相关产品推荐更多 >
万千商家帮你免费找货
0 人在求购买到急需产品
- 详细信息
- 文献和实验
- 技术资料
- 免疫原:
recombinant protein
- 形态:
liquid
- 保存条件:
Store at -20˚C
- 克隆性:
Monoclonal antibody
- 适应物种:
Human;Mouse;Rat
- 保质期:
12 months
- 抗原来源:
Recombinant Rabbit
- 供应商:
南京赛戈巍生物科技有限公司
- 宿主:
Recombinant Rabbit
- 应用范围:
WB, ICC/IF, IHC, IP
- 靶点:
Uniprot:P24385
- 抗体英文名:
Cyclin D1 Rabbit mAb
- 规格:
50ul/100ul
B cell CLL/lymphoma 1 antibody
B cell leukemia 1 antibody
B cell lymphoma 1 protein antibody
B-cell lymphoma 1 protein antibody
BCL 1 antibody
BCL-1 antibody
BCL-1 oncogene antibody
BCL1 antibody
BCL1 oncogene antibody
ccnd1 antibody
CCND1/FSTL3 fusion gene, included antibody
CCND1/IGHG1 fusion gene, included antibody
CCND1/IGLC1 fusion gene, included antibody
CCND1/PTH fusion gene, included antibody
CCND1_HUMAN antibody
cD1 antibody
Cyl 1 antibody
D11S287E antibody
G1/S specific cyclin D1 antibody
G1/S-specific cyclin-D1 antibody
Parathyroid adenomatosis 1 antibody
PRAD1 antibody
PRAD1 oncogene antibody
U21B31 antibody
计算分子量:34 kDa
配方:1*TBS (pH7.4), 1%BSA, 40%Glycerol. Preservative: 0.05% Sodium Azide.
应用详情:WB: 1:1,000-5,000
IHC: 1:50-1:200
ICC: 1:50-1:200
图片:

Western blot analysis of Cyclin D1 on different lysates using anti-Cyclin D1 antibody at 1/1,000 dilution. Positive control:
Lane 1: Hela
Lane 2: PC-12
Lane 3: SH-SY-5Y
,

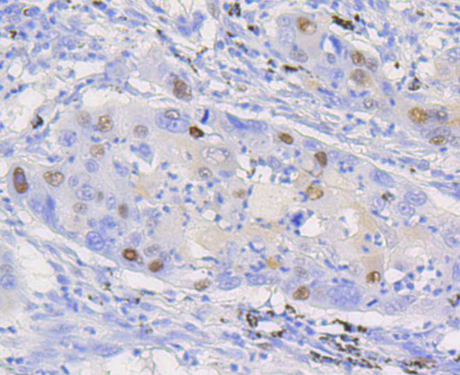
Immunohistochemical analysis of paraffin-embedded human lung carcinoma tissue using anti-Cyclin D1 antibody. Counter stained with hematoxylin.
,

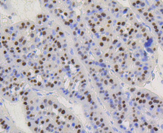
Immunohistochemical analysis of paraffin-embedded human liver carcinoma tissue using anti-Cyclin D1 antibody. Counter stained with hematoxylin.
,

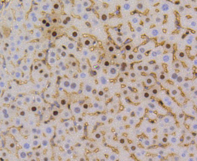
Immunohistochemical analysis of paraffin-embedded mouse liver tissue using anti-Cyclin D1 antibody. Counter stained with hematoxylin.
,

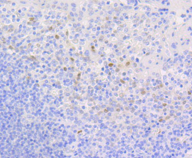
Immunohistochemical analysis of paraffin-embedded human tonsil tissue using anti-Cyclin D1 antibody. Counter stained with hematoxylin.
,

ICC staining Cyclin D1 in PC-12 cells (green). The nuclear counter stain is DAPI (blue). Cells were fixed in paraformaldehyde, permeabilised with 0.25% Triton X100/PBS.
,

ICC staining Cyclin D1 in N2A cells (green). The nuclear counter stain is DAPI (blue). Cells were fixed in paraformaldehyde, permeabilised with 0.25% Triton X100/PBS.
风险提示:丁香通仅作为第三方平台,为商家信息发布提供平台空间。用户咨询产品时请注意保护个人信息及财产安全,合理判断,谨慎选购商品,商家和用户对交易行为负责。对于医疗器械类产品,请先查证核实企业经营资质和医疗器械产品注册证情况。
文献和实验Immunodetection of cyclin D1 and D2/D3 using flow cytometry
. It has been tested with antibodies against cyclin D1 (Pharmingen cat. no. 14561A, clone G12-4326), cyclin D2/D3 (cat. no. 14711A, clone G107-22) and cyclin E Procedure Prepare the cell type of interest as a single cell suspension and wash once with cold PBS
Disorders of the cell cycle regulatory machinery play a key role in the pathogenesis of cancer. The gene encoding the cyclin D1 protein, a regulator of the progression from the G1- to S-phase, is often found disrupted in the cancer cell
Immunodetection of cyclin D1 and D2/D3 using 488/630 nm dual laser flow cytometr(图)
. It has been tested with antibodies against cyclin D1 (Pharmingen cat. no. 14561A, clone G12-4326), cyclin D2/D3 (cat. no. 14711A, clone G107-22) and cyclin E, and is based on protocols originally designed by Z. Darzynkiewicz and colleagues. Although FITC-conjugated
技术资料暂无技术资料 索取技术资料





![MRPL37 Rabbit Polyclonal Antibody[54878]](https://img1.dxycdn.com/p/s14/2025/0922/498/0460884283108299691.jpg!wh200)
![MNX1 Antibody[45159]](https://img1.dxycdn.com/p/s14/2025/0922/568/0046652811090600791.jpg!wh200)
![Tafazzin / TAZ Polyclonal Antibody[27762]](https://img1.dxycdn.com/p/s14/2025/0923/305/2150219664296040791.jpg!wh200)

