相关产品推荐更多 >
万千商家帮你免费找货
0 人在求购买到急需产品
- 详细信息
- 文献和实验
- 技术资料
- 免疫原:
recombinant protein
- 形态:
liquid
- 保存条件:
Store at -20˚C
- 克隆性:
Monoclonal antibody
- 适应物种:
Human;Rat
- 保质期:
12 months
- 抗原来源:
Recombinant Rabbit
- 供应商:
南京赛戈巍生物科技有限公司
- 宿主:
Recombinant Rabbit
- 应用范围:
WB, ICC/IF, IHC, IP, FC
- 靶点:
Uniprot:P35900
- 抗体英文名:
Cytokeratin 20 Rabbit mAb
- 规格:
50ul/100ul
CK 20 antibody
CK-20 antibody
CK20 antibody
Cytokeratin-20 antibody
Cytokeratin20 antibody
K1C20_HUMAN antibody
K20 antibody
KA20 antibody
Keratin 20 antibody
keratin 20, type I antibody
keratin 21, rat, homolog of antibody
Keratin antibody
Keratin type I cytoskeletal 20 antibody
Keratin-20 antibody
Keratin20 antibody
KRT 20 antibody
KRT 21 antibody
KRT20 antibody
KRT21 antibody
MGC35423 antibody
OTTHUMP00000164518 antibody
Protein IT antibody
type I cytoskeletal 20 antibody
计算分子量:44 kDa
配方:1*TBS (pH7.4), 1%BSA, 40%Glycerol. Preservative: 0.05% Sodium Azide.
应用详情:WB: 1:1,000-5,000
IHC: 1:50-1:200
ICC: 1:50-1:200
FC: 1:10-1:100
图片:

Western blot analysis of Cytokeratin 20 on different cell lysates using anti-Cytokeratin 20 antibody at 1/1,000 dilution. Positive control:
Lane 1: Lovo
Lane 2: HCT116
Lane 3: CRC
,

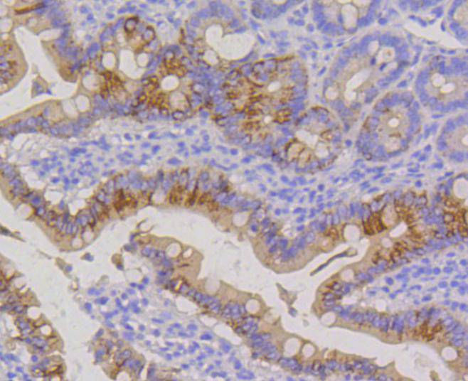
Immunohistochemical analysis of paraffin-embedded rat small intestine tissue using anti-Cytokeratin 20 antibody. Counter stained with hematoxylin.
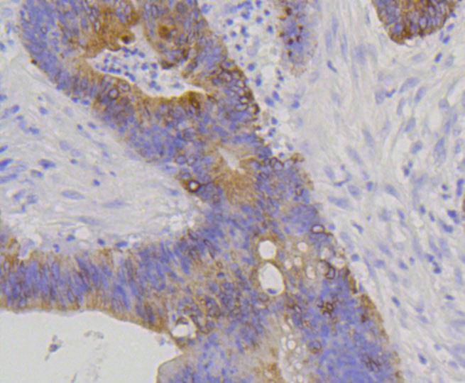
,

Immunohistochemical analysis of paraffin-embedded human colon cancer tissue using anti-Cytokeratin 20 antibody. Counter stained with hematoxylin.
,

ICC staining Cytokeratin 20 in CRC cells (green). The nuclear counter stain is DAPI (blue). Cells were fixed in paraformaldehyde, permeabilised with 0.25% Triton X100/PBS.
,

Flow cytometric analysis of CRC cells with Cytokeratin 20 antibody at 1/50 dilution (blue) compared with an unlabelled control (cells without incubation with primary antibody; red). Alexa Fluor 488-conjugated goat anti rabbit IgG was used as the secondary antibody.
风险提示:丁香通仅作为第三方平台,为商家信息发布提供平台空间。用户咨询产品时请注意保护个人信息及财产安全,合理判断,谨慎选购商品,商家和用户对交易行为负责。对于医疗器械类产品,请先查证核实企业经营资质和医疗器械产品注册证情况。
文献和实验mlAdd 40 g ammonium sulfate for every 100 ml Sup. (slowly):800gStir O/N in cold room.Pour into plastic bottles. Spin at 4 ℃, 7,500 rpm for 20 min in JA-10 rotor.Prepare 4L 100 mM Tris/pH7.8 (400 ml of 1 M stock/4 L) or Binding buffer.Discard Sup. Resuspend
Purification of mAb (IgG) by Chang-Duk Jun, 03/14/2000 Purpose Materials Antibody 7E3 , 2L sup grown in flasks, frozen and thawed overnight. BioRad Affi-Gel Protein A MAPS II Buffers
T-Cell Activation Using mAb to CD3
2 hours to coat antibody to flask or plate 20 minutes preparation of spleen single cell suspension 20 minutes to set up the assay 2-4 days incubation Method Antibody Coating of the Assay Plate Microwells: Prepare a 5-10
技术资料暂无技术资料 索取技术资料





![C-reactive protein Polyclonal Antibody[42449]](https://img1.dxycdn.com/p/s14/2025/0922/568/0046652811090600791.jpg!wh200)
![JMJD6 Conjugated Antibody[C33079]](https://img1.dxycdn.com/p/s14/2025/0923/278/4431488150116040791.jpg!wh200)

![Axin 2 Rabbit mAb[52167]](https://img1.dxycdn.com/p/s14/2025/0922/498/0460884283108299691.jpg!wh200)
