相关产品推荐更多 >
万千商家帮你免费找货
0 人在求购买到急需产品
- 详细信息
- 文献和实验
- 技术资料
- 免疫原:
Conjugated Protein
- 形态:
liquid
- 保存条件:
Store at -20˚C
- 克隆性:
Monoclonal
- 保质期:
12 months
- 抗原来源:
Mouse
- 供应商:
南京赛戈巍生物科技有限公司
- 宿主:
Mouse
- 应用范围:
WB IHC
- 靶点:
Uniprot:P68431
- 抗体英文名:
Pan Methylated Lysine Monoclonal Antibody
- 规格:
50ul/100ul
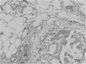
应用详情:
图片:

Immunohistochemical analysis of paraffin-embedded Human Breast Carcinoma using Pan Methylated Lysine Monoclonal Antibody.
,

Western blot analysis of Hela using Pan Methylated Lysine Monoclonal Antibody.
风险提示:丁香通仅作为第三方平台,为商家信息发布提供平台空间。用户咨询产品时请注意保护个人信息及财产安全,合理判断,谨慎选购商品,商家和用户对交易行为负责。对于医疗器械类产品,请先查证核实企业经营资质和医疗器械产品注册证情况。
文献和实验【求助】谁有兔抗Paxillin和鼠抗phorsphotyrosine
-Acetylated Lysine Antibody-FITC IBN4010 Acetyl-RhoGDI (K141) Antibody IBN4011 Acetyl-PPIA (K124) Antibody IBN4005 e-Methylated Lysine Antibody IBN4008 Pan e-Trimethylysine Antibody IBN4009 Pan e-Trimethylysine Antibody-FITC IBN4003
Competing Chromosomal Proteins from Drosophila Polytene Chromosomes Using Modified Histone Peptides
of binding". For this reason it is essential to include an internal control antibody for chromosome morphology and antibody access. For this internal control I use a mouse monoclonal anti-Modulo antibody (Perrin et al ., 1998; the antibody was obtained
Evaluation of Proliferation of Neural Stem Cells In Vitro and In Vivo
., and Stein, H. 1984. Cell cycle analysis of a cell proliferation‐associated human nuclear antigen defined by the monoclonal antibody Ki‐67. J. Immunol. 133:1710‐1715. Gheusi, G
技术资料暂无技术资料 索取技术资料





![ALDOA Mouse mAb[63050]](https://img1.dxycdn.com/p/s14/2025/0922/632/2321321568067599691.jpg!wh200)
![KBTBD8 Conjugated Antibody[C43486]](https://img1.dxycdn.com/p/s14/2025/0923/305/2150219664296040791.jpg!wh200)
![JKIP2 Conjugated Antibody[C34023]](https://img1.dxycdn.com/p/s14/2025/0923/278/4431488150116040791.jpg!wh200)
![beta-catenin (Phospho-Ser715) Antibody[11594]](https://img1.dxycdn.com/p/s14/2025/0922/568/0046652811090600791.jpg!wh200)


