相关产品推荐更多 >
万千商家帮你免费找货
0 人在求购买到急需产品
- 详细信息
- 文献和实验
- 技术资料
- 免疫原:
recombinant protein
- 形态:
liquid
- 保存条件:
Store at -20˚C
- 克隆性:
Monoclonal
- 适应物种:
Human;Mouse;Rat
- 保质期:
12 months
- 抗原来源:
Recombinant Rabbit
- 供应商:
南京赛戈巍生物科技有限公司
- 宿主:
Recombinant Rabbit
- 应用范围:
WB, ICC/IF, IHC
- 靶点:
Uniprot:P68431
- 抗体英文名:
Histone H3(mono methyl K18) Rabbit mAb
- 规格:
50ul/100ul
Histone gene cluster 1, H3 histone family, member E antibody
Histone gene cluster 1, H3G antibody
H3 histone family, member J antibody
HIST1 cluster, H3E antibody
HIST1 cluster, H3I antibody
Histone gene cluster 1, H3C antibody
FLJ92264 antibody
H3 histone family, member A antibody
H3 histone family, member B antibody
H3 histone family, member C antibody
H3 histone family, member D antibody
H3 histone family, member F antibody
H3 histone family, member H antibody
H3 histone family, member I antibody
H3 histone family, member K antibody
H3 histone family, member L antibody
H3 histone family, member T antibody
H3 histone, family 3A antibody
H3.1 antibody
H3.3A antibody
H3/a antibody
H3/b antibody
H3/c antibody
H3/d antibody
h3/f antibody
H3/h antibody
H3/i antibody
H3/j antibody
H3/k antibody
H3/l antibody
H3/t antibody
H31_HUMAN antibody
H3F1K antibody
H3F3 antibody
H3F3A antibody
H3FA antibody
H3FB antibody
H3FC antibody
H3FD antibody
H3FF antibody
H3FH antibody
H3FI antibody
H3FJ antibody
H3FK antibody
H3FL antibody
HIST1 cluster, H3A antibody
HIST1 cluster, H3B antibody
HIST1 cluster, H3C antibody
HIST1 cluster, H3D antibody
HIST1 cluster, H3F antibody
HIST1 cluster, H3G antibody
HIST1 cluster, H3H antibody
HIST1H3A antibody
HIST1H3B antibody
HIST1H3C antibody
HIST1H3D antibody
HIST1H3E antibody
HIST1H3F antibody
HIST1H3G antibody
HIST1H3H antibody
HIST1H3I antibody
HIST1H3J antibody
HIST3H3 antibody
Histone 1, H3a antibody
Histone 1, H3b antibody
Histone 1, H3c antibody
Histone 1, H3d antibody
Histone 1, H3e antibody
Histone 1, H3f antibody
Histone 1, H3g antibody
Histone 1, H3h antibody
Histone 1, H3i antibody
Histone 1, H3j antibody
histone 3, H3 antibody
histone cluster 1 H3 family member a antibody
histone cluster 1 H3 family member b antibody
histone cluster 1 H3 family member c antibody
histone cluster 1 H3 family member d antibody
histone cluster 1 H3 family member e antibody
histone cluster 1 H3 family member f antibody
histone cluster 1 H3 family member g antibody
histone cluster 1 H3 family member h antibody
histone cluster 1 H3 family member i antibody
histone cluster 1 H3 family member j antibody
Histone cluster 1, H3a antibody
Histone cluster 1, H3b antibody
Histone cluster 1, H3c antibody
Histone cluster 1, H3d antibody
Histone cluster 1, H3e antibody
Histone cluster 1, H3f antibody
Histone cluster 1, H3g antibody
Histone cluster 1, H3i antibody
Histone cluster 1, H3j antibody
Histone gene cluster 1, H3 histone family, member A antibody
Histone gene cluster 1, H3 histone family, member B antibody
Histone gene cluster 1, H3 histone family, member C antibody
Histone gene cluster 1, H3 histone family, member D antibody
Histone gene cluster 1, H3 histone family, member F antibody
Histone gene cluster 1, H3 histone family, member G antibody
Histone gene cluster 1, H3 histone family, member H antibody
Histone gene cluster 1, H3 histone family, member I antibody
Histone gene cluster 1, H3 histone family, member J antibody
Histone gene cluster 1, H3A antibody
Histone gene cluster 1, H3B antibody
Histone gene cluster 1, H3D antibody
Histone gene cluster 1, H3E antibody
Histone gene cluster 1, H3F antibody
Histone gene cluster 1, H3H antibody
Histone gene cluster 1, H3I antibody
Histone gene cluster 1, H3J antibody
Histone H 3 antibody
Histone H3.1 antibody
histone H3.1t antibody
Histone H3.2 antibody
Histone H3/a antibody
Histone H3/b antibody
Histone H3/c antibody
Histone H3/d antibody
Histone H3/f antibody
Histone H3/h antibody
Histone H3/i antibody
Histone H3/j antibody
Histone H3/k antibody
Histone H3/l antibody
Histone H3/m antibody
Histone H3/o antibody
计算分子量:15 kDa
配方:1*TBS (pH7.4), 1%BSA, 40%Glycerol. Preservative: 0.05% Sodium Azide.
应用详情:
WB: 1:1,000-5,000
IHC: 1:50-1:200
ICC: 1:50-1:200
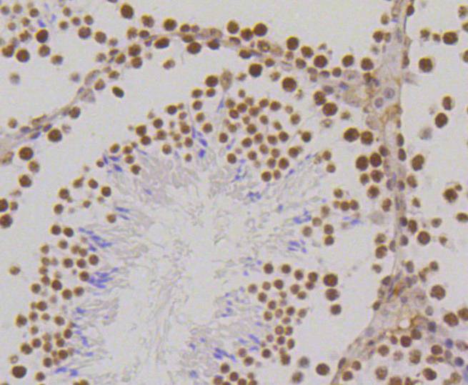
图片:

HW218
,

HW218
,

HW218
,

HW218
,

HW218
风险提示:丁香通仅作为第三方平台,为商家信息发布提供平台空间。用户咨询产品时请注意保护个人信息及财产安全,合理判断,谨慎选购商品,商家和用户对交易行为负责。对于医疗器械类产品,请先查证核实企业经营资质和医疗器械产品注册证情况。
文献和实验Installation of Site‐Specific Methylation into Histones Using Methyl Lysine Analogs
aminoethylcysteine, an isosteric analog of methyl lysine. Using different alkylating reagents, it is possible to install analogs of mono?, di?, or trimethyl lysine. While these analogs are not identical to methyl lysine residues, they show similar biochemical
Methods for Analyzing Histone Citrullination in Chromatin Structure and Gene Regulation
4, also called PADI4), which converts both histone arginine (Arg) and mono-methyl arginine residues to citrulline. Recent studies have found that histone citrullination counteracts the effect of histone arginine methylation and functions as a repressive marker to turn
Competing Chromosomal Proteins from Drosophila Polytene Chromosomes Using Modified Histone Peptides
to chromatin, by its histone tail interaction or by other interactions, then you would not expect to see loss of binding upon peptide competition. A good positive control for the assay is to use H3K9 dimethylated peptide to compete HP1 from the pericentric
技术资料暂无技术资料 索取技术资料





![PLCB4 Antibody[44841]](https://img1.dxycdn.com/p/s14/2025/0922/568/0046652811090600791.jpg!wh200)
![CDC45 Conjugated Antibody[C49284]](https://img1.dxycdn.com/p/s14/2025/0923/305/2150219664296040791.jpg!wh200)
![Phospho-E Cadherin (Ser838/Ser840) Rabbit mAb[52693]](https://img1.dxycdn.com/p/s14/2025/0922/498/0460884283108299691.jpg!wh200)
![IL21R Conjugated Antibody[C35607]](https://img1.dxycdn.com/p/s14/2025/0923/278/4431488150116040791.jpg!wh200)


