相关产品推荐更多 >
万千商家帮你免费找货
0 人在求购买到急需产品
- 详细信息
- 文献和实验
- 技术资料
- 免疫原:
Synthetic phospho-peptide corresponding to residues surrounding Tyr1007 and 1008 of human JAK2.
- 形态:
liquid
- 保存条件:
Store at -20˚C
- 克隆性:
Monoclonal
- 适应物种:
Human;Mouse;Rat
- 保质期:
12 months
- 抗原来源:
Recombinant Rabbit
- 供应商:
南京赛戈巍生物科技有限公司
- 宿主:
Recombinant Rabbit
- 应用范围:
WB;ICC/IF;IHC
- 靶点:
Uniprot:O60674
- 抗体英文名:
JAK2(Phospho-Tyr1007/1008) Rabbit mAb
- 规格:
50ul/100ul
JAK-2 antibody
JAK2 antibody
JAK2_HUMAN antibody
Janus Activating Kinase 2 antibody
Janus kinase 2 (a protein tyrosine kinase) antibody
Janus kinase 2 antibody
JTK 10 antibody
JTK10 antibody
kinase Jak2 antibody
OTTHUMP00000043260 antibody
THCYT3 antibody
Tyrosine protein kinase JAK2 antibody
Tyrosine-protein kinase JAK2 antibody
计算分子量:130 kDa
配方:1*TBS (pH7.4), 1%BSA, 40%Glycerol. Preservative: 0.05% Sodium Azide.
应用详情:WB: 1:500-1:2000
ICC/IF: 1:50-1:200
IHC: 1:50-1:200
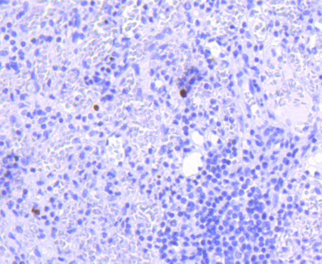
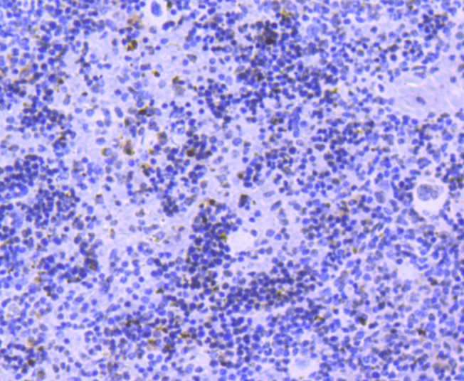
图片:

Immunohistochemical analysis of paraffin-embedded human spleen tissue using anti-Phospho-JAK2(Y1007+Y1008) antibody. Counter stained with hematoxylin.
,

Immunohistochemical analysis of paraffin-embedded mouse spleen tissue using anti-Phospho-JAK2(Y1007+Y1008) antibody. Counter stained with hematoxylin.
,

Immunohistochemical analysis of paraffin-embedded human tonsil tissue using anti-Phospho-JAK2(Y1007+Y1008) antibody. Counter stained with hematoxylin.
,

ICC staining Phospho-JAK2(Y1007+Y1008) in Hela cells (green). The nuclear counter stain is DAPI (blue). Cells were fixed in paraformaldehyde, permeabilised with 0.25% Triton X100/PBS.
,

Western blot analysis of JAK2 phosphorylation expression in Jurkat cell lysates treated with Pervanadate.
风险提示:丁香通仅作为第三方平台,为商家信息发布提供平台空间。用户咨询产品时请注意保护个人信息及财产安全,合理判断,谨慎选购商品,商家和用户对交易行为负责。对于医疗器械类产品,请先查证核实企业经营资质和医疗器械产品注册证情况。
文献和实验:使用 Anti-phospho-Akt (Ser473) Rabbit mAb 对石蜡包埋的人乳腺癌组织进行免疫组织化学分析。(图 A)使用免疫组化试剂盒M&R HRP/DAB Detection IHC Kit,抗体 1:100 稀释;(图 B) 采用普通免疫组化试剂盒,抗体 1:25 稀释。 图 6 免疫组化实验检测 Erk1/2 表达 注:使用 Anti-Erk1/2 Mouse mAb与p44/42 MAPK (Erk1/2)Rabbit mAb 对正常小鼠心脏组织进行免疫
used in accordance withmanufacturer recommendationsSignalStain?DAB Substrate Kit #8059:IHC analysis of paraffin-embedded human breastcarcinoma using Phospho-Stat3 (Tyr705) (D3A7) XP? Rabbit mAb #9145. Chromogenicdetection was performed using #8059 (left
利用 Millicell 培养小室培养皮肤及肺类器官的实验方案
2011. Alternative (non-animal) methods for cosmetics testing: current status and future prospects?2010. Arch Toxicol. 85(5):367-485. http://dx.doi.org/10.1007/s00204-011-0693-2 2.Abd E, Yousuf S, Pastore M, Telaprolu K, Mohammed Y, Namjoshi S, Grice J,
技术资料暂无技术资料 索取技术资料






![CYP46A1 Rabbit Polyclonal Antibody[55547]](https://img1.dxycdn.com/p/s14/2025/0922/498/0460884283108299691.jpg!wh200)
![ZAP70 Mouse mAb[64423]](https://img1.dxycdn.com/p/s14/2025/0922/632/2321321568067599691.jpg!wh200)

