相关产品推荐更多 >
万千商家帮你免费找货
0 人在求购买到急需产品
- 详细信息
- 文献和实验
- 技术资料
- 免疫原:
recombinant protein
- 形态:
liquid
- 保存条件:
Store at -20˚C
- 克隆性:
Monoclonal antibody
- 适应物种:
Human;Mouse
- 保质期:
12 months
- 抗原来源:
Recombinant Rabbit
- 供应商:
南京赛戈巍生物科技有限公司
- 宿主:
Recombinant Rabbit
- 应用范围:
WB, ICC/IF, IHC, FC
- 靶点:
Uniprot:P08727
- 抗体英文名:
Cytokeratin 19 Rabbit mAb
- 规格:
50ul/100ul
CK 19 antibody
CK-19 antibody
CK19 antibody
Cytokeratin 19 antibody
Cytokeratin-19 antibody
K19 antibody
K1C19_HUMAN antibody
K1CS antibody
Keratin 19 antibody
Keratin type I 40 kD antibody
Keratin type I 40kD antibody
Keratin type I cytoskeletal 19 antibody
Keratin, type I cytoskeletal 19 antibody
Keratin, type I, 40 kd antibody
Keratin-19 antibody
KRT19 antibody
MGC15366 antibody
计算分子量:40 kDa
配方:1*TBS (pH7.4), 1%BSA, 40%Glycerol. Preservative: 0.05% Sodium Azide.
应用详情:WB: 1:5,000-1:10,000
IHC: 1:50-1:200
ICC: 1:50-1:200
FC: 1:10-1:100
图片:

Western blot analysis of Cytokeratin 19 on MCF-7 cell lysates using anti- Cytokeratin 19 antibody at 1/10,000 dilution.
,

Immunohistochemical analysis of paraffin-embedded human liver tissue using anti-Cytokeratin 19 antibody. Counter stained with hematoxylin.
,

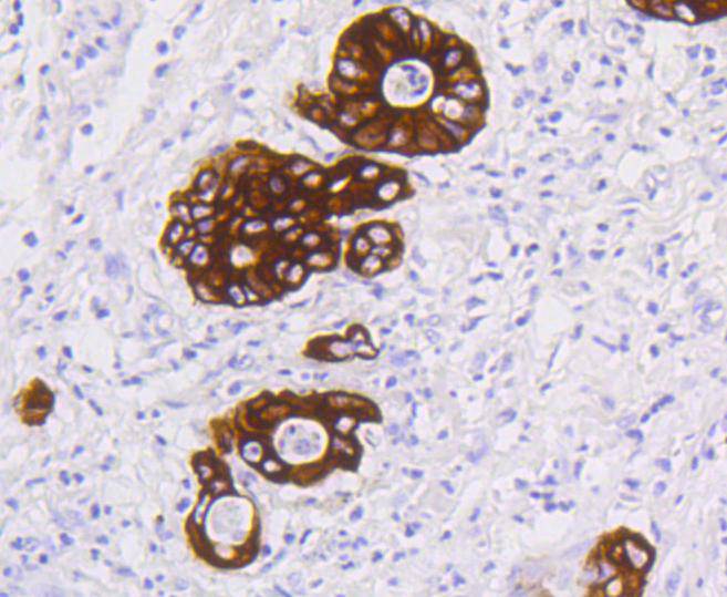
Immunohistochemical analysis of paraffin-embedded human breast carcinoma tissue using anti-Cytokeratin 19 antibody. Counter stained with hematoxylin.
,

Immunohistochemical analysis of paraffin-embedded human stomach carcinoma tissue using anti-Cytokeratin 19 antibody. Counter stained with hematoxylin.
,

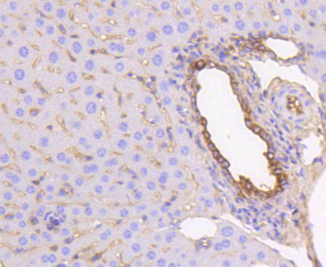
Immunohistochemical analysis of paraffin-embedded mouse liver tissue using anti-Cytokeratin 19 antibody. Counter stained with hematoxylin.
,

ICC staining Cytokeratin 19 in Ags cells (green). The nuclear counter stain is DAPI (blue). Cells were fixed in paraformaldehyde, permeabilised with 0.25% Triton X100/PBS.
,

Flow cytometric analysis of MCF-7 cells with Cytokeratin 19 antibody at 1/50 dilution (blue) compared with an unlabelled control (cells without incubation with primary antibody; red). Alexa Fluor 488-conjugated goat anti-rabbit IgG was used as the secondary antibody.
风险提示:丁香通仅作为第三方平台,为商家信息发布提供平台空间。用户咨询产品时请注意保护个人信息及财产安全,合理判断,谨慎选购商品,商家和用户对交易行为负责。对于医疗器械类产品,请先查证核实企业经营资质和医疗器械产品注册证情况。
文献和实验家兔(Rabbit,Oryctolagus curiculus)
家兔(Rabbit,Oryctolagus curiculus) 一、生物学特性和解剖生理特点 1.家兔属于哺乳纲、啮齿目、兔科、草食性哺乳动性。 2.家兔体小力弱、胆小怕惊、怕热、怕潮,喜欢安静、清洁、干燥、凉爽的环境,不能忍受污秽的条件。 3.是食草类(Herbivorous)单胃动物。饲养原则是以青粗食米为主,精饲料为辅。喜欢独居,白天活动少,都处于假眠或休息状态,夜间活动大,吃食多。有啃木、扒土的习惯
:使用 Anti-phospho-Akt (Ser473) Rabbit mAb 对石蜡包埋的人乳腺癌组织进行免疫组织化学分析。(图 A)使用免疫组化试剂盒M&R HRP/DAB Detection IHC Kit,抗体 1:100 稀释;(图 B) 采用普通免疫组化试剂盒,抗体 1:25 稀释。 图 6 免疫组化实验检测 Erk1/2 表达 注:使用 Anti-Erk1/2 Mouse mAb与p44/42 MAPK (Erk1/2)Rabbit mAb 对正常小鼠心脏组织进行免疫
家兔(Rabbit,Oryctolagus curiculus)--生物学特性和解剖生理特点
网络 第五节 家兔(Rabbit,Oryctolagus curiculus) 一、生物学特性和解剖生理特点 1.家兔属于哺乳纲、啮齿目、兔科、草食性哺乳动性。 2.家兔体小力弱、胆小怕惊、怕热、怕潮,喜欢安静、清洁、干燥、凉爽的环境,不能忍受污秽的条件。 3.是食草类(Herbivorous)单胃动物。饲养原则是以青粗食米为主
技术资料暂无技术资料 索取技术资料





![CD20 Polyclonal Antibody[41947]](https://img1.dxycdn.com/p/s14/2025/0922/568/0046652811090600791.jpg!wh200)
![SH3GL2 Conjugated Antibody[C32985]](https://img1.dxycdn.com/p/s14/2025/0923/278/4431488150116040791.jpg!wh200)
![CGRP-I/II Polyclonal Antibody Biotin Conjugated[C90317Bio]](https://img1.dxycdn.com/p/s14/2025/0922/498/0460884283108299691.jpg!wh200)
![TNFR1 Antibody[48344]](https://img1.dxycdn.com/p/s14/2025/0923/496/0462304380155040791.jpg!wh200)
