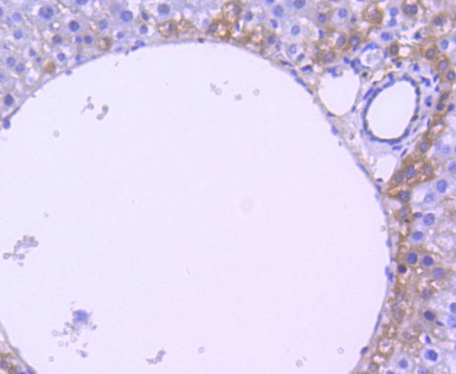
Immunohistochemical analysis of paraffin-embedded mouse liver tissue using anti-Phospho-RSK1 p90(T359+S363) antibody. Counter stained with hematoxylin.
,

ICC staining Phospho-RSK1 p90(T359+S363) in A431 cells (green). The nuclear counter stain is DAPI (blue). Cells were fixed in paraformaldehyde, permeabilised with 0.25% Triton X100/PBS.
,

ICC staining Phospho-RSK1 p90(T359+S363) in HepG2 cells (green). The nuclear counter stain is DAPI (blue). Cells were fixed in paraformaldehyde, permeabilised with 0.25% Triton X100/PBS.
,

ICC staining Phospho-RSK1 p90(T359+S363) in 293 cells (green). The nuclear counter stain is DAPI (blue). Cells were fixed in paraformaldehyde, permeabilised with 0.25% Triton X100/PBS.
风险提示:丁香通仅作为第三方平台,为商家信息发布提供平台空间。用户咨询产品时请注意保护个人信息及财产安全,合理判断,谨慎选购商品,商家和用户对交易行为负责。对于医疗器械类产品,请先查证核实企业经营资质和医疗器械产品注册证情况。
文献和实验:使用 Anti-phospho-Akt (Ser473) Rabbit mAb 对石蜡包埋的人乳腺癌组织进行免疫组织化学分析。(图 A)使用免疫组化试剂盒M&R HRP/DAB Detection IHC Kit,抗体 1:100 稀释;(图 B) 采用普通免疫组化试剂盒,抗体 1:25 稀释。 图 6 免疫组化实验检测 Erk1/2 表达 注:使用 Anti-Erk1/2 Mouse mAb与p44/42 MAPK (Erk1/2)Rabbit mAb 对正常小鼠心脏组织进行免疫
david9931 请问各位大侠,有没有订做过磷酸化的丝氨酸或磷酸化的苏氨酸抗体,哪家公司做的比较好,小弟想订做目的蛋白特异位点的丝氨酸、苏氨酸的磷酸化的抗体,帮忙给指点下,多谢啦 euthor_hsu 这种抗体定做很难。毕竟要的是抗一个特异的氨基酸的磷酸化位点。 就我所知cisbio有anti-phosphothronine 和anti-phosphotyrosine的抗体,PAb和MAb都有,但是没有anti
。所以,我们建议使用微波炉或高压锅加热煮沸以达到最佳抗原修复效果。抗体:Phospho–Stat3 (Tyr705)(D3A7) XP. Rabbit mAb #9145样本:石蜡包埋人类肺部肿瘤样本煮沸设备:浴锅 (左),微波炉 (中),高压锅 (右)免疫染色—封闭在 IHC–P 中,我们建议在室温下在含有 Tween20 的 TBST 缓冲液和 5% 正常山羊血清 (NGS) 中封闭样品,时长 1 小时,以防止非特异性背景染色。在进行 IHC–F 时,在含有 0.3% Triton. X–100 的 1X
技术资料暂无技术资料 索取技术资料





![FOXK1 Antibody[43090]](https://img1.dxycdn.com/p/s14/2025/0922/568/0046652811090600791.jpg!wh200)
![TBX3 Rabbit Polyclonal Antibody[54832]](https://img1.dxycdn.com/p/s14/2025/0922/498/0460884283108299691.jpg!wh200)
![PPP1R15A Conjugated Antibody[C43273]](https://img1.dxycdn.com/p/s14/2025/0923/278/4431488150116040791.jpg!wh200)


