相关产品推荐更多 >
万千商家帮你免费找货
0 人在求购买到急需产品
- 详细信息
- 文献和实验
- 技术资料
- 免疫原:
Synthetic phospho-peptide corresponding to residues surrounding Thr17 of human H1.4.
- 形态:
liquid
- 保存条件:
Store at -20˚C
- 克隆性:
Monoclonal
- 适应物种:
Human;Mouse;Rat
- 保质期:
12 months
- 抗原来源:
Recombinant Rabbit
- 供应商:
南京赛戈巍生物科技有限公司
- 宿主:
Recombinant Rabbit
- 应用范围:
WB;ICC/IF;IHC
- 靶点:
Uniprot:P10412
- 抗体英文名:
Histone H1.3/Histone H1.4(Phospho-Thr17) Rabbit mAb
- 规格:
50ul/100ul
Histone H1c
Histone H1s-2
HIST1H1DH1F3
Histone H1.4
Histone H1b
Histone H1s-4
HIST1H1EH1F4
计算分子量:22 kDa
配方:1*TBS (pH7.4), 1%BSA, 40%Glycerol. Preservative: 0.05% Sodium Azide.
应用详情:WB: 1:500-1:2000
ICC/IF: 1:50-1:200
IHC: 1:50-1:200
图片:

Western blot analysis of Phospho-Histone H1.3(T17)+Histone H1.4(T17) on CRC cell lysates using anti-Phospho-Histone H1.3(T17)+Histone H1.4(T17) antibody at 1/500 dilution.
Positive control:Lane 1: Untreated CRC whole cell lysates Lane2: CRC cells treated with 1.5ug/ml Colcemid for 12 hours whole cell lysates
,

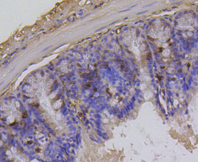
Immunohistochemical analysis of paraffin-embedded human colon cancer tissue using anti-Phospho-Histone H1.3(T17)+Histone H1.4(T17) antibody. Counter stained with hematoxylin.
,

Immunohistochemical analysis of paraffin-embedded mouse colon cancer tissue using anti-Phospho-Histone H1.3(T17)+Histone H1.4(T17) antibody. Counter stained with hematoxylin.
,

ICC staining Phospho-Histone H1.3(T17)+Histone H1.4(T17) in NIH/3T3 cells (green). The nuclear counter stain is DAPI (blue). Cells were fixed in paraformaldehyde, permeabilised with 0.25% Triton X100/PBS.
,

ICC staining Phospho-Histone H1.3(T17)+Histone H1.4(T17) in CRC cells (green). Cells were fixed in paraformaldehyde, permeabilised with 0.25% Triton X100/PBS.
风险提示:丁香通仅作为第三方平台,为商家信息发布提供平台空间。用户咨询产品时请注意保护个人信息及财产安全,合理判断,谨慎选购商品,商家和用户对交易行为负责。对于医疗器械类产品,请先查证核实企业经营资质和医疗器械产品注册证情况。
文献和实验Histone Assay Solution (10 rxns) Amount [Final] Histone Wash Buffer 320 µL - Histone H1, 2 µg/µL 18 µl 0.1 µg/µL
octamers can be purified from native sources (Thomas & Butler, 1977) or assembled from recombinant histones (Luger et al, 1999). The latter method allows the incorporation of modified histones, or histone variants. Linker histones H1 and H5 isolated
T cells and is important in cytotoxic T cell induced apoptosis, activating caspase independent pathways. Once in a cell, Granzyme A activates DNA nicking by the recently identified DNAse NM23-H1, a tumor suppressor gene product whose expression
技术资料暂无技术资料 索取技术资料





![FCGRT Mouse mAb[63625]](https://img1.dxycdn.com/p/s14/2025/0922/632/2321321568067599691.jpg!wh200)
![ACTIN Conjugated Antibody[C35537]](https://img1.dxycdn.com/p/s14/2025/0923/278/4431488150116040791.jpg!wh200)
![K63-linkage Specific Polyubiquitin pAb[30340]](https://img1.dxycdn.com/p/s14/2025/0923/305/2150219664296040791.jpg!wh200)
![Na+ CP type IXα Polyclonal Antibody[41200]](https://img1.dxycdn.com/p/s14/2025/0922/568/0046652811090600791.jpg!wh200)
![Hepassocin Polyclonal Antibody[44099]](https://img1.dxycdn.com/p/s14/2025/0922/498/0460884283108299691.jpg!wh200)

