相关产品推荐更多 >
万千商家帮你免费找货
0 人在求购买到急需产品
- 详细信息
- 文献和实验
- 技术资料
- 免疫原:
A short amino acid sequence containing phosphorylated Ser 52 of eIF2α of human origin.
- 形态:
liquid
- 保存条件:
Store at -20˚C
- 适应物种:
Human;Mouse;Rat
- 保质期:
12 months
- 供应商:
南京赛戈巍生物科技有限公司
- 应用范围:
WB, IP, IF, IHC(P)
- 靶点:
Uniprot:P05198
- 抗体英文名:
eIF-2a (Phospho-Ser 52) Antibody
- 规格:
50ul/100ul
EIF 2 antibody
EIF 2A antibody
EIF 2alpha antibody
eIF-2-alpha antibody
eIF-2A antibody
EIF-2alpha antibody
EIF2 alpha antibody
EIF2 antibody
EIF2A antibody
EIF2S1 antibody
Eukaryotic translation initiation factor 2 subunit 1 alpha 35kDa antibody
Eukaryotic translation initiation factor 2 subunit 1 alpha antibody
Eukaryotic translation initiation factor 2 subunit 1 antibody
Eukaryotic translation initiation factor 2 subunit alpha antibody
IF2A_HUMAN antibody
计算分子量:36 kDa
配方:1*TBS (pH7.4), 1%BSA, 40%Glycerol. Preservative: 0.05% Sodium Azide.
应用详情:
WB: 1:100-1:1,000
IHC: 1:50-1:500
IP: 1-2 μg per 100-500 μg of total protein (1 ml of cell lysate)
图片:

Western blot analysis of eIF2α phosphorylation in untreated (A, C) and lambda protein phosphatase treated (B, D) HEK293 whole cell lysates. Antibodies tested include p-eIF2α (Ser 52)(A, B) and eIF2α(C, D).
,

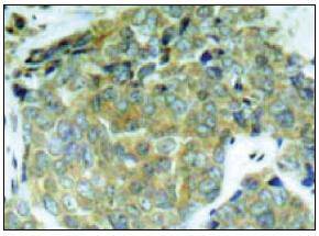
Immunoperoxidase staining of formalin-fixed, paraffin-embedded human breast carcinoma tissue showing cytoplasmic staining.
风险提示:丁香通仅作为第三方平台,为商家信息发布提供平台空间。用户咨询产品时请注意保护个人信息及财产安全,合理判断,谨慎选购商品,商家和用户对交易行为负责。对于医疗器械类产品,请先查证核实企业经营资质和医疗器械产品注册证情况。
文献和实验CD52 分子 常用单克隆抗体或代号: YTH66.9;(Campath- 1) 主要表达细胞: Leu,Eo [NL] 分子质量(kDa)和结构: gp25- 29 功 能: 补体介导溶解作用的靶分子 Aka Campath-1 CD52 antibodies are lytic for target cells, both with human complement and via antibody dependent cellular
Optimized Protocol to Make Phospho-Specific Antibodies that Work
, not simply its level of expression. In this review, we will discuss both the design of the phosphopeptide immunogen and immunization. The affinity purification of the phospho-specific antibody as well as the methods most suitable for characterizing
Using Phospho‐Motif Antibodies to Determine Kinase Substrates
comprising both the phosphorylated residue and the surrounding residues that determine kinase specificity, with degenerate residues taking up the remaining positions. Currently, several categories of phospho?motif antibody are commercially available
技术资料暂无技术资料 索取技术资料






![CLDN12 Conjugated Antibody[C43652]](https://img1.dxycdn.com/p/s14/2025/0923/305/2150219664296040791.jpg!wh200)
![BOD1 Conjugated Antibody[C37445]](https://img1.dxycdn.com/p/s14/2025/0923/278/4431488150116040791.jpg!wh200)

